- +1
颈动脉狭窄与隐源性脑卒中
原创 赵喜同学 XI区
长按识别下方二维码关注我
大家好,欢迎大家访问XI区!
急性缺血性脑卒中给全球带来沉重负担,导致严重的发病率和死亡率。多国流行病学研究表明,卒中发病率呈上升趋势,尤其是在发展中国家。
在卒中的各种亚型中,隐源性脑卒中仍是一个具有挑战性的类别。隐源性脑卒中需要考虑的一个重要方面是颈动脉狭窄,在过去的40年中,颈动脉狭窄一直被认为是脑血管事件风险分层的主要参数。然而,最近的科学证据强调,其他因素也可以预测动脉粥样硬化斑块的临床表现。具体来说,易损斑块的某些特征可能是引发脑血管事件的独立风险因素,而与狭窄程度无关。
因此,出现了一个关键问题:鉴于新出现的科学证据凸显了颈动脉斑块易损性的重要性,仅仅依靠颈动脉狭窄程度对脑血管风险进行分层的传统方法的可靠性如何?研究表明,仅仅评估颈动脉狭窄程度可能并不能完全捕捉到与隐源性脑卒中相关的潜在病理生理学以及栓塞事件的潜在风险。
因此除了传统的基于狭窄程度的分层外,探索和阐明颈动脉斑块特征和易损性作为脑血管事件关键决定因素的作用就变得十分必要。了解颈动脉斑块特征与栓塞事件风险之间复杂的关系有可能彻底改变我们的隐源性脑卒中管理和风险评估方法。
今天我们一起学习一篇文献,探讨隐源性脑卒中的病因学,以及颈动脉易损斑块在形成脑血管风险中的关键作用。
定义和检查
定义
缺血性卒中是由于脑供血中断导致的急性神经系统事件。这种中断可归因于血栓栓塞事件或脑血管闭塞。有时即使进行了全面调查,但卒中的病因仍可能无法确定。在医学上,原因不明的卒中被归类为隐源性脑卒中。隐源性一词来源于希腊语中的kryptos和genic,这两个词组合起来的意思是"来源不明"。
病因
隐源性脑卒中是一种排除性诊断,只有在排除了所有其他可能的病因后才能使用。隐源性脑卒中的潜在病因非常多,包括:(1)先天性心脏病(如卵圆孔未闭)和后天性心脏病(如心肌病、心内膜炎、瓣膜病)引起的心源性栓塞;(2)血管疾病(如脉管炎、动脉夹层、非硬化性颈动脉斑块、主动脉弓粥样斑块);(3)血栓性疾病;以及(4)隐性恶性肿瘤。
来源不明的栓塞性卒中(ESUS)是隐源性脑卒中的一种亚型。ESUS一词用于描述被认为有栓子来源的卒中,但即使经过全面调查,栓子的来源仍然难以确定。
隐源性脑卒中与ESUS的区别在于假定的卒中机制。ESUS的病因是栓塞,而隐源性脑卒中的病因则完全不确定。引入ESUS的概念是为了识别可能从抗凝治疗中获益的患者,而不是抗血小板治疗(通常用于病因不明的卒中)。
因此,尽管所有ESUS病例都是隐源性脑卒中,但并非所有隐源性脑卒中都是ESUS。其他隐源性脑卒中可能由栓塞以外的病因引起,如未识别的小血管疾病甚至非血管性病因。ESUS并非隐源性脑卒中的同义词,因为隐源性脑卒中还包括具有多种潜在病因的患者,如心房颤动和梗死同侧有明显动脉粥样硬化斑块的患者,以及诊断工作不完整的患者。从本质上讲,隐源性脑卒中是一个更宽泛的术语,包括所有来源不明的脑卒中,而ESUS则是隐源性脑卒中的一个特定子集,其中怀疑有栓子来源但仍未确定。
诊断检查
确定隐源性脑卒中患者的确切病因往往是一个复杂的过程,因为各种心脏或血管病变都可能是卒中的病因。此外,在大多数隐源性脑卒中病例中,几种潜在的病症经常重叠,这就增加了寻找病因的复杂性,从而给临床决策带来不确定性。具体患者的隐源性脑卒中是否可归因于轻度狭窄的颈动脉粥样硬化斑块、中等大小的卵圆孔、明显扩张的左心房、区域性扩张的左心室、钙化的主动脉瓣,甚至潜在的肿瘤转移,这经常成为争论的焦点。
