- +1
腹部光子计数CT成像技术特点和临床价值
原创 赵喜同学 XI区
在腹部成像中,CT在各种疾病和状况中起到了非常重要的作用。在肿瘤学领域,CT已被用于各种肿瘤的检测、分期和术前计划。在慢性疾病中,CT也被用于评估器官中的物质,例如代谢功能障碍相关的脂肪性肝炎中的肝脏脂肪沉积或铁过载情况下的肝脏铁沉积(更多内容参见XI区:)。
自1970年代初临床CT引入以来,CT技术迅速发展(更多内容参见XI区: )。CT历史上的一个里程碑是多排探测器CT的出现,它提高了空间分辨率和图像覆盖范围,这在许多方面大大促进了肿瘤成像,包括肝细胞癌和胰腺肿瘤。此外,双能量CT的出现使得能够准确量化器官中的物质,如脂质。同时,双能量CT的虚拟单色成像提高了图像对比度,这也有助于提高肿瘤检测率(更多内容参见XI区:)。
最近,光子计数探测器技术被引入临床CT中。这项技术旨在克服传统CT的对比度和空间分辨率限制并减少辐射剂量,代表了CT设备最显著的创新。光子计数探测器可以测量光子的数量和每个光子的能量,从而获取高空间分辨率和虚拟单色图像。因此,光子计数CT具有巨大的潜力,但由于其临床应用时间较短,目前对其诊断能力和腹部病变的临床实用性的研究有限,还需要进一步的研究和经验积累才能充分理解其优势。
今天我们分享一篇关于光子计数CT实际临床操作及其在腹部成像中的诊断实用性的综述,一起学习一下。
光子计数探测器技术概述
光子计数CT的探测器机制与传统CT完全不同。传统CT探测器将X射线转换为可见光,然后使用光电二极管将可见光转换为电信号,而光子计数探测器可以直接将X射线转换为电子(电荷云)并接收为电信号(更多内容参见XI区:)。
光子计数CT相比于配备能量整合探测器的传统CT有两个主要优点:更好的剂量效率和更高的空间分辨率。
光子计数CT不需要探测器格栅,从而增加了孔径面积。由于光子计数CT中消除了阈下电信号,因此没有电子噪声。此外,光子计数CT中没有“能量加权效应”,即在能量积分探测器中,闪烁光的强度与X射线光子的能量成正比,但在光子计数探测器中,输出与X射线光子的能量无关。因此,在低能量范围内灵敏度相对较高,从而提高了光子计数CT中的软组织对比度。这些光子计数探测器的特性有助于提高剂量效率。
光子计数探测器的每个探测器像素比传统探测器的像素小。尽管更高的分辨率会导致图像噪声增加,但通过提高剂量效率可以减少这种影响。因此,光子计数CT可以提高CT图像的空间分辨率。
辐射剂量减少的机会
由于光子计数探测器没有探测器格栅、没有电噪声和没有“能量加权效应”,它们本质上更具剂量效率。因此,光子计数CT可以在更低的辐射剂量下实现与传统CT相同的空间分辨率和图像噪声。光子计数CT在增强腹部CT中显著减少了辐射剂量(约32%),同时保持了与第二代双源CT相似的图像质量。Decker等人报告称,与低剂量第二代双源CT相比,低剂量光子计数CT(平均CTDIvol 1.61 mGy)显著降低了图像噪声,提高了碘信号噪声比,主观图像质量更高,并且肾盂、输尿管和肠系膜血管的显著性更好。
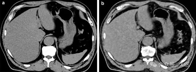
