- +1
容易被误诊为“脑梗死、脑炎”的“线粒体脑肌病”
原创 赵桂宪 赵桂宪大夫
前言:线粒体脑肌病是神经科的罕见病之一,但本病实际上并不少见,本病可累及全身多系统,尤其是耗能高的组织器官更易受累,如心脏,肌肉,大脑皮层,胰腺等,关于本病,我在2016年5月()、2016年8月()和2018年2月()分别写过科普。
近期遇到这个病例,在首次发病就诊至今3个多月的时间2次住院,多次门诊就诊,遗憾的是一直未能正确识别,真的是每次与真相“完美”擦肩而过。虽然本病是罕见病,但本病例为典型病例,如果医生的意识较强,基本上可以是“一眼病”(我于昨晚在视频号里发的视频可以看到,大家有点线索就可以想到,甚至正确诊断本病)。为此,想通过这个病例再次科普本病,和大家共勉,希望减少漏诊误诊,医生和患者都少走弯路。
话不多说,一起来了解一下这个病例吧:
患者以“视物模糊,发作性意识障碍肢体抽搐3个月余”就诊。家属代诉患者于2024年1月底无明诱因出现头晕,右侧额顶部为著,看电子产品时有视物模糊,未予重视。10天后突发晕厥,2分钟后出现意识不清,呼之不应,后出现口吐白沫,肢体抽动,持续2分钟左右自行缓解,后症状再发,并出现意识不清,呼叫无反应,送医院途中出现心脏骤停,予心肺复苏5分钟后恢复自主心率。入院时意识不清,生命体征血压149/88mmHg,心率111次/分,脉氧98%,四肢可见不自主抽动,右手拇指外伤性损伤。急诊予气管插管、呼吸机辅助呼吸,咪达唑仑、地西洋联合丙泊酚控制癫痫。癫痫控制,进一步完善相关化验检查。
急诊查血气分析提示血气酸碱度:7.00,乳酸:>12.0mmol/L,血钾偏低。呼吸道病原体谱示流感病毒A型:阳性(+),流感病毒B型:阳性(+),肺炎支原体:阳性(+)。
当天完善腰穿查脑脊液提示有核细胞数:5*106/L,脑脊液蛋白700mg/L,余正常范围。
头颅磁共振平扫提示左侧颞枕叶亚急性期脑梗死可能。头颈部CTA示左侧椎动脉颅内段发育不良。头颅磁共振增强+波谱分析提示左侧颞枕叶病灶,考虑脑炎可能大。
动态心电图结果:戴机有效数据时长22小时49分钟45秒,总心搏数104420次,平均心室率76次/分,最快心室率110次/分,发生于17:08分,最慢心室率56次/分,发生于03:08AM2;房性早搏2次,占比小于1.00%。DCG提示:窦性心律;偶发房性早搏 (11:23AM2);心率变异性(HRV) SDNN 102 ms;心室晚电位 阴性。
当时诊断:1.癫痫持续状态 2.脑炎?3.心脏停播 4.拇指损伤(右拇指末节毁损) 5.急性呼吸衰竭 6.肺部感染 7.代谢性酸中毒 8.高乳酸血症 9.低钾血症
患者入院后予以抗癫痫,小剂量激素抗炎等积极治疗。经治疗,患者神志转清,意识障碍、肢体抽搐未再有发作,对答切题,思路清晰,神经系统体格检查基本正常。