鉴于潜在的不同病因,需要进行全面的临床和实验室数据评估。评估应包括动脉粥样硬化性和非动脉粥样硬化性血管疾病、心脏栓子来源(包括结构和节律异常)以及凝血功能障碍。
当前卒中分类系统的局限性
为了优化患者治疗并改善预后,必须区分卒中病因。根据现有的脑卒中分类系统,只有导致管腔狭窄≥50%的脑卒中才可归因于大动脉粥样硬化(LAA)。然而,这一定义已经过时,因为它是基于40多年前的数据和研究,这些数据和研究将脑血管事件的风险与颈动脉高度狭窄的存在联系在一起。
传统上认为颈动脉狭窄程度是判断脑卒中风险严重程度的主要标准,这主要是基于20世纪80年代和90年代发布的一系列试验结果,这些试验表明颈动脉内膜切除术对中重度狭窄(70%-99%)患者有益。这些研究使用狭窄程度作为风险分层的参数,因为在进行这些研究时,还没有其他类型的可通过成像技术获得的信息,这些信息可以说明斑块本身的情况,而不是狭窄程度(斑块的影响)。
近年来,大量证据表明,即使在狭窄程度较低(<50%)的病例中,如果存在易损斑块,也可能存在发生脑血管事件的高风险。
2017年,欧洲心脏病学会强调需要对具有颈动脉斑块易损性影像学特征的无症状患者进行有针对性的血管再通,美国超声心动学会的2020年建议和欧洲血管外科学会的临床实践指南也强调了斑块易损性的影响。最近一篇论文表明,纳入易损斑块可对≤15%病例的病因进行重新分类。此外,根据急性卒中治疗中的Org 10172试验(TOAST)分类系统,仅根据50%的狭窄来定义LAA卒中并没有考虑到一些重要方面,包括动脉粥样硬化血管的代偿性扩大和颈动脉斑块的总负荷。将高斑块负荷纳入LAA的定义可对卒中病因进行重新分类,与TOAST分类相比,可识别出更多LAA患者和更低比例的ESUS患者。
轻度狭窄病例颈动脉斑块的易损性
研究证实,在隐源性脑卒中患者中,与对侧相比,梗死侧颈动脉斑块具有易损性特征的发生率明显更高。在该研究中,同侧颈动脉狭窄小于50%且具有高危特征的发生率为32.5%(95%置信区间[CI],25.3-40.2),而对侧颈动脉的发生率为4.6%(95%置信区间,0.1-13.1)。同侧颈动脉与对侧颈动脉发现具有高风险特征斑块的几率比(OR)为5.5(95% CI,2.5-12.0)。此外,与心脏栓塞性或小血管性脑卒中患者相比,隐源性脑卒中患者中此类复杂颈动脉斑块的发病率明显更高。
例如,Kopczak等人一项涉及234名患者的研究显示,隐源性脑卒中患者同侧颈动脉复杂斑块的发病率明显高于对侧(31% vs 12%;P=.0005)。在随后的一项研究中,同一作者证实,隐源性脑卒中患者缺血区域同侧有复杂的非狭窄颈动脉斑块,其复发风险增加5.6倍。这些研究强调了复杂斑块的存在与缺血发作风险之间的相关性。然而,有多种斑块特征与脑血管事件的发生有关,因此可以探讨每种特征的具体关联性和风险。
颈动脉成像的作用
