- +1
CT膝关节造影技术
原创 赵喜同学 XI区
关节造影检查是将造影剂注入关节,然后进行多平面断层成像。关节造影检查优于简单的多平面关节成像,因为它能以关节扩张的形式提供额外的特征。不过,CT 关节造影是一种侵入性检查,可能会有一定的风险,如辐射暴露、注射部位疼痛、出血、感染、不慎注射入滑囊、血管迷走性晕厥和造影剂反应。目前,CT 关节造影的适应症包括 ACL 重建后的膝关节、有金属加工的患者以及其他磁共振成像的禁忌症。
技术
膝关节是一个铰链型滑膜关节,有三个隔室。其中最大的是胫股隔室,其次是髌股隔室和胫腓骨近端隔室。髌股间隔是关节造影研究中最容易进入的部位,可以从内侧或外侧进入。在大多数情况下,内侧比外侧更容易,因为它更宽,疼痛更小。关节定位可以盲法下进行,也可以使用透视、超声或CT的图像引导下进行。盲法定位包括触诊髌股关节,用手指作为指针指向关节中心,随后放置针头。这种技术的缺点是,对于大体型患者来说更困难,并且缺乏预先规划的图像。超声引导注射是向关节内注射类固醇的首选方法,因为它们不涉及辐射,而且速度更快。然而,这种技术不适合用于关节造影检查,因为必须将患者转移到另一台机器上才能获得第二组图像。CT定位和注射是最好的方法,因为它涉及到可以读取的预先规划图像。随后进行定位,如果检测到病理,可以在注射造影剂之前进行排空。
推荐使用三重关节图,包括用于关节定位和快速解释的短期预先计划CT。可以观察任何骨折、血肿、钙化或肿瘤。随后在预定的定位位点注射1%的利多卡因。现在要在检查床上评估关节内是否有液体滴出。在注射造影剂之前,所有关节液都应完全排空,并送去做病理检查,因为这会干扰膝关节内部结构的充分轮廓,并导致造影剂稀释。简单的临床解释,如关节部位滴血,则表示关节内部病变或骨折。浆液通常表示退行性或炎症变化。第三步包括用21G针头联合穿刺和注射10 ml碘造影剂(Iohexol 300 mg I/mL),然后进行 5 分钟的活动,如行走,并在进一步成像中对关节进行详细评估。
膝关节可能受到各种病理的影响,包括先天性、创伤性、炎症性、退行性和肿瘤性。先天性膝关节病变通常使用平面放射成像,关节造影没有任何作用。关节造影在评估创伤、炎症和退行性病变中发挥着重要作用。
创伤
前交叉韧带(ACL)撕裂是导致内部损伤的最常见原因。如果仔细观察,预先计划的CT显示股骨外侧髁的血肿和压痕(图1)。在手术台上评估过程中可以看到带血迹的抽吸物,对比后图像显示全厚度缺损。仔细检查横断位图像至关重要,因为微小的全厚度撕裂很容易被忽视。CT关节造影提供了一个独特的优势,因为与MRI不同,多平面重建(MPR)可以在任何平面上进行,而无需增加扫描时间。CT对ACL重建膝关节特别有益(图1B),因为金属制品的原因,MRI是禁忌。必须仔细检查软组织窗图像,以便更好地解释。ACL撕脱伤通常是潜在骨折的副产品。预规划图像显示了发际骨折(图1C)。台上评估显示吸出物带血,对比后图像显示ACL和骨折线增厚。在CT关节造影检查中很难检测到部分撕裂或粘液样变性。在适当的临床环境中,前交叉韧带的体积外观、纤维的广泛分离和物质内对比可以增加诊断的可信度(图1D)。
