- +1
刀下留人系列之四:通过脑脊液细胞学明确诊断中枢淋巴瘤1例分享
原创 赵桂宪 赵桂宪大夫
前言:本公众号前期已经发了多篇关于通过脑脊液细胞学辅助诊断淋巴瘤和其它肿瘤的文章,随着对中枢淋巴瘤认识的不断深入,我们团队对淋巴瘤的诊断,尤其是通过相对创伤小、耗资少又能早期诊断淋巴瘤的方法也在不断探索,这次给大家分享一个通过脑脊液细胞学明确诊断中枢神经淋巴瘤的病例,也希望此方法能够给同道们一些提示和借鉴! (这里特别请神经外科同道们见谅,无形中减少了你们的工作量)
患者男,38岁,因“记忆力减退6月,头胀痛1.5月”入院。
2018.4 开始出现记忆力下降(近期记忆力下降为主),未予特殊治疗。2018.6月底症状加重,7.4转至某附院诊治。入院查相关化验检查无殊,以“中枢神经系统脱髓鞘病变”予甲强龙1.0g冲击治疗并逐渐减量,辅以补钙、补钾、护胃、营养神经、补充叶酸、B族维生素等对症支持治疗。7.23患者症状好转,但感视物模糊。患者出院后激素逐渐减量,2018.10底激素减停后再次出现记忆力下降,伴头胀头痛,沉默寡言。为进一步诊治遂来门诊就诊。
7.4入院后化验检查:
血生化、感染指标(HIV、RPR+TPPA、肝炎)、风湿免疫指标、中枢神经系统脱髓鞘抗体:均未见异常。
腰穿提示:压力135mmH2O,脑脊液常规:有核细胞 8*106/L,红细胞4*106/L。生化:蛋白含量71.2mg/L,IgG指数0.46, IgG寡克隆条带阴性。脑脊液细菌、隐球菌阴性,RPR+TPPA阴性。自身免疫性脑炎抗体、中枢神经脱髓鞘抗体:均阴性。
辅助检查:
心电图:窦性心动过缓。
B超:腹部+泌尿系+心脏彩超+浅表淋巴结无异常。
胸部CT:右下背侧少许胸膜增厚。
颈部CTA:右侧颈内动脉近端至海绵窦段血管闭塞,右侧椎动脉血管优势。
脑电图:低至50uV 9-10C/S,α节律,调幅:一般;两侧对称,视反应存在;脑电图印象:未见明显异常。
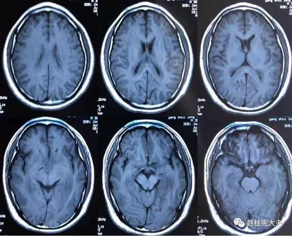
2018.7.6头颅MRI:胼胝体、穹隆及双侧脑室旁、基底节区、右侧延髓、桥臂异常信号,脱髓鞘病变考虑。头颅MRS:左枕叶病变区MRS显示:NAA下降,Cho升高,Cho/NAA=3.86,并见倒置乳酸峰。



2018.7.10磁共振增强:脑室周边病灶轻度强化。