超声(US)检查、计算机断层扫描(CT)和磁共振成像(MRI)等现代成像方法可详细显示颈动脉斑块的组成和形态,有助于识别缺血性卒中潜在病因的易损性特征。在临床实践中,所有出现急性神经症状的患者在到达医院后都会立即接受CT或MRI脑血管成像检查,以评估是否存在缺血性卒中并排除任何出血证据。此外,对所有出现脑缺血症状的患者进行颈动脉分叉成像至关重要。颈动脉US是评估颈动脉斑块动脉粥样硬化最常用的方法,可评估易损性的一些形态和组成特征。使用US检查可勾勒出与斑块易损性相关的一些声像学特征,包括大的并行低回声区、异质回声纹理、和斑块回声性。经颅多普勒超声检查发现无症状栓塞是未来卒中风险的独立预测指标。
虽然颈动脉US技术应用广泛、成本低廉且无辐射,但在临床实践中往往需要CT扫描和MRI来评估颅外和颅内血管是否存在动脉粥样硬化疾病。
斑块内出血
斑块内出血(IPH)的特征是动脉粥样硬化斑块内的血液成分外渗,它被认为是斑块易损性的一个关键特征。近年来,一些纵向和横断面研究表明,IPH是出现症状的一个重要风险因素。一项对1190名无症状颈动脉狭窄患者进行了平均53个月随访的纵向研究显示,磁共振成像检测到的IPH与随后发生的脑血管缺血性事件显著相关。
在某些情况下,IPH对轻度颈动脉狭窄患者的影响也得到了探讨:最近发表的一项荟萃分析对7个队列进行了研究,涉及560名无症状颈动脉狭窄患者和136名无症状颈动脉狭窄患者,结果显示IPH比任何已确定的临床风险因素更能预测卒中。在颈动脉狭窄小于50%的病例中,IPH患者同侧卒中的年发病率为9.0%,而无IPH患者同侧卒中的年发病率为0.7%。
在最近的前瞻性斑块风险研究(PARISK)中,244名近期有症状的轻度至中度颈动脉狭窄患者接受了平均5.1年的随访。通过经颅多普勒检查、US检查、MRI和CT扫描,发现IPH的存在与复发性脑血管事件相关。
还有一点,IPH根据发生时间分为近期/急性(小于一周)、中期(1-6周)或慢性/陈旧性(大于6周)。近期/急性IPH发生脑血管事件的可能性最高;但在超过18个月后,发生脑血管事件的可能性会继续增加。
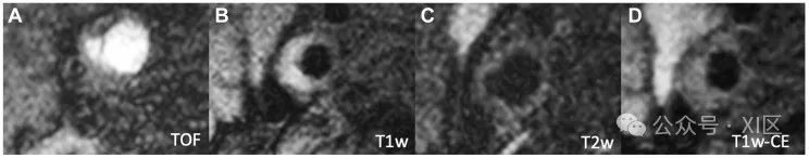
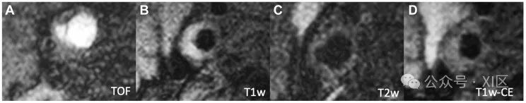
磁共振成像被认为是检测IPH最灵敏的方法,因为IPH的表现取决于血红蛋白的氧化状态:尤其是强T1加权图像,通过反转预脉冲来抑制血液信号,显示IPH在斑块的大部分为高强度信号灶(图1)。一般认为CT扫描的敏感性较低,因为纤维、脂质和IPH成分的CT值有很大重叠。一般认为US检查并不合适,但最近的研究表明,有经验的操作者也可以进行US检查。在不同的成像技术中,MRI可以根据发生时间对IPH进行分类。

图1 67岁男性右侧颈内动脉斑块内出血(IPH),同侧缺血性卒中。(A-D)非硬化性颈内动脉粥样硬化斑块,斑块内有溃疡(A和C中的白色箭头),T1加权图像(B)中的高信号提示IPH,尤其是T2加权图像(C)中突出显示的早期亚急性IPH。腔内血栓
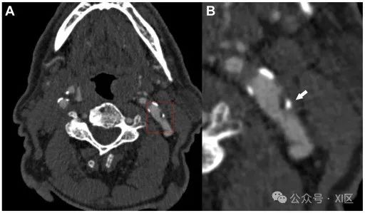
2015年发表的一项回顾性横断面研究对726例颈动脉-脑MRI检查结果进行了分析,发现颈动脉源性卒中的最强预测因子是管腔内血栓。CT血管造影较为敏感,可以显示被造影剂包围的管腔内充盈缺损(图2)。增强US检查和MRI也是准确划分腔内血栓的无创成像模式。
