- +1
【科技前沿】陈玲玲/李劲松等合作建立基于CRISPR-Cas13技术的小鼠早期胚胎发育过程中稳定敲…
以下文章来源于中国科学杂志社 ,作者中国科学生命科学
中国科学杂志社.
《中国科学》杂志社是国内外较具有影响力的科技期刊出版机构,目前主要产品包括《中国科学》系列、《科学通报》、《国家科学评论》、《国家科学进展》、《能源化学》和《医学+》等22种科技期刊,旨在见证中国科学发展,促进国际学术交流。
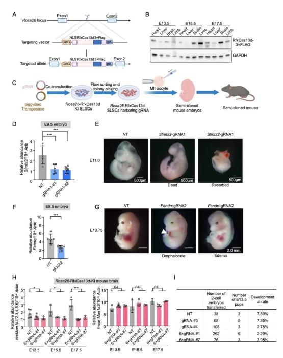
Science China Life Sciences 近日在线发表了中国科学院分子细胞科学卓越创新中心陈玲玲研究员和李劲松院士合作的最新研究成果“A CRISPR/RfxCas13d-mediated strategy for efficient RNA knockdown in mouse embryonic development”。文章将CRISPR-Cas13技术和类精子干细胞介导的半克隆技术结合,建立了在小鼠早期胚胎发育过程中稳定、高效且持续敲降不同种类RNA的新策略,为研究小鼠早期胚胎发育过程中特定RNA的功能提供了全新的研究手段。
RNA种类繁多,在发育过程中及各种生理病理条件下都发挥着重要的生物学功能,然而由于缺乏稳定且高效的RNA在体调控技术导致我们对发育过程中RNA功能的理解较为匮乏,为了解决这一问题,亟需建立一个新的研究平台。在该研究中,研究人员通过CRIPSR-Cas9技术将CRISPR-RfxCas13d插入到小鼠安全的基因整合位点Rosa26和H11中,发现在Rosa26基因位点插入后CRISPR-RfxCas13d蛋白可以在多个组织广泛且较高水平的表达,然后结合类精子干细胞介导的半克隆技术实现了在小鼠早期胚胎发育过程中对mRNA、lncRNA和circRNA的稳定高效的敲降,其中敲降mRNA-Sfmbt2在小鼠E11.0天会导致胚胎死亡;敲降lncRNA-Fendrr在小鼠E13.75天会导致胚胎露脐、水肿和心脏发育异常等情况;敲降circRNA-circMan1a2(2,3,4,5,6)会导致E13.5胚胎得率降低。此外文章还通过比较了一条gRNA和6条gRNA串联,发现6条gRNA串联具有更稳定更高效的敲降效果。
总之,该研究建立了一个在不影响遗传信息的条件下在小鼠胚胎发育过程中稳定高效敲降不同种类RNA的新平台,丰富了研究发育过程中RNA功能的新手段。
分子细胞卓越中心张麟博士和博士研究生曹诗梦为该文共同第一作者,陈玲玲研究员和李劲松院士为共同通讯作者。该工作得到了来自中国科学院、科技部、国家自然科学基金委和上海市科委的经费支持。论文链接:https://www.sciengine.com/SCLS/doi/10.1007/s11427-023-2572-6
本文转载自公众号“中国科学杂志社”
中国生物物理学会官方订阅号,为BSC会员及生物物理领域专业人士服务。
投稿及授权请联系:bscoffice@bsc.org.cn。
原标题:《【科技前沿】陈玲玲/李劲松等合作建立基于CRISPR-Cas13技术的小鼠早期胚胎发育过程中稳定敲降RNA的新方法》
本文为澎湃号作者或机构在澎湃新闻上传并发布,仅代表该作者或机构观点,不代表澎湃新闻的观点或立场,澎湃新闻仅提供信息发布平台。申请澎湃号请用电脑访问http://renzheng.thepaper.cn。





- 报料热线: 021-962866
- 报料邮箱: news@thepaper.cn
互联网新闻信息服务许可证:31120170006
增值电信业务经营许可证:沪B2-2017116
© 2014-2026 上海东方报业有限公司




