- +1
间歇性禁食可延长寿命,亚精胺在其中发挥必不可少的关键作用
原创 生物世界
撰文丨王聪
编辑丨王多鱼
排版丨水成文
持续热量限制(caloric restriction,CR)是延长模式动物寿命和健康寿命的金标准。近年来,间歇性禁食(intermittent fasting,IF)干预,通常联合热量限制,成为临床实施的替代方案。然而,到目前为止,尚不确定间歇性禁食带来的健康益处是由于暂时停止了热量摄入,还是由于实际上导致营养支持的总热量净减少。
间歇性禁食和热量限制一样,已被证明可以延长酵母、线虫、果蝇和小鼠等模式动物的寿命和健康寿命。而在人类中,间歇性禁食和长期禁食以及持续热量限制对多个健康相关参数产生有利影响,这些参数可能具有共同的机制基础,有强有力的证据表明,细胞自噬介导了这些效应。此外,亚精胺(Spermidine,SPD)与跨物种的自噬增强、抗衰老以及心血管和神经退行性疾病发病率降低有着类似关联。
那么,间歇性禁食和热量限制的抗衰老作用,是否与亚精胺有关或依赖于亚精胺,是一个值得探索的问题。
2024年8月8日,奥地利格拉茨大学、巴黎索邦大学、希腊克里特大学的研究人员合作,在 Nature 子刊 Nature Cell Biology 上发表了题为:Spermidine is essential for fasting-mediated autophagy and longevity 的研究论文。
该研究表明,亚精胺是禁食介导的自噬和长寿所必须的,在多个物种中,禁食对寿命和健康寿命的改善,部分依赖于亚精胺依赖的eIF5A-hypusination修饰和随后的自噬诱导。
在哺乳动物中,年龄相关的自噬通量减少会促进蛋白质聚集体的积累和功能失调的细胞器,以及病原体清除失败和炎症加剧。基因层面的自噬抑制,会加速小鼠的衰老过程。调控或执行自噬的基因的功能突变丧失,则与心血管疾病、感染性疾病、神经退行性疾病,以及代谢、肌肉骨骼、眼部和肺部疾病有因果关系,其中许多类似于早衰。相反,基因层面的自噬刺激则会促进模式动物(包括果蝇和小鼠)的寿命及健康寿命。
除了营养干预外,对酵母、线虫、果蝇和小鼠等模式动物使用天然多胺亚精胺(Spermidine,SPD)是另一种以自噬依赖的方式延长寿命的策略。此外,亚精胺可以恢复老年人循环淋巴细胞的自噬通量,这与饮食中亚精胺摄取增加与人类总体死亡率降低相关的观察结果相吻合。