图2 在一名同侧缺血性卒中的82岁男性左侧颈动脉内观察到的腔内血栓。CT显示左侧颈动脉管腔内充盈缺损,表明存在血栓(A和B)。纤维帽破裂
纤维帽(FC)是一层纤维结缔组织,将斑块核心与动脉管腔分隔开来,它的破坏会导致内皮下斑块成分的血栓形成暴露,从而诱发动脉粥样硬化性颈动脉斑块的血栓栓塞并发症。目前,磁共振成像是检查FC状态最有效的无创成像模式。光子计数CT扫描仪在准确划分FC厚度方面取得了可喜的成果。
一项纵向前瞻性研究使用MRI对126名无症状颈动脉狭窄患者进行了平均1年的随访,结果显示,富脂坏死核心(LRNC)、较薄和/或破裂的FC以及IPH与复发性脑血管事件相关。此外,颈动脉狭窄程度与复发性事件无关。另外,FC薄和(或)破裂与近期卒中或TIA病史高度相关:在一项基于MRI的研究中,与FC厚的患者相比,FC破裂的患者近期发生卒中或TIA的可能性高23倍。另一项前瞻性纵向研究显示,在中位随访514天期间,FC破损和IPH是继发脑血管事件的风险因素。
LRNC
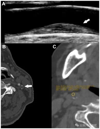
LRNC是一种异质组织,由富含脂质的巨噬细胞、胆固醇晶体、平滑肌泡沫细胞死亡以及血浆衍生脂质堆积形成,并由内膜细胞外基质大分子拴住。LRNC在动脉粥样硬化斑块的进展和易损性中起着关键作用。2017年发表的一项对16项研究的荟萃分析显示,CT血管造影显示存在低衰减斑块的患者发生同侧脑血管事件的风险几乎是其他患者的三倍,与血管狭窄程度无关。2013年发表的一项系统回顾和荟萃分析显示,LRNC可预测无症状受试者的卒中或TIA。MRI因其卓越的软组织对比度被认为是评估LRNC最敏感的方式。相反,由于IPH和LRNC的CT值明显重叠,CT扫描通常被认为灵敏度较低。同样,US检查也被认为不太适合用于区分出血和脂质成分(图3)。
图3超声(US)检查(A)和CT扫描(B、C)显示富脂质坏死核心的实例。(A)一名同侧缺血性卒中的62岁女性左侧颈总动脉非硬化性颈动脉斑块,斑块内有一个富脂坏死核心(LRNC)和厚纤维帽(FC)。(B)一名有症状的82岁男性左侧颈内动脉中的低衰减、亚闭塞斑块,其平均CT值为43 HU,类似于LRNC。(C)同侧缺血性卒中的72岁男性右侧颈内动脉中的低衰减、亚闭塞斑块,平均CT值为22 HU。然而,由于脂质和出血成分的CT值重叠,因此不能排除斑块内出血(IPH)的可能性。斑块形态
在能够详细观察颈动脉斑块结构的技术进步之前,斑块的表面形态是人们关注的一个关键参数。斑块表面可分为光滑、不规则(表面变化范围在0.3至0.9毫米之间)或溃疡(专指直径≥1毫米的空腔)。颈动脉斑块表面的评估可通过一系列成像方法进行,但CT扫描和MRI似乎在溃疡检测方面具有更高的诊断准确性,明显优于US检查(CT的敏感性> 90%,而US检查的敏感性< 40%)。
斑块厚度和颈动脉斑块负担
斑块易损性的另一个特征是斑块的最大厚度。在参与Tromsø研究的6584名无症状者中,男性和女性的最大斑块厚度都与中风的发生有关。在一项针对6102名无症状颈动脉狭窄受试者的前瞻性纵向研究中,最大斑块厚度与主要心血管不良事件的发生有关。然而,最大斑块厚度似乎对隐源性脑卒中患者也有影响:在一项对85例隐源性脑卒中患者进行的研究中,卒中同侧非钙化斑块厚度大于3mm的患者占35%(对侧为15%)。在对1072例受试者进行的中国动脉粥样硬化风险评估II研究中,最大斑块厚度与脑缺血症状的相关性高于狭窄程度。
