- +1
如何获得高质量心脏CT延迟强化图像?
原创 赵喜同学 XI区
长按识别下方二维码关注我
大家好,欢迎大家访问XI区!
计算机断层扫描延迟强化(CT-LE)是一种新兴的无创心脏诊断技术,与磁共振成像(MRI)相比,尽管其对比度与噪声比通常较低,但却具有更广泛的可用性。要优化CT-LE图像质量,就必须采用全面的方法来处理造影剂给药、时间和辐射剂量问题,同时对细胞外容积(ECV)量化方法有充分了解。
CT-LE与LGE-MRI相比的优势
下表列出了CT-LE与LGE-MRI的技术比较。
注意: ◎:极好,〇:好,△:一般。∗ 金属+。LGE-MRI被公认为评估心肌瘢痕和纤维化的金标准,在许多心肌病指南中都属于一级适应症,反映了其广泛的应用和有力的支持证据。虽然LGE-MRI仍是评估心肌病的首选方法,但CT-LE已成为MRI的可行替代方法,尤其是在有非MRI兼容外部设备(如金属植入物、植入式电子设备和输液泵)的患者中。
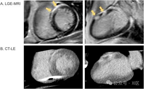
使用起搏器植入前(A)的LGE-MRI和起搏器植入后(B)的CT-LE对一名心脏肉瘤患者的 LE进行评估。LGE-MRI显示心前壁有心外膜LE,CT-LE也能很好地显示这一结果,尽管下壁存在起搏器导联的金属伪影。在特定的临床情况下,CT-LE的额外采集凸显了其实用性。虽然 CT 对于经导管主动脉瓣置换术(TAVR)的术前规划至关重要,但通过CT测量ECV有助于全面评估潜在的心肌病变,尤其是考虑到16%的主动脉瓣狭窄患者可能患有心脏淀粉样变性。CT在评估冠状动脉疾病、肺栓塞和主动脉夹层的 "胸痛三联 "策略中表现出色。在肌钙蛋白阳性的急性胸痛病例中,额外的CT-LE和ECV测量可用于排除心肌炎和冠状动脉非阻塞性心肌梗死(MINOCA)。
CT-LE的采集和重建
CT-LE的定义是在注射造影剂后进行延迟成像,以评估心肌的延迟强化情况。由于 CT-LE中正常心肌与延迟强化心肌之间的对比度远低于LGE-MRI,因此应优化成像参数以增强心肌对比度。很多方法的实用性已经得到证实,比如迭代重建、深度学习重建和图像平均等,可抵消由于使用低管电压而增加的图像噪声。与CCTA通常使用的高对比度目标图像重建相比,建议使用低对比度目标图像重建。图像噪声水平取决于辐射剂量;因此,过低的辐射剂量可能会降低图像质量和ECV定量。虽然半扫描重建(扫描仪从围绕患者旋转的180° 而非360° 范围内获取数据来创建图像的技术)因其提高了CCTA的时间分辨率而受到青睐,但全扫描重建可能更适合心率稳定的患者,因为它能利用足够的辐射剂量来提高图像质量。在双源CT中,与半扫描重建相比,融合了半扫描和全扫描技术的混合重建算法可提高图像质量和观察者间的再现性。
在一名无心肌梗死病史的患者中,通过传统半扫描和混合重建进行CT-LE成像的比较。侧壁和前壁的心内膜下梗死(箭头)由于条纹状伪影(A)而难以用半扫描重建法识别。然而,使用图像平均的混合重建(B)可以清晰地观察到它们,并显示出与LGE- MRI的极佳相关性(C)。多能量CT是一项相对较新的技术,可获取不同能量的衰减数据。它提供的图像集包括碘特定图像、虚拟平扫图像、有效原子序数图像和虚拟单色图像(VMI)。在40-50 keV下获取的VMI有助于更好地直观评估CT-LE的延迟强化,因此应进行重建。碘特异性图像可提高对比度与噪声比,并在无平扫数据的情况下提供ECV。
一名右冠状动脉闭塞和心脏肉瘤患者的双能CT-LE成像。心肌CT-LE图像显示下壁心内膜下梗死(红色箭头),室间隔中壁条状非缺血性强化(黄色箭头),前壁心外膜非缺血性强化(蓝色箭头)。与70 keV图像(B)相比,40 keV的VMI图像(A)和碘特异性图像(C)中病变的对比度更高。这些病变与LGE-MRI (D) 非常吻合。要进行全面的图像解读,高质量的左心室短轴和长轴图像重建至关重要。这就需要采集层厚较薄的轴向图像,切片厚度最好为1-2 mm,以便于进行详细的多平面重建。为了进行直观判读,可在厚度约为5-8 mm时查看重建图像,以优化图像细节与降噪之间的平衡。
造影剂用量
在一些有关CT-LE可行性的早期动物研究中,描绘了与LGE-MRI相媲美的高对比度心肌梗死;然而,这些研究中使用了大量造影剂,如1000-1500 mgI/kg,相当于一个体重75 kg的人使用250 ml造影剂。虽然使用低剂量造影剂CT-LE可以检测心肌梗死,但在识别心内膜下梗死和非缺血性纤维化方面的灵敏度不可避免地会降低。