图1 光子计数CT(A)和传统双源CT(单能量模式)(B)在不同日期扫描的胆总管结石患者的腹部CT平扫图像。尽管光子计数CT的辐射剂量(CTDIvol:7.5 mGy)低于传统CT(11.9 mGy),但光子计数CT的图像噪声显然低于传统CT。胆总管中的分层钙化结石(箭头)在光子计数CT中显示得更加精细。
图2 光子计数CT(A,C)和传统双源CT(单能量模式)(B,D)在不同日期扫描的动脉期(A,B)和平衡期(C,D)的肝脏增强动态CT图像。肝右叶可见小血管瘤(箭头)。尽管光子计数CT的辐射剂量(CTDIvol:4.6 mGy)恰好是传统CT(9.2 mGy)的一半,图像质量仍保持可比性。光子计数CT在成像体型较大的患者时也具有优势。传统探测器CT对肥胖患者进行双能量成像时,由于低kVp采集缺乏光子,总体图像质量下降。Hagen等人报告称,在肥胖患者中使用光子计数CT进行增强腹部CT与常规单能量CT相比,图像质量相似或提高,并且显著减少了辐射剂量。
碘对比剂剂量减少的机会
光子计数CT中改进的对比噪声比可能提供减少腹部成像中所需对比剂剂量的机会。在模体研究中,碘对比噪声比改善了30–37%,这表明有减少使用对比剂剂量的空间。Hagen等人报告称,光子计数CT(非能谱图像,120 kVp)在肥胖患者中与常规CT(单能量模式,120 kVp)相比,允许显著减少27%的对比剂剂量,同时对比噪声比相当,并且辐射剂量减少高达34%。
扫描模式
目前可用的临床光子计数CT有三种主要的扫描模式,包括超高分辨率(UHR)模式、多能量模式和双源模式。UHR模式提供最高的空间分辨率图像。UHR模式使用120排,层厚为0.2mm。多能量模式是一种能够以标准扫描速度生成虚拟单色图像的成像方法。双源模式的使用允许非常快速的扫描速度。双源模式使用两个探测器,每个探测器有144排,层厚为0.4mm。每种成像模式应根据检查的目的使用。其中,多能量模式由于其能谱成像的多种潜在应用,常用于腹部扫描,包括生成不同水平的单能量图像的能力。同时,对于难以屏住呼吸的患者,可以考虑使用允许非常快速扫描的双源模式。高速扫描可以减少与呼吸运动相关的运动伪影。
图像重建
光子计数CT扫描仪配备了各种重建卷积核。通常, Br卷积核用于腹部CT图像。卷积核中的数字表示索引号。分辨率索引号越大,分辨率越高,但图像噪声也增加。因此,有必要选择一个适当的值,同时考虑到图像噪声增加导致的图像质量下降。然而,图像噪声也可能受到下面描述的量子迭代重建(QIR)算法条件设置的影响,因此需要同时考虑卷积核和QIR算法设置(图3)。对于CT血管造影,建议使用Bv卷积核,因为它可以减少由高衰减物体引起的伪影。能谱分析需要使用Qr卷积核重建的图像。对于光子计数CT中肝细胞癌的评估,较软的重建卷积核在噪声和图像质量方面更优,但在图像对比度和病变显著性方面,不同的重建卷积核之间没有显著差异。