在PARISK研究中,颈动脉斑块体积的测量显示出与复发性同侧脑血管缺血事件的独立相关性(斑块体积每增加100毫升,HR值为1.07;95% CI,1.00-1.22)。
斑块厚度和颈动脉斑块负荷可通过US检查、CT扫描和MRI比较容易地进行评估。在临床实践中,由于US检查的广泛性和可行性,US检查是评估颈动脉斑块厚度的首选初始成像方式。
斑块内新生血管
斑块内新生血管是晚期动脉粥样硬化病变的特征,可通过增强US检查、CT扫描和MRI检测到。2012年进行的一项研究表明,新生血管与脑血管事件有关,另一项对155名有症状患者进行的前瞻性研究表明,斑块内新生血管与复发性脑血管事件有关。这一特征似乎很有希望,但由于目前的常规临床实践尚未采用非侵入性成像评估斑块炎症和新生血管,因此还需要进一步的研究来证实和采用这一特征。
钙化的具体类型
虽然关于钙化在动脉粥样硬化中的功能仍有争论,但钙化的大小、形状和位置等因素可影响斑块形成的进程,这一点已被广泛接受,最近的一些论文显示,在某些情况下,这些因素与斑块的易损性及随后的卒中风险相关。特别是,阳性边缘征(positive rim sign)与斑块炎症、血管渗漏和IPH的形成密切相关。一项针对329名无症状颈动脉斑块的鹿特丹人群研究患者的前瞻性队列研究显示,较高的钙化负荷与IPH的存在相关。CT扫描被认为是检测斑块内钙化的参考标准(图4)。但值得注意的是,斑块钙化也可通过US检查和MRI检查发现,前者表现为高回声区,后者在所有对比序列上都表现为低信号区。
图4 CT显示的不同类型颈动脉钙化示例。(A)颈动脉斑块伴浅表钙化(白色箭头)。(B) 颈动脉斑块伴有大块钙化(白色箭头)。(C) 颈动脉斑块伴阳性边缘征(白色箭头)。颈动脉蹼
1973年,马萨诸塞州总医院在一项导管血管造影研究中首次描述了颈动脉蹼,近年来,颈动脉蹼一直被认为是卒中的一个未被重视的危险因素。颈动脉蹼是颈动脉球后外侧壁产生的蹼状充盈缺损,由于其突入颈动脉管腔,可改变血流并导致血液淤滞,从而形成血栓并继发缺血性卒中(图5)。在最初被误诊为隐源性缺血性脑卒中的病例中,颈动脉蹼占9.4%至37.0%。这种情况似乎更常见于年轻女性受试者:在Coutinho等人的研究中,90%的颈动脉蹼病例为女性,年龄范围为34至57岁。在Zelada-Rios等人的另一篇论文中,女性患者的比例为60%,年龄介于37岁至43岁之间。

图5支架置入前后CT和DSA显示的颈动脉蹼示例。(A) CT扫描冠状切面上靠近分叉处的右颈内动脉蹼。(B) DSA前后切面显示分叉处的颈动脉蹼充盈缺损和湍流。(C和D)前正位(C)和侧位(D)切面上支架置入后的右颈动脉。未来方向
人工智能在隐源性脑卒中中的应用
人工智能及其子集,即机器学习和深度学习,不仅有可能帮助评估颈动脉斑块的易损性特征,而且有可能帮助早期发现急性缺血性脑卒中的潜在机制。Buckler等人开发了一种基于人工智能的模型,以组织学标本为基本真相,对CT图像上的动脉粥样硬化斑块的易损性进行分类。入选的总体群组包括53名颈动脉粥样硬化患者,他们被随机分配到衍生群组(n=30)和验证群组(n=23)。