有心肌梗死病史的患者使用660 mgI/kg(A)和320 mgI/kg(B、C)碘造影剂进行CT-LE成像。使用660 mgI/kg碘造影剂(A)可清晰观察到侧壁心内膜下梗死,但使用320 mgI/kg碘造影剂在相同窗口设置(B)或缩小窗口设置(C)下则难以观察到心内膜下梗死。CT-LE所需的造影剂剂量尚未达成共识,临床研究中用于CT-LE的造影剂剂量从300到700 mgI/kg不等。Kurobe等人报告称,肉眼判定左心室心肌与左心室心腔之间对比度良好和较差的病例之间,单位体重的造影剂剂量存在显著差异(中位数,651 mgI/kg;四分位间范围,597-693 mgI/kg vs. 中位数,584 mgI/kg;四分位间范围,571-619 mgI/kg;p = 0.041),并报告建议剂量≥600 mgI/kg(60 kg的患者使用100 ml 370 mgI/ml 造影剂)。总之,病变的充分分界取决于成像方案、重建方法和目标病变(心肌梗死与非缺血性纤维化),需要进一步研究以优化造影剂的剂量。不过,为CCTA优化的造影剂剂量可能足以量化心室静脉容积。
延迟时间
关于造影剂给药和CT-LE采集之间的最佳时间,目前尚无共识。Jacquier等人报告称,对急性心肌梗死再灌注患者注射造影剂5分钟后进行造影剂增强CT检查,与10分钟后进行的检查相比,信噪比更高,图像质量更好,但测量的梗死范围无明显差异、 同样,Brodoefel等人使用再灌注猪模型,比较了3、5、10和15分钟的延迟时间,发现在使用团注方案时,有活力和无活力心肌之间的对比度在3和5分钟时最大。这种较短的延迟时间策略旨在提高信噪比,是根据2020年更新的标准化CMR方案提出的造影剂量不足的对策。
就ECV的准确性而言,Jablonowski等人在心肌梗死动物模型中进行了1、3、5和10分钟的成像,结果表明,除大梗死中心外,测量的ECV从3分钟或更晚开始稳定。Treibel 等人在淀粉样变性患者和重度主动脉瓣狭窄患者注射栓剂后 5 分钟和 15 分钟进行了成像,结果表明,就信噪比、与核磁共振成像的相关性以及与追踪心脏疾病的已知临床参数的相关性而言,5分钟的延迟时间优于15分钟。Hamdy等人比较了使用造影剂后3、5和7分钟的延迟时间,结果表明无论选择哪个时间点,ECV都很稳定。
辐射剂量
对所有患者,尤其是孕妇、年轻患者和需要重复检查的儿童,在保证诊断图像质量的前提下,应仔细权衡辐射风险与获益,做到ALARA原则。
单能量方法
单能量法CT-LE减少辐射剂量的方法与CCTA减少辐射剂量的方法类似。重要的是要适当结合低管电压扫描、前瞻性心电触发扫描和迭代重建。CT-LE可以在1-2 mSv下进行。但是,计算ECV时必须考虑平扫的辐射;因此,关于CT-LE和ECV测量的研究报告剂量在3.1至5.8 mSv之间。
多能量方法
在多能量方法中,管电流可调;但是,每个设备的管电压是固定的,因此成像者减少辐射的选择有限。此外,根据CT平台的不同,心脏扫描可能只能使用回顾性心电门控的螺旋扫描。因此,通过单能量方法进行CCTA所达到的低剂量水平可能很难通过双能量采集来实现。据报道,GE、Philips 和 Siemens 扫描仪用于双能量CT-LE的辐射剂量分别为2.2-3.6 mSv、2.5-4.8 mSv和3.6-6.8 mSv。最近的报告显示,PCD-CT可在仅1.2-2 mSv的情况下对LE进行成像。因此,随着PCD-CT的推广,CT-LE的临床应用可能会扩大。
CT-LE 的定性和定量评估
左心室造影通常进行定性评估。对图像进行主观观察时,将平扫、CCTA和LE图像的左心室短轴图像对齐非常有用。观察LE图像时,宜使用窄窗口设置以突出对比度。此外,应根据所使用的管电压和VMI能量水平适当调整窗口设置。例如,当使用120 kV 的管电压时,应使用60-80 HU的窗中心和80-110 HU的窗宽。此外,在调整窗值设置时,还应考虑CT扫描仪的特性和图像质量水平。左心室下壁很容易受到来自膈肌的条纹伪影的影响,因此在解读图像时应小心谨慎。