图3 光子计数CT图像在不同的重建设置下对比。分辨率索引(Br36, Br40, Br44)越高,分辨率越高,但图像噪声也越高。量子迭代重建(QIR)算法的级别越高,图像噪声越低尽管光子计数CT具有出色的剂量效率,但去噪算法可能对腹部CT成像至关重要。高强度迭代重建算法通过减少腹部光子计数CT中的图像噪声来提高图像质量。QIR算法有四个强度级别,其中级别1最弱,级别4最强。高强度级别对应于级别3或4。特别是在薄层厚的图像中,图像噪声显著,因此最高强度级别的迭代重建算法在减少图像噪声方面非常有效。目前可用的临床光子计数CT扫描仪配备了迭代重建算法(QIR)。
虚拟单色成像
光子计数CT在腹部检查中的主要优势之一是它提供了高质量的虚拟单色图像。光子计数探测器能够确定光子的能量强度,使得可以从单能量采集数据(例如120 kVp)生成虚拟单色图像(图4)。在此CT系统中,虚拟单色图像的最低和最高能量水平设置分别为40和190 keV。与常规单能量(非能谱)CT相比,低keV的虚拟单色图像在动脉期成像中提供了显著更高的对比噪声比、更好的图像质量和病变显著性。光子计数CT的低keV虚拟单色图像在相同的辐射剂量下与常规单能量双源CT相比具有显著更高的对比噪声比和相似的主观图像质量。
图4 使用光子计数探测器,可以从120kVp的单能量原始数据生成任何能量水平(40至190 keV)的虚拟单色图像。虚拟单色图像的keV设置越低,肝病变与肝实质之间的对比度越高。传统双能量CT的主流是使用两种不同能量的X射线束进行扫描,例如80 kVp和140 kVp,并分析数据以生成虚拟单色图像。因此,在扫描前必须决定是进行双能量成像还是正常单能量成像。光子计数探测器的设计允许从120 kVp或140 kVp获得的单能量数据重建虚拟单色图像。无需在扫描前决定是否需要虚拟单色成像。
高空间分辨率
光子计数CT由于其探测器结构的特点,可以提高空间分辨率。在超高分辨率(UHR)模式下扫描时,可以获得厚度为0.2mm的图像。图像矩阵的尺寸可以输出为1024×1024,当视野缩小到20cm时,还可以生成0.2mm各向同性体素图像数据。对于肺部和颞骨等高对比度结构,极高的空间分辨率可以使细微结构清晰可见。在腹部CT中,光子计数CT的高空间分辨率特性可以在早期动脉期图像生成的CT血管造影中得到利用。其他应用如胰腺癌和胰腺囊性病变(如导管内乳头状黏液性肿瘤)的检测和分期可能会从这一新能力中受益。光子计数CT还可能改善小尿路结石的检测和成分确定。这对于有肾结石的患者来说可能非常重要,因为检测到这些小结石可以早期进行临床干预。
针对腹部疾病优化的扫描协议
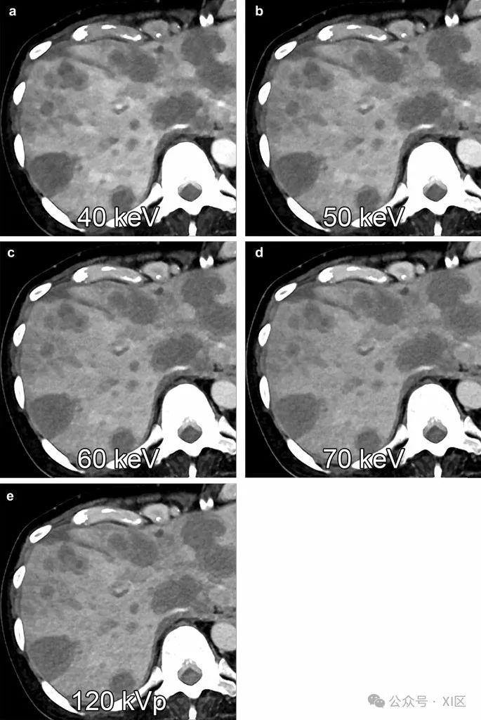
虚拟单色图像可以通过120 kVp或140 kVp的X射线管电压进行采集。由于在140 kVp采集时探测器层级的光谱分离效果最佳,Schwartz等人建议所有成人腹部CT图像均在140 kVp下进行采集。在进行腹部光子计数CT时,许多放射科医生都关注虚拟单色图像重建的最佳keV设置。40 keV图像在腹部器官、血管结构和低血管性肝转移瘤方面具有最佳的对比噪声比。然而,CT图像质量可能还受到对比噪声比以外因素的影响。