1周后复查腰穿脑脊液蛋白示855mg/L,脑脊液乳酸示:3.2mmol/L。
半个月后出院,出院后服用左乙拉西坦片2片 bid。
2024.05.10患者出现持续性耳鸣伴双耳听力下降,右侧较重,后出现意识混乱、语言表达困难,复查头颅平扫+增强示左侧颞顶叶大片状异常信号病灶,考虑脑炎,单纯疱疹病毒性脑炎可能大。后症状进一步加重,为进一步诊治我科门诊就诊。我科门诊就诊时患者出现2次意识障碍伴肢体抽搐发作,症状持续约2分钟左右缓解,当时查患者神清,精神萎靡,反应欠灵活,口齿欠清,语言表达欠佳,查体欠合作。
既往史:2018年曾行“甲状腺肿瘤切除手术”。
门诊诊断:
1. 症状性癫痫
2.线粒体脑肌病 卒中样发作
3.甲状腺肿瘤切除术后
追问患者的身高154cm,母亲身高 158cm。
急转入神经内科病房住院,到病房后再次出现癫痫发作,持续状态,予地西泮静推等治疗,并继续予左乙拉西坦抗癫痫,患者意识恢复。
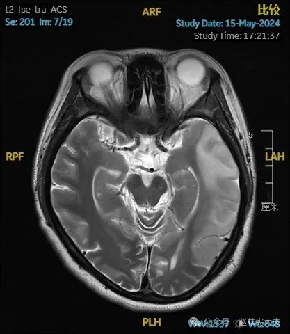
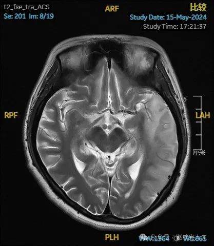
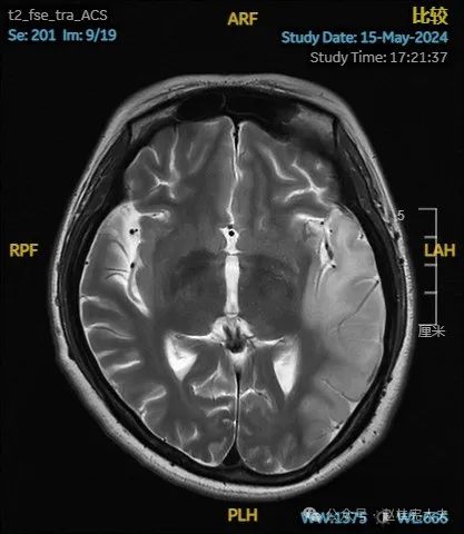
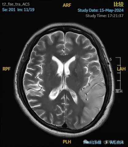
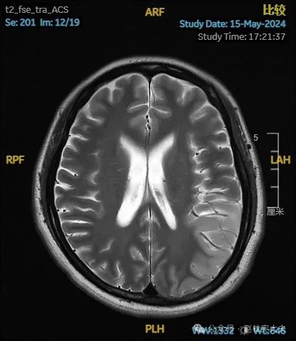
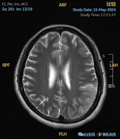
入院后给予精氨酸,左卡尼丁,辅酶Q10,维生素E等治疗。患者病情稳定好转中,2天后意识清楚,语言表达仍欠佳。当天复查颅脑磁共振如下:


















患者3个半月前的颅脑磁共振片子见下方视频号:患者此次发病在当地医院做的磁共振片子下方视频号:
以上为患者发病后3次的颅脑磁共振片子,临床诊断基本上可以确认了,希望患者逐渐恢复!
向所有为患者尽力诊治的医护人员们致敬!
赵桂宪 临床医学博士
复旦大学附属华山医院神经内科 副主任医师
国家神经疾病医学中心脑胶质瘤MDT专科联盟第一届理事会 理事
《中国临床案例成果数据库》学术委员会罕见病专业组 委员
中国医药教育协会神经疑难病多学科诊疗工作委 员会

原标题:《容易被误诊为“脑梗死、脑炎”的“线粒体脑肌病”》
本文为澎湃号作者或机构在澎湃新闻上传并发布,仅代表该作者或机构观点,不代表澎湃新闻的观点或立场,澎湃新闻仅提供信息发布平台。申请澎湃号请用电脑访问http://renzheng.thepaper.cn。





- 报料热线: 021-962866
- 报料邮箱: news@thepaper.cn
互联网新闻信息服务许可证:31120170006
增值电信业务经营许可证:沪B2-2017116
© 2014-2026 上海东方报业有限公司




