- +1
刘万里/饶燏/丁宁团队利用PROTAC靶向降解BTK,治疗自身免疫病
原创 生物世界
撰文丨王聪编辑丨王多鱼
排版丨水成文
蛋白靶向降解嵌合体(PROTAC)是近年来蓬勃发展的新兴蛋白质降解策略,由 Craig Crews 等人于2001年率先提出,其基本原理是使用双功能小分子,通过泛素-蛋白酶体系统诱导靶蛋白的泛素化,进而实现靶蛋白降解。自2019年第一个靶向雄激素受体的PROTAC降解剂ARV-110进入临床研究以来,PROTAC领域进入快速发展期。
BTK蛋白(布鲁顿酪氨酸激酶)是一种酪氨酸激酶和B细胞受体(BCR)信号通路的关键调节剂,在B细胞淋巴瘤细胞中过度激活。饶燏团队之前的研究表明,PROTAC技术可以实现对野生型和突变型BTK蛋白的有效降解,此后,他们还开发了新一代BTK降解剂L18I,表现出更好的溶解性和降解BTK的效率。
值得注意的是,除了B细胞淋巴瘤外,BTK功能障碍还在自身免疫病中发挥重要作用。近年来,BTK抑制剂已被用于自身免疫病的治疗,但由于临床疗效和安全性的问题,在临床试验中既有成功也有失败。虽然PROTAC靶向降解BTK表现出最低的脱靶效应,但还没有研究探索使用PROTAC靶向降解BTK来治疗自身免疫病。
2024年8月6日,清华大学刘万里、饶燏及北京大学肿瘤医院丁宁等人在 Cell Discovery 期刊发表了题为:PROTAC for Bruton’s tyrosine kinase degradation alleviates inflammation in autoimmune diseases 的研究论文。
该研究表明,靶向BTK(布鲁顿酪氨酸激酶)的PROTAC降解剂L18I能够有效治疗自身免疫病狼疮及其严重并发症弥漫性肺泡出血(DAH),L18I有可能成为BTK抑制剂治疗自身免疫病的更安全、更有效的替代方案。
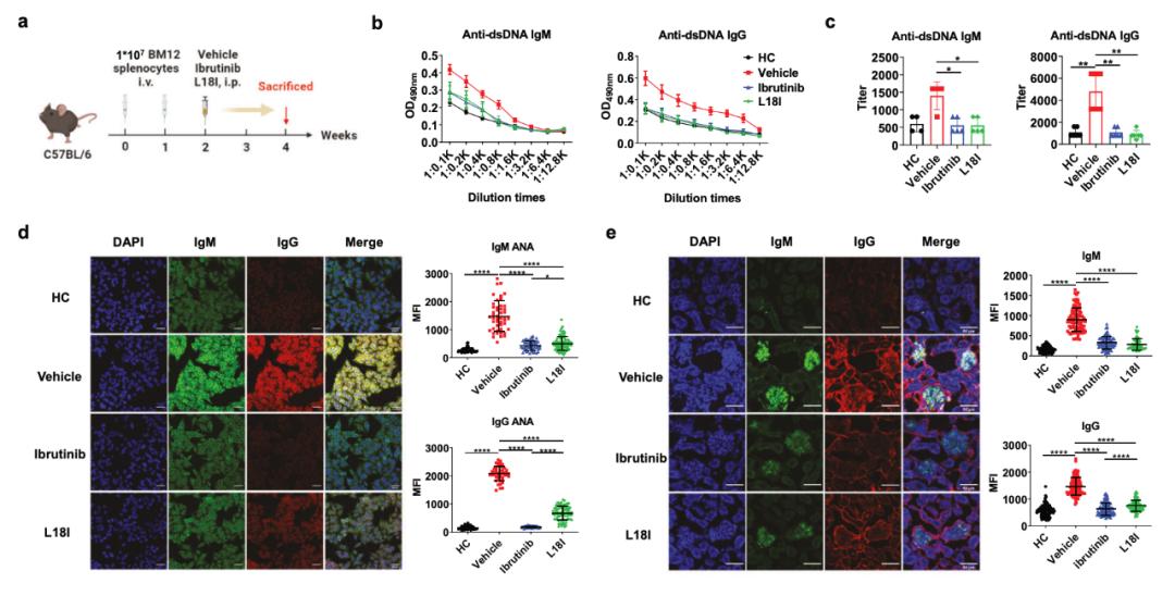
鉴于PROTAC相对于抑制剂的潜在优势,尤其是它们能够降解整个蛋白质,这可能抑制靶蛋白的整个生理功能,在这项最新研究中,研究团队探索了靶向BTK的PROTAC降解剂L18I在狼疮中的作用。首先,研究团队将BM12脾细胞过继转移到C57BL/6小鼠体内以诱导狼疮样自身免疫病,在诱导第二周开始使用L18I治疗,并持续两周时间。伊布替尼(Ibrutinib)是一款美国FDA批准的用于治疗B细胞恶性肿瘤的BTK抑制剂,由于其在自身免疫病中的治疗效果,被用作阳性对照。
结果显示,L18I和伊布替尼均能有效减轻BM12诱导的狼疮症状,具体而言,治疗后IgM和IgG自身抗体、抗双链DNA和抗核抗体的水平均减少,肾小球中抗原-抗体免疫复合物的沉积也减少了。