Racine等人在一项假设检测肝细胞癌的模型研究中报告,65和70 keV的图像在低衰减和高衰减物体的检测中具有最高的可检测性,而不论模型大小和辐射剂量。Higashigaito等人报告,在临床研究中,50 keV和60 keV的腹部CT图像质量总体上高于能量整合探测器CT,而40 keV图像质量则低于能量整合探测器CT。因此,可能需要进一步研究以确定在临床实践中使用光子计数CT进行诊断腹部CT的最佳keV设置。
腹盆部CT通常在一次屏气期间完成。由于超高分辨率模式扫描时间较长,因此一般使用常规准直进行采集。在这种设置下,图像的最小层厚为0.4mm。
诊断腹部疾病的临床意义
光子计数CT扫描仪上的虚拟单色成像技术实现了更高的图像对比度和更低的图像噪声,能够精确描绘病变,具有改善肝脏和胰腺肿瘤及腹膜病变检测的潜力。正如上文所述,与传统CT相比,光子计数CT的虚拟单色图像有望提高对比噪声比。在模型研究中,光子计数CT在低辐射剂量下显著提高了小于1cm的局灶性肝病变的检测,尤其是在低辐射剂量下。光子计数CT的高空间分辨率和高对比度图像对于描绘小内脏动脉的CT血管造影也非常有效。
基于光子计数探测器能谱数据的虚拟平扫成像也是腹部CT中的一种有价值技术。光子计数CT的虚拟平扫图像具有与真实平扫图像相似的CT衰减精度。光子计数CT在量化精度方面显著优于传统双能量CT,即使在调整了辐射剂量和患者体型等混杂变量后也是如此。此外,Mergen等人证明,在95%的测量中,CT衰减差异在10 HU以内。
肝脏成像
肝细胞癌
肝细胞癌是最常见的原发性肝癌,也是发病率和死亡率较高的恶性癌症之一。在肝细胞癌的诊断成像中,动态增强CT的对比增强详细评估,如动脉期的早期增强和平衡期的洗脱模式,提供了非常重要的线索。光子计数CT的高对比噪声比使得可以清晰地可视化微小的对比差异,这可能有助于未来提高诊断性能(图5)。
图5 动脉期(A, B)和平衡期(C, D)在70 keV(A, C)和50 keV(B, D)的增强光子计数CT图像。动脉增强和HCC的洗脱模式在50 keV图像(B, D)上比在70 keV图像(A, C)上更清晰地可见(箭头)。低血管结节(箭头:疑似发育不良结节)在50 keV图像(B)上的轮廓也比在70 keV图像(D)上更清晰。肝转移
肝转移是最常见的肝癌类型,大多数病例具有低血管特征。与常规单能量CT相比,光子计数CT的虚拟单色图像显示出降低的图像噪声,在较低的keV水平上提高了低血管肝转移的显著性,尤其是高体重指数的患者比常规CT受益更多(图6)。
图6 多发性胰腺癌转移性肝肿瘤在虚拟单色图像上显示,分别为40 keV(A)、50 keV(B)、60 keV(C)、70 keV(D)和用光子计数CT在120 kVp时获得的多色图像(即T3D)(E)在门静脉优势期期间。肝转移和肝实质之间的对比噪声比分别为14.6、11.9、9.8、8.5和7.4。肝脂肪变性