图1 ACL撕裂:(A)关节造影后矢状位图像显示完全的ACL撕裂(箭头)。(B) 重建的前交叉韧带完全撕裂,(C)前交叉韧带撕脱(箭头)。(D) 物质内对比的粘液样变性(箭头)。后交叉韧带(PCL)损伤在外观上与ACL损伤非常相似(图2A)。PCL撕脱也与潜在的骨折和血肿有关(图2B)。
图2 PCL撕裂:(A)关节造影后矢状位图像显示完全PCL撕裂(箭头)。(B) PCL撕脱。骨折和脱位在平片图像上更容易看到。细微的发际线骨折在预先计划的CT图像和手术中的血性抽吸物上更容易看到(图1C)。髌内侧半脱位或脱位的解释大多基于准确的临床病史和在适当的临床背景下髌内侧支持带的增厚。CT关节造影也有助于检测其他发现,如滑车发育不良(图3A-C)。
图3 髌骨半脱位/移位:(A)和(B)轴位图像分别显示软组织窗和骨窗中内侧髌骨支持带增厚(箭头)。(C) 轴位切片显示相关滑车发育不良(箭头)。半月板撕裂的解释与MRI非常相似。在预先计划或手术台上评估中没有其他发现。径向撕裂表现为中部的线性缺陷(图4A)。桶柄状撕裂通常表现为髁间切口中的移位碎片(图4B)。半月板囊肿在关节造影片上可以更好地看到,因为囊肿内充满了造影剂。超声检查发现的半月板旁囊肿在CT关节图上也能更好地评估,CT关节图显示相关半月板撕裂(图4C)。
图4 半月板撕裂:(A)和(B)外侧半月板的径向撕裂(箭头)。(C) 桶柄状撕裂内侧半月板,长箭头指向缩短的半月板,短箭头指向翻转段。(D) 半月板囊肿(长箭头)和相关的水平撕裂(短箭头)。副韧带损伤通常与其他损伤有关。外侧副韧带损伤与膝关节损伤三联征有关。关节造影后图像通常显示造影剂延伸到侧副韧带实质中(图5A和B)。
图5 副韧带损伤:(A)膝关节前交叉韧带撕裂(箭头),伴有典型的奥氏三联征。(B) 同样的膝盖显示LCL扭伤(箭头)。(C) 另一个膝盖显示MCL几乎完全撕裂(箭头)。软骨损伤并不常见。关节造影图像显示关节软骨填充缺陷,有分层碎片(图6A)。伸肌机制损伤最好在超声图像上看到,但也可以在CT关节造影上看到。髌骨袖撕裂显示髌骨轻微断裂,伴有或不伴有血肿(图6B)。
图6 软骨损伤:(A)股骨外侧髁关节软骨分层段(箭头)。(B) 相应的矢状位图像。肌腱病变的外观与超声图像相似,有增厚。大多数发现可以在预先计划的CT中看到。进行CT关节图成像以确定任何其他病理,如半月板撕裂。Pelligrini-Stieda病表现为内侧副韧带增厚并钙化。一旦确定,患者可以接受类固醇注射治疗,如本例所示(图7A)。髌腱病也有类似的外观,并伴有增厚(图7B)。髂胫束肌腱病显示沿着肌腱带有液体(图7C)。
图7 肌腱病变:(A)MCL钙化和增厚(箭头)与Pelligrini Steida病一致。(B) 超声引导下注射类固醇治疗的同一膝关节的超声图像,箭头指向MCL滑囊处的类固醇+局麻药混合物。(C) 髌腱病(箭头)和(D)髂胫带滑囊炎(箭头)。退行性病变