亚精胺是一种广泛存在于生物体内的天然多胺,最早在精液中发现,这也是其名字的来源。当然,亚精胺并非只存在于精液中,它也存在于人体其他组织,例如卵巢。近年来,越来越多的研究表明,亚精胺具有神奇且强大的抗衰老功效,并且可以改善年龄相关卵巢功能下降和生育力受损。
因此,禁食、热量限制及亚精胺延长了模式动物的寿命,并激活了系统发育保守的、自噬依赖性的老年保护作用。在这项最新研究中,研究团队进一步探索了间歇性禁食的老年保护作用是否与亚精胺有关或依赖于亚精胺。
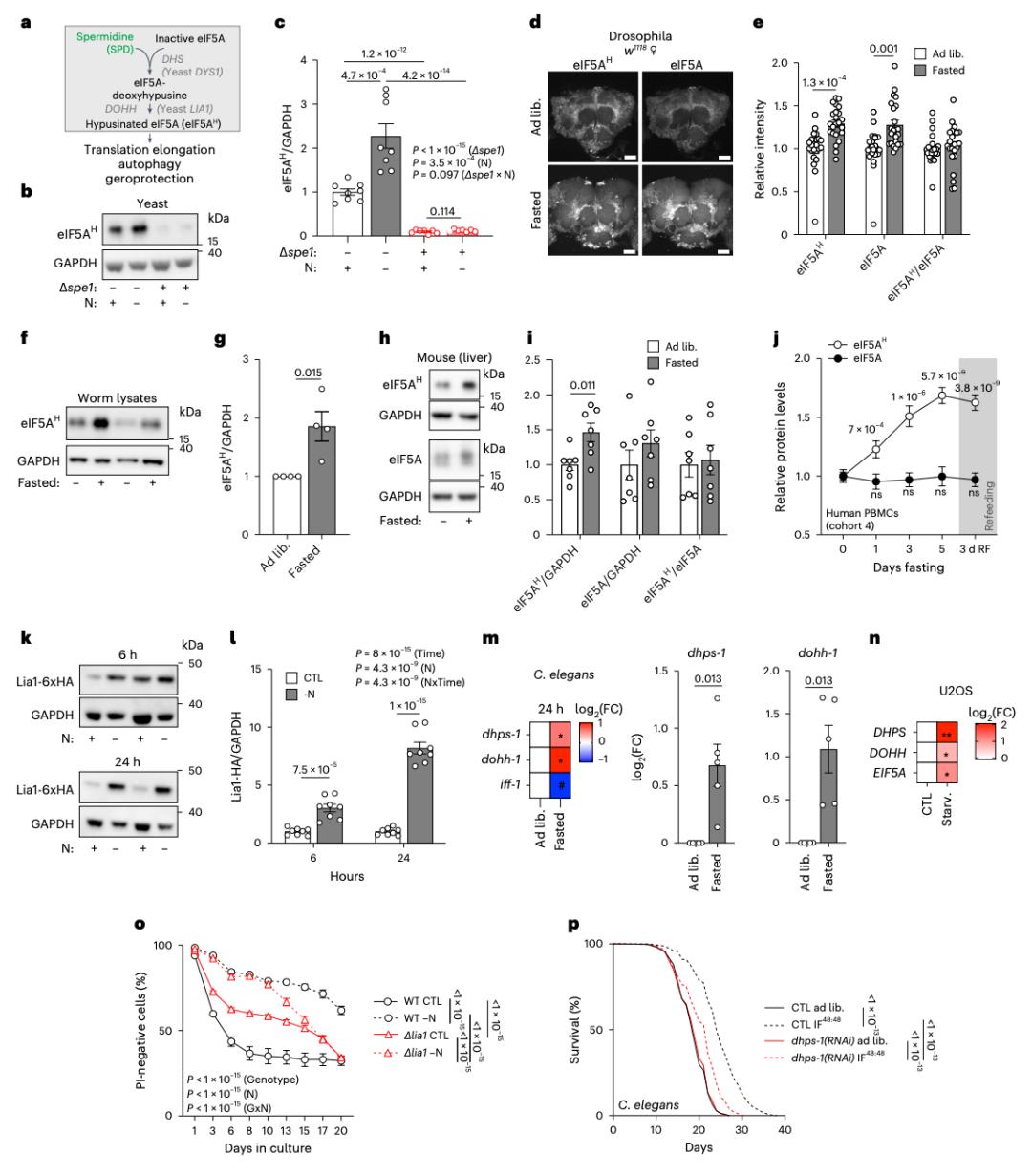
研究团队发现,在酵母、果蝇、小鼠和人类中,亚精胺水平在不同的禁食或热量限制方案下水平增加。而基因或药物阻断内源性亚精胺合成,会减少酵母、线虫和人类细胞中禁食诱导的自噬。此外,干扰体内多胺通路,可消除禁食对寿命和健康寿命的延长作用,以及禁食对心脏的保护作用和抗关节炎作用。
阻断多胺合成,可减弱间歇性禁食对小鼠健康寿命的延长在机制上,亚精胺通过诱导自噬和真核生物翻译起始因子eIF5A的羟丁赖氨酸修饰(hypusination)介导这些效应。在禁食介导的自噬增强和延长寿命中,多胺-hypusination轴是一个系统发育保守的代谢调控枢纽。
eIF5A-hypusination修饰作用于亚精胺下游,介导间歇性禁食相关长寿总的来说,该研究表明,在多个物种中,禁食对寿命和健康寿命的改善,部分依赖于亚精胺依赖的eIF5A-hypusination修饰和随后的自噬诱导。
论文链接:
https://www.nature.com/articles/s41556-024-01468-x
阅读原文本文为澎湃号作者或机构在澎湃新闻上传并发布,仅代表该作者或机构观点,不代表澎湃新闻的观点或立场,澎湃新闻仅提供信息发布平台。申请澎湃号请用电脑访问http://renzheng.thepaper.cn。





- 报料热线: 021-962866
- 报料邮箱: news@thepaper.cn
互联网新闻信息服务许可证:31120170006
增值电信业务经营许可证:沪B2-2017116
© 2014-2026 上海东方报业有限公司