肝脂肪变性,包括代谢功能相关脂肪性肝病和代谢功能相关脂肪性肝炎,是一种严重的肝脏病理状况,可能发展为肝硬化和肝细胞癌。肝内脂肪的估计对肝脂肪变性的诊断至关重要。光子计数CT已被证明在虚拟平扫图像中对基于指数的肝脂肪估计准确,并有可能在增强腹部CT扫描中提高肝脂肪变性的偶然发现率(图7)。此外,光子计数CT在存在铁超载的情况下也能量化肝内脂肪。
图7 用光子计数CT获取的真实平扫CT图像(A)和从增强图像数据中获得的虚拟平扫CT图像(B)。光子计数CT的虚拟平扫图像与真实平扫图像的CT衰减准确度相似。在两种图像中,肝实质的衰减低于脾脏,表明肝脂肪变性。胰腺成像
胰腺癌
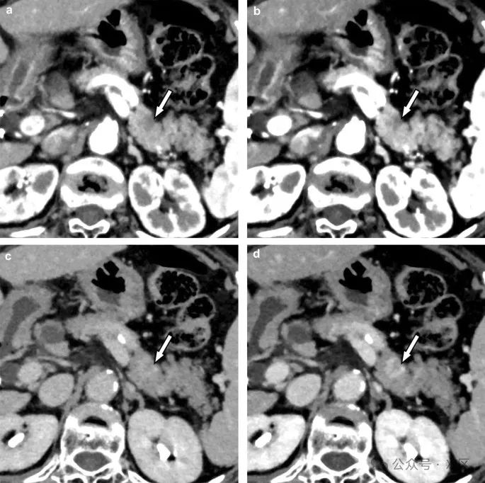
在各种癌症中,胰腺癌的预后显著差,早期发现对患者生存至关重要。胰腺癌通常表现为低血管肿块,但在早期阶段由于其小尺寸和低对比度,常常难以通过诊断成像CT或MRI检测到。光子计数CT的70 keV或以下的虚拟单色图像在胰腺期和门静脉期显著提高了胰腺癌的显著性,与能量积分探测器CT相比(图8)。此外,胰腺癌是一种高度侵袭性的肿瘤,在治疗前确定其侵袭程度非常重要。光子计数CT的高空间分辨率在评估肿瘤侵袭方面也可能有用。
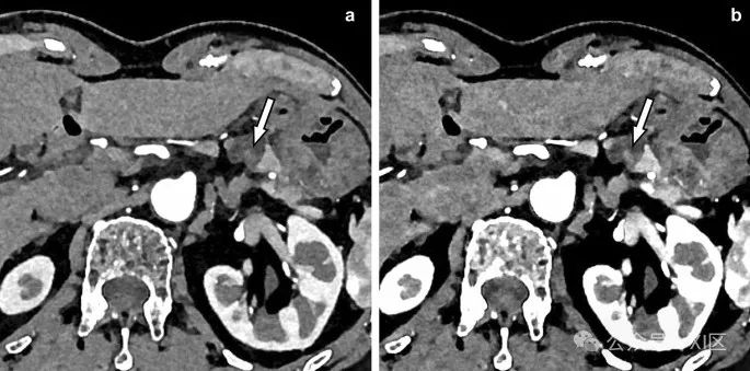
图8 胰腺尾部的小低血管结节(箭头)在胰腺实质期(动脉期)光子计数CT图像上分别在70 keV(A)和50 keV(B)可见。同时,肿瘤的增强(箭头)在平衡期分别在70 keV(C)和50 keV(D)可见。50 keV图像(D)上的延迟增强比70 keV图像(C)上更明显。小的胰腺癌常常在胰腺实质期不可见,但在平衡期仅作为延迟增强病变可见。光子计数CT获得的低keV图像可能有助于胰腺癌的早期发现。导管内乳头状黏液性肿瘤
导管内乳头状黏液性肿瘤是最常见的胰腺囊性肿瘤。对导管内乳头状黏液性肿瘤的关注增加是由于其独特的恶性进展特征。光子计数CT比传统能量积分探测器CT检测到更多的胰腺囊肿。福冈共识提出了两级标准来预测导管内乳头状黏液性肿瘤的恶性,“高风险标志”和“担忧特征”。对于具有阻塞性黄疸、增强的壁结节和主导管扩张≥10 mm的“高风险标志”的患者,建议立即手术切除。因此,准确评估成像上的这些发现是必要的。光子计数CT成像在小结构如增强的壁结节的准确评估中可能特别有用(图9)。
图9 胰腺尾部的囊性病变伴壁结节(箭头)在胰腺实质期(动脉期)光子计数CT图像上分别在70 keV(A)和50 keV(B)可见。囊性病变与导管内乳头状黏液性肿瘤一致。50 keV图像(B)显示壁结节的增强比70 keV图像(A)更清晰。这种结节是恶性(即高风险标志)的标志。血管成像
血管解剖评估
在进行腹腔镜手术时,外科医生必须掌握大量术前的血管解剖信息以规划手术。术前成像如CT血管造影的血管变异可视化有助于识别这些血管,防止致命的血管损伤。CT血管造影的血管解剖评估在动脉栓塞术的术前评估中也很有用。光子计数CT在血管成像的多个方面显示了显著的改进。Dillinger等人报告称,在60-70 keV的虚拟单色图像在血管对比度方面提供了最佳的客观和主观图像质量。