弥漫性肺泡出血(DAH)是狼疮疾病一种极其严重的并发症,死亡率约为50%,其表现为呼吸困难和肺部浸润,大多伴有肾脏疾病、抗双链DNA抗体升高和低补体血症。然而,目前常用的DAH治疗方法,特异性低,且有副作用。因此,迫切需要针对DAH的靶向药物。研究团队推测,BTK降解剂可能在DAH的治疗中具有潜在作用。研究团队构建了DAH小鼠模型,这些小鼠模型根据肺部病理特征,被分为无DAH、部分DAH和完全DAH,然后使用不同剂量的L18I或伊布替尼治疗。与对照组相比,L18I显著降低了DAH的患病率,而伊布替尼仅表现出部分有效性。
作为进一步验证,基于肺组织HE染色的DAH评分显示,L18I减少了肺出血和免疫细胞浸润,其效果比伊布替尼更为显著。与此一致的是,肺和脾的重量以及总血清IgM水平在L18I治疗后降低,这是DAH综合征减轻的独立指标。此外,L18I还降低了DAH小鼠的死亡率。
上述实验结果表明, 在DAH小鼠模型的症状缓解方面,L18I相对于伊布替尼表现出一定程度的优势。在DAH进展过程中,髓系CD11b+Ly6Chi/Ly6Clo单核细胞浸润被认为与DAH的严重程度成正比。该研究显示,L18I和伊布替尼均降低了髓系CD11b+Ly6Chi/Ly6Clo单核细胞的比例和数量,且L18I治疗组小鼠肺组织Ly6Chi单核细胞比例略低于伊布替尼处理组,与肺出血程度一致。此外,DAH进展过程中,小鼠肺内B细胞和巨噬细胞的比例降低,但在L18I治疗后逆转至几乎等同于健康小鼠的水平,而伊布替尼治疗无此效果。
上述实验结果表明,L18I和伊布替尼均可缓解小鼠DAH症状,而L18I似乎比伊布替尼更有效地恢复了小鼠肺内正常的免疫细胞微环境。
综上所述,L18I不仅可以通过减少抗体分泌来有效缓解狼疮症状,还可以通过减轻炎症反应来缓解其严重并发症弥漫性肺泡出血(DAH)。考虑到伊布替尼(Ibrutinib)由于脱靶效应而产生的多重副作用以及新突变的出现导致的治疗无响应,L18I有可能成为BTK抑制剂治疗自身免疫病的更安全、更有效的替代方案。
论文链接:
https://www.nature.com/articles/s41421-024-00711-x
本文为澎湃号作者或机构在澎湃新闻上传并发布,仅代表该作者或机构观点,不代表澎湃新闻的观点或立场,澎湃新闻仅提供信息发布平台。申请澎湃号请用电脑访问http://renzheng.thepaper.cn。





- 报料热线: 021-962866
- 报料邮箱: news@thepaper.cn
互联网新闻信息服务许可证:31120170006
增值电信业务经营许可证:沪B2-2017116
© 2014-2026 上海东方报业有限公司