根据修改后的美国心脏协会组织学定义,所提出的卷积神经网络模型与病理分类具有很高的一致性,在识别不稳定斑块、稳定斑块和微小病变方面具有很高的准确性。Kamel等人利用康奈尔急性卒中学术登记处的数据开发了一种机器学习算法,用于区分心源性栓塞和非心源性栓塞ESUS,以确定隐匿性心源性栓塞来源的患者比例。提出的基于人工智能的模型通过人口统计学、临床、超声心动图和实验室数据进行了训练,在区分心源性栓塞和非心源性栓塞病例方面达到了极高的准确性(曲线下面积为0.85)。随后,作者将最终模型应用于一组独立的580例ESUS病例,结果显示44%(95%可信区间:39%-49%)的病例是由心脏栓塞引起的,隐匿性心脏栓塞的预测概率与心房颤动的诊断相关。此外,人工智能可将大量成像数据与临床特征和人口统计学数据合并,代表了缺血性卒中评估的新视野。
引入新的卒中风险分类系统:Plaque-RADS
鉴于越来越多的文献强调动脉粥样硬化斑块的组成和形态对确定卒中风险的重要性,采用标准化、通用和跨病种的报告系统无疑对临床实践大有裨益。
最近,斑块报告和数据系统(Plaque-RADS)分类被引入,目的是为颈动脉粥样硬化疾病建立统一的词汇和结构化的报告系统,通过为个性化患者风险分层提供透明、可重复的方法,加强放射医师、转诊临床医师和研究人员之间的交流、除目前唯一的定量描述"狭窄"外,Plaque-RADS还提供了形态和成分斑块评估,范围从Plaque-RADS1(表示完全没有颈动脉斑块)到Plaque-RADS4(表示具有IPH、FC破裂和/或血栓等特征的复杂斑块)。
除颈动脉狭窄程度外,考虑斑块形态和组成的评分系统可加深对缺血性卒中病因的理解。此外,它还有可能根据与斑块易损性相关的成像特征对某些隐源性脑卒中进行重新分类。未来有必要开展多中心试验,以评估Plaque-RADS评分在隐源性脑卒中病例中的实用性及其对卒中病因重新分类的能力。
随着不同治疗策略的出现,隐源性脑卒中的病理生理学变得越来越重要。具有易损性特征的非硬化性颈动脉斑块越来越被广泛认为是脑血管风险的组成部分。先进的成像技术可大大提高隐源性脑卒中的诊断率。还需要进一步的研究来证实这些发现,并建议将此类成像方法纳入常规诊断方案,以加强卒中管理和预防。
更多干货,关注XI区!
文献原文:Saba L, Cau R, Spinato G, Suri JS, Melis M, De Rubeis G, Antignani P, Gupta A. Carotid stenosis and cryptogenic stroke. J Vasc Surg. 2024 May;79(5):1119-1131. doi: 10.1016/j.jvs.2024.01.004.仅供专业人士交流目的,不用于商业用途。
2024年5月24日
如果你觉得写得还不错,请分享、在看和打赏!
本文为澎湃号作者或机构在澎湃新闻上传并发布,仅代表该作者或机构观点,不代表澎湃新闻的观点或立场,澎湃新闻仅提供信息发布平台。申请澎湃号请用电脑访问http://renzheng.thepaper.cn。





- 报料热线: 021-962866
- 报料邮箱: news@thepaper.cn
互联网新闻信息服务许可证:31120170006
增值电信业务经营许可证:沪B2-2017116
© 2014-2026 上海东方报业有限公司