退行性改变是进行CT关节造影最常见的原因。预先规划的结果包括关节间隙缩小、骨质增生和软骨下硬化症(有或无松动体)。临床评估通常显示浆液性积液。CT关节造影也有助于记录每个隔室的软骨厚度(图8A和B)。随访成像有助于记录进展或疾病稳定性。此外,术前CT平扫成像对全膝关节置换术的准确尺寸测量非常有用。
图8 骨关节炎:(A)胫股内侧室的轻度骨关节炎。(B) 髌股关节室中度改变伴软骨脱落(箭头)。晶体性关节病
这些是一组与关节中晶体沉积有关的关节疾病,其中痛风最常见,焦磷酸钙二水合物晶体沉积病(CPPD)不太常见。膝关节是痛风的常见部位。规划前的图像显示软组织钙化和侵蚀,从微小病灶到广泛侵蚀不等(图9A和B)。慢性痛风在关节周围区域产生密集钙化。所有怀疑痛风的患者都应接受关节抽吸以进行晶体鉴定。手术台上评估通常显示血清液,应进行抽吸。关节造影图像可以将单个钙化移位,从而更好地解释微小病例。在严重的病例中,关节完全闭塞,没有任何造影剂填充关节间隙。如果关节内没有足够的液体,抽吸贝克氏囊肿进行晶体分析是非常有用的。CPPD在计划前CT上更为明显,半月板和关节软骨钙化(图9C)。同样,在手术台上评估中发现的任何液体都可以送去进行晶体分析。这一发现的鉴别诊断是退行性半月板钙化,这种钙化只发生在半月板中,而不发生在关节软骨中。
图9 晶体性关节病:(A)膝关节内侧(箭头)和外侧(箭头)广泛的软组织钙化,提示痛风。(B) 轴位图像显示广泛钙化(箭头)。(C) 和(D)关节造影后和关节造影前图像显示半月板钙化(箭头),提示CPPD。骨肿瘤
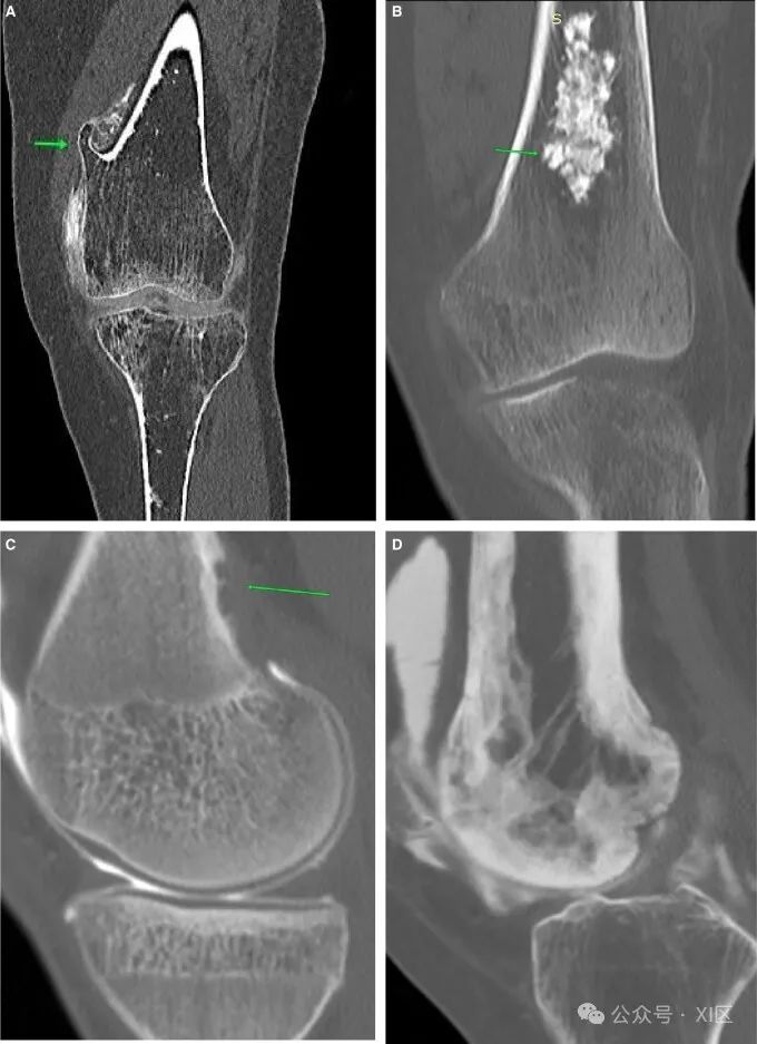
关节造影检查可发现偶然的骨肿瘤。在注射造影剂之前,应仔细筛查计划前图像中的任何骨骼病变。常见的成骨性良性肿瘤包括骨质外生瘤(图10A)、软骨瘤(图10B)、骨化性纤维瘤和纤维皮质缺损(图10C)。当对膝关节进行疼痛成像时,也可能偶然发现罕见的病理,如佩吉特病(图10D)。膝关节的自发性骨坏死表现为膝盖疼痛。预先计划的CT显示局灶性骨质增生,但无骨软骨缺损。对比后图像显示了骨软骨缺损的完整范围(图11A和B)。先前的关节造影(图11C)可用于显示骨软骨区域的急性变化。
图10 骨肿瘤:(A)典型骨软骨瘤(箭头)。(B) CT扫描中发现的对侧膝关节典型软骨瘤(箭头),随后进行了成像。(C) 偶然发现的纤维皮质缺损(箭头)。(D) 典型的股骨 Paget 病。
图11 自发性骨坏死:(A)股骨内侧髁(箭头所示)的深部急性凹陷,伴有血性抽吸液。(B) 近一年前的关节造影图像,显示股骨内侧髁正常。滑膜肿瘤
滑膜肿瘤在CT关节造影上明显可见。其中最常见的是树状脂肪瘤、色素沉着绒毛结节性滑膜炎(PVNS)和滑膜软骨瘤病。脂肪瘤树状结构在临床上表现为不消退的关节积液,有反复穿刺史。计划前CT显示髌上滑膜中存在肉眼可见的脂肪(图12A和B)。动态超声图像显示滑膜隐窝内悬挂的回声性病变。手术台上评估产生浆液性穿刺,造影后图像显示对比物包围的脂肪密度。由于正常膝关节在髌上隐窝内有脂肪,脂肪瘤树状病变通常会被过度诊断。完全被造影剂包围的脂肪滴更有利于脂肪瘤树状化,而在正常的髌上滑膜上,脂肪仅在隐窝的后部可见,造影剂位于隐窝上方。