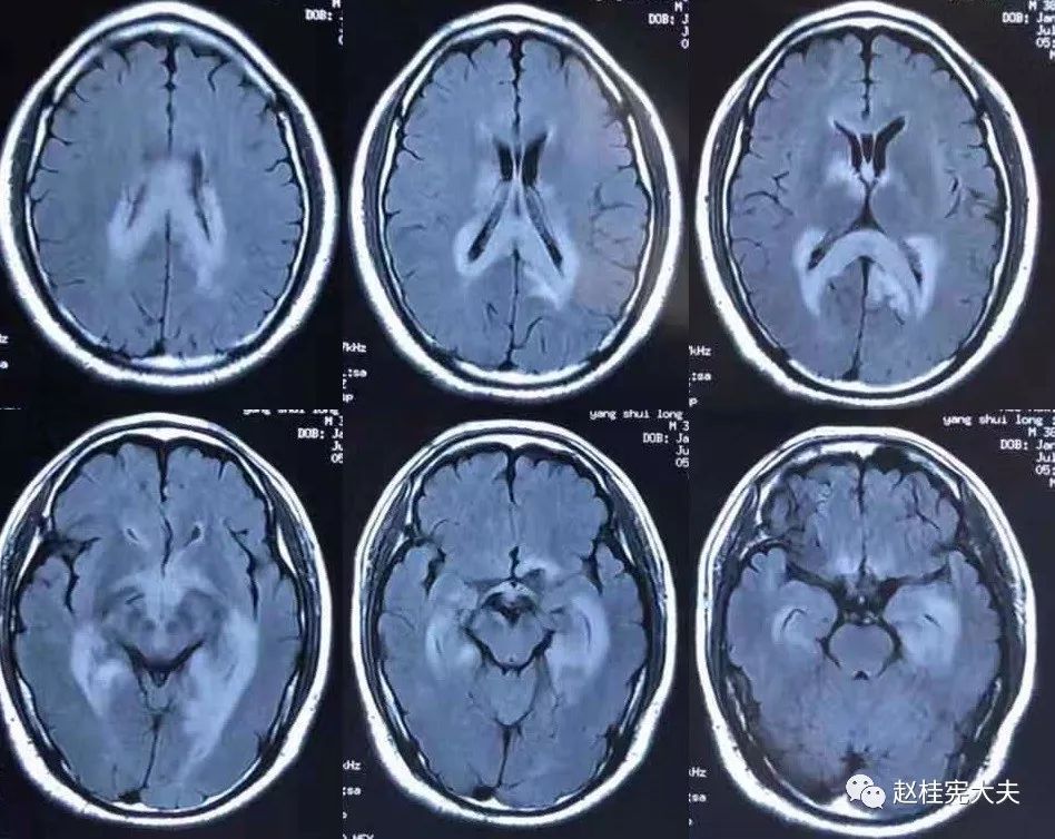
7.20复查头颅MRI平扫:胼胝体、穹隆及双侧脑室旁、基底节区、右侧延髓、桥臂广泛信号异常,对照前片(7.10)范围明显缩小。
2018.10复查头颅MRI:胼胝体压部、左侧部分枕颞叶、侧脑室枕角旁、中脑脱髓鞘病变,视神经脊髓炎谱系病?结合对照前片(7.4)病变范围有所缩小。


我看到患者时的思考:当了解了患者前期诊疗经过后,在看到患者磁共振片子时,我的第一反应就是淋巴瘤。尽管患者激素治疗后症状有好转,病灶在磁共振上看起来也是有好转,但淋巴瘤也会出现这样的表现。
我对满脑室边的病灶的体会是:遇到这样的病例,首先要考虑感染、肿瘤(如室管膜瘤、生殖细胞瘤、淋巴瘤或转移瘤脑室播散等等),炎症要放到后面去考虑,脱髓鞘的诊断要打个大大大大的?。炎症中,血管炎不像,自免脑也不是很支持,尽管边缘系统似乎也有受累,但患者边缘叶脑炎的精神、行为异常、癫痫等症状很少,而且磁共振上看去除了边缘系统,整个脑室系统都有受累,这个和常见自免脑不符。视神经脊髓炎谱系病?尽管病灶在水通道蛋白富集区,但这样的视神经脊髓炎(视神经和脊髓均未受累,近脑室边的异常信号)至少罕见,即使诊断,也应该是排除其它的疾病后才可能考虑。
要找到证据证明我的观点,最简单的就是脑脊液细胞学,如果运气好,直接通过腰穿可能就搞定了,连脑活检都不需要做了。所以,我将病人收住入院。因患者停激素时间仅有1周左右,时间有点短,所以,特别让患者等到合适的时间住院直接做腰穿。
入院经过:
患者此次住院目标明确,入院后第一件事就是做腰穿,所以特别关照我们检验科的小伙伴关注脱落细胞,结果果然不出所料,镜下可看到约3%形态变异的幼稚样淋巴细胞,该类细胞体积较大,胞浆量中等或丰富,色蓝,部分可见瘤状突起,胞核呈椭圆形或不规则形,核染色质疏松,可见1-3个核仁,偶见其核分裂型。
有了这个初步结果,进一步做了酶标,结果更说明问题:
血液科医生要按淋巴瘤治疗光这个结果还不够,一定要铁板钉钉,怎么办?留取脑脊液送流式细胞分析,结果支持弥漫大B细胞淋巴瘤。
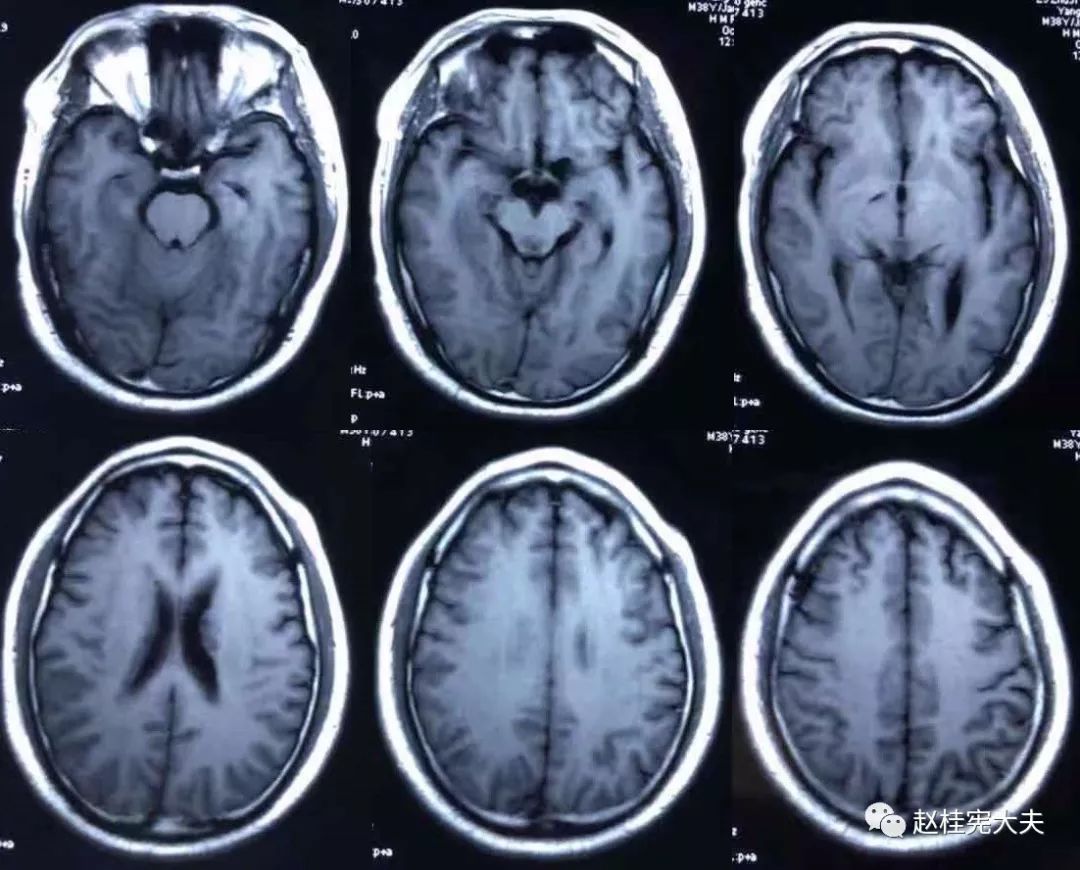
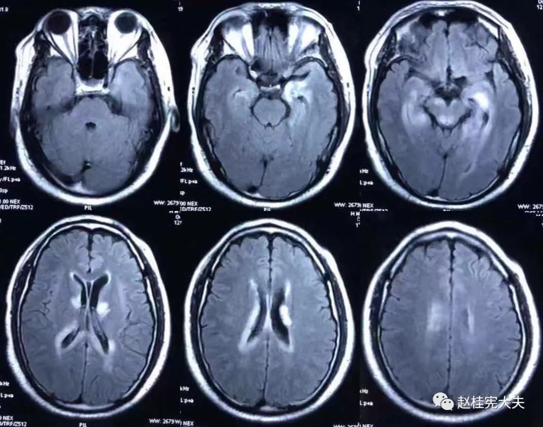