图10 光子计数CT由于其卓越的空间分辨率,也非常适用于CT血管造影(A)。在此案例中,肝细胞癌通过经动脉化疗栓塞术进行治疗,术中还进行了腹腔动脉造影(B)。CT血管造影清晰地描绘了肝动脉的周边,这可能有助于选择性导管插入肝动脉分支。血栓
增强CT也在血栓诊断中有用。通过光子计数CT,即使是小血栓也能清晰可见,有助于准确诊断。
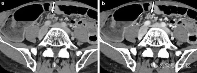
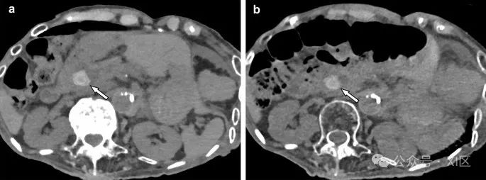
图11 肠系膜静脉中的小血栓(箭头)在光子计数CT图像上可见,分别为70 keV(A)和50 keV(B)。50 keV图像(B)显示血栓的对比度高于70 keV图像(A)。光子计数CT在静脉血栓的可视化方面表现出色。挑战
使用光子计数CT进行腹部疾病诊断的研究仍处于早期阶段,并已发现了几个挑战。
其中一个挑战可能是确定用于诊断腹部病变的最佳成像参数。由于获取图像的类型取决于检查的目的,可能需要考虑不同临床情况下的最佳设置。这些情况可以分为治疗前检查、常规检查和肾功能不全患者的检查。每种情况分别需要提高诊断性能、降低辐射剂量和减少对比剂剂量。参数的多样性(例如辐射剂量、卷积核、迭代重建水平、虚拟单色图像的能量水平)也使问题复杂化。需要适当地组织这些因素以定义合理的成像条件。
另一个问题可能是缺乏证据表明光子计数CT在检测和诊断疾病能力方面是否显著优于传统CT系统。在这种情况下,应特别注意比较的传统CT是与光子计数CT类似的能谱图像还是非能谱图像。
需要进一步的研究来解决这些问题。
结论
光子计数CT为腹部CT成像提供了高对比噪声比,可能提高小或低对比度病变的可视化能力。此外,光子计数CT还可能有助于降低辐射暴露剂量。
更多干货,关注XI区!
编译整理自:Onishi H, Tsuboyama T, Nakamoto A, Ota T, Fukui H, Tatsumi M, Honda T, Kiso K, Matsumoto S, Kaketaka K, Enchi Y, Kawabata S, Nakasone S, Tomiyama N. Photon-counting CT: technical features and clinical impact on abdominal imaging. Abdom Radiol (NY). 2024 Jun 18. doi: 10.1007/s00261-024-04414-5. 仅供专业人士交流目的,不用于商业用途。
2024年7月1日
本文为澎湃号作者或机构在澎湃新闻上传并发布,仅代表该作者或机构观点,不代表澎湃新闻的观点或立场,澎湃新闻仅提供信息发布平台。申请澎湃号请用电脑访问http://renzheng.thepaper.cn。





- 报料热线: 021-962866
- 报料邮箱: news@thepaper.cn
互联网新闻信息服务许可证:31120170006
增值电信业务经营许可证:沪B2-2017116
© 2014-2026 上海东方报业有限公司