LE 图像的推荐视觉观察方法。对图像进行主观观察时,将平扫(A)、CCTA(B)和 LE(C)图像的左心室短轴图像对齐非常有用。通过对比 LE 图像和 CCTA 图像,可以评估 LE 病变的范围(箭头)。平扫图像可确认LE病变不是钙化。Ohta等人将LGE-MRI作为参考标准,报告40 keV VMI和碘特异性图像在检测LE方面的敏感性分别为94.3% 和97.1%,特异性分别为88.9%和88.9%。Oda等人的研究表明,50 keV VMI对LE的肉眼检测的观察者间一致性非常好,其κ值(κ,0.87)高于标准 120 kV(κ,0.70)和碘特异性图像(κ,0.83)。50 keV的VMI(κ,0.90)和碘特异性图像(κ,0.87)与LGE-MRI检测LE病变的一致性非常好,而且优于标准120 kV成像(κ,0.66)。LE的范围可以用绝对参数计算,并根据以下公式计算左心室总质量的百分比:
LE容积(ml)= ΣLE 面积 x 层厚
左心室质量(克)= ΣLE 面积 x 层厚 x 1.06
LE范围 (%) = LE 质量 (g)/LV 质量 (g) x 100
最近,通过使用专门的商用软件,对LE成像进行定量分析已变得可行。这类软件可通过自动划定CT值高于指定阈值(例如,远端心肌CT值高于平均值≥5个标准差)的心肌,并以占左心室总面积的百分比来量化LE的范围,从而促进对LE的客观评估。
PCD-CT的CT-LE
PCD-CT是一项前沿技术,在诊断成像领域不断取得进步和突破(参见XI区:)。PCD-CT可以改善LE图像中异常增强的可视化。利用双源PCD-CT的功能可实现 ECV 的精确量化。Mergen等人的一项体内研究强调了PCD-CT鉴定心肌组织特征的能力。PCD-CT虚拟单色和双能ECV定量显示出很高的相关性(r = 0.87,p < 0.001),平均误差为 0.9%。Aquino 等人报道,双能量PCD-CT的辐射剂量比单能量PCD-CT低 40%(CTDIvol 为 10.1 mGy 对 16.8 mGy)。与磁共振成像相比,双能量PCD-CT在中心血管和整体心室容积量化方面显示出很强的相关性(r = 0.82和0.91,均 p <0.001)和良好至卓越的可靠性(类内相关系数,0.81和0.90)。
使用双源PCD-CT 获得肥厚型心肌病患者的 LE。在右心室-左心室交界处观察到异常的 LE。即使在较低的单色能量范围内,由于碘对比度效应的增加,对比-噪声比也有所改善,但噪声并没有增加。随着CT设备(如 PCD-CT)的进步,材料辨别能力增强,辐射暴露减少,CT-LE未来可能会积累更多可靠的证据。
CT-LE对缺血性和非缺血性心肌病的晚期增强模式具有很高的诊断准确性。与 LGE-MRI 相比,CT-LE具有更高的空间和时间分辨率。此外,CT导出的ECV与MRI导出的 ECV 具有很强的相关性。但值得注意的是,CT-LE的对比度与噪声比通常低于 LGE-MRI,而且CT-LE的质量受多种因素的影响,如管电压、造影剂量、重建方法和造影剂注射后的采集时间。因此,要想获得高质量的CT-LE,同时保持适当的辐射剂量,就必须根据每个CT平台的具体情况制定个性化的优化方案。PCD-CT技术的整合将提高CT-LE的整体图像质量并减少辐射暴露,从而增强CT-LE的临床实用性。这一进步将CT-LE定位为表征心肌病变的一种有前途的工具。
编译整理自:Oyama-Manabe N, Oda S, Ohta Y, Takagi H, Kitagawa K, Jinzaki M. Myocardial late enhancement and extracellular volume with single-energy, dual-energy, and photon-counting computed tomography. J Cardiovasc Comput Tomogr. 2024 Jan 12:S1934-5925(23)00574-9. doi: 10.1016/j.jcct.2023.12.006. 仅供专业人士交流目的,不用于商业用途。
2024年5月31日
本文为澎湃号作者或机构在澎湃新闻上传并发布,仅代表该作者或机构观点,不代表澎湃新闻的观点或立场,澎湃新闻仅提供信息发布平台。申请澎湃号请用电脑访问http://renzheng.thepaper.cn。





- 报料热线: 021-962866
- 报料邮箱: news@thepaper.cn
互联网新闻信息服务许可证:31120170006
增值电信业务经营许可证:沪B2-2017116
© 2014-2026 上海东方报业有限公司