图12 脂肪瘤树状:(A)超声图像显示髌上隐窝中的回声物质(箭头)。(B) 相应的计划CT图像显示髌上隐窝中的大块脂肪(箭头)。PVNS是一种罕见的滑膜肿瘤,可产生滑膜增殖和含铁血黄素沉积。临床上,表现为反复出现带血的滑膜渗出和疼痛。预先计划的CT显示大量不成比例的积液。在对比后图像中,滑膜增厚,主要发生在Hoffa脂肪垫以及后隐窝和侧隐窝(图13A-C)。CT关节造影为超声引导下的核心活检诊断提供了有用的规划。CT关节造影也可用于随访复发的治疗病例。
图13 PVNS:(A)超声图像显示髌上隐窝有内部血管的实体性病变(箭头)。(B) 相应的CT关节造影图像显示髌上隐窝的软组织增厚(箭头)。(C) 霍法的脂肪垫(箭头)在同一个膝盖上发生了广泛的变化。滑膜软骨瘤病可以在平片上简单地诊断出来。CT关节图提供了关于非钙化疏松体以及疏松体是活动的还是静止的额外信息,用于术前计划(图14A-C)。
图14 滑膜软骨瘤病:(A)和(B)AP和侧位投影X光片显示广泛的疏松体。(C) 相应的CT图像显示松散的身体。其他
独眼巨人病变很少在CT关节造影上被发现。预先规划和临床评估通常无异常。对比后图像显示,髁间前切迹有软组织病变(图15A)。这一点,再加上临床评估困难史和既往ACL修复史,为诊断增加了可信度。MRI可以在治疗前为诊断增加确定性(图15B)。
图15 Cyclop病变:(A)前交叉韧带重建患者的矢状位图像显示Hoffa脂肪垫中的软组织增厚。(B) 相应的轴向图像显示气球状环病变(箭头)。(C) 回顾2013年的PD加权矢状位MR,显示未发现发展中的环状病变(箭头)。结论
在MRI成像时代,CT关节造影很少被用作诊断工具。准确的临床检查加上精细的技术和对细节的关注可以从CT关节造影中获得最佳结果。CT关节造影还可以对关节液的采集进行动态评估,在某些情况下可以立即诊断,在其他情况下可以进行诊断,并取得积极的结果。
更多干货,关注XI区!
文献原文:Chatra P. The CT knee arthrogram revisited. BJR Open. 2023 Dec 12;6(1):tzad007. doi: 10.1093/bjro/tzad007.仅供专业人士交流目的,不用于商业用途。
2024年7月15日
本文为澎湃号作者或机构在澎湃新闻上传并发布,仅代表该作者或机构观点,不代表澎湃新闻的观点或立场,澎湃新闻仅提供信息发布平台。申请澎湃号请用电脑访问http://renzheng.thepaper.cn。





- 报料热线: 021-962866
- 报料邮箱: news@thepaper.cn
互联网新闻信息服务许可证:31120170006
增值电信业务经营许可证:沪B2-2017116
© 2014-2026 上海东方报业有限公司