患者住院期间还请眼科会诊,除双眼玻璃体轻度浑浊,视力、视野、OCT均未见明显异常,未建议行玻切明确诊断。患者入院后嗜睡症状有加中,但一直未诉头痛,仅是头昏,静滴甘露醇症状减轻不明显。复查头颅磁共振平扫+增强:病灶范围较前明显扩大。轻度强化。
患者的诊断算是告一段落,患者转入血液科正规治疗了,我们神经内科医生的任务也基本完成了。这个算是完全靠脑脊液细胞学诊断中枢神经系统淋巴瘤的成功例子,患者在免去了行脑活检的痛苦和经济负担,应该是以最小的创伤和最少的花费明确诊断,减轻了患者本人和社会的医疗负担,目前越来越多的同道们也在不断摸索,希望找到敏感性和特异性均够高的方法快速、简便诊断中枢肿瘤性或感染等疾病。当然,脑脊液细胞学的阳性检出率目前还不够高,这个取决于很多原因,包括离心制片、染色等客观环节和看片这样的主观环节多个因素,还需要不断摸索。
确实,医生的决策决定了患者的诊治,医学没有绝对,也没有止境,每一个患者都是独一无二的,同一个病在不同的患者身上可以有完全不同的表现,同一种表现可以出现在不同的疾病中,医者唯有不断提高自己,才能更好地为患者解决疑难问题。
致谢:特别感谢江苏镇江丹阳中医院神经内科 丁晨云 医生的辛勤付出!感谢我山检验科 李向宇、陈锟 医师,血液病研究所 朱萍、吴蓓倩医师和血液科 丁天凌博士的大力协助!
欢迎关注微信公众号(赵桂宪大夫:cactus20150101)和视频号(神经内科赵医生),获取更多科普知识。
赵桂宪 临床医学博士
复旦大学附属华山医院神经内科 副主任医师
国家神经疾病医学中心脑胶质瘤MDT专科联盟第一届理事会 理事
《中国临床案例成果数据库》学术委员会罕见病专业组 委员
中国医药教育协会神经疑难病多学科诊疗工作委 员会
原标题:《刀下留人系列之四:通过脑脊液细胞学明确诊断中枢淋巴瘤1例分享》
本文为澎湃号作者或机构在澎湃新闻上传并发布,仅代表该作者或机构观点,不代表澎湃新闻的观点或立场,澎湃新闻仅提供信息发布平台。申请澎湃号请用电脑访问http://renzheng.thepaper.cn。





- 报料热线: 021-962866
- 报料邮箱: news@thepaper.cn
互联网新闻信息服务许可证:31120170006
增值电信业务经营许可证:沪B2-2017116
© 2014-2026 上海东方报业有限公司




