- +1
心血管疾病PCCT临床价值: 心肌灌注、组织特征、脂肪与放射组学
原创 赵喜同学 XI区
计算机断层扫描(CT)是一种强大的诊断成像工具,在检测、表征和监测各种医学状况中发挥关键作用。传统的单能量CT主要用于解剖和形态评估,依赖于对比周围结构的定性评估,并且图像质量与选定的能量水平直接相关。相比之下,能谱CT超越了这些限制:它能够在多个能量水平或波长上获取和分析数据,从而根据材料的独特能量依赖性衰减特性进行区分。能谱信息的材料分解提供了组织成分的详细信息,显著改善了组织的表征能力,大大增强了诊断的精确性和全面性。此外,能谱CT还能精确评估组织中的碘浓度,并通过从增强对比图像中减去碘特异性信息,使解剖结构的可视化更为清晰,进一步提高了解剖图像的质量。双能量CT扫描(DECT)是能谱CT的重要进展,通过获取高和低能量水平的数据集,DECT克服了传统CT的局限性。光子计数CT(PCCT)则是一种全新的能谱成像技术,其光子计数探测器(PCD)通过计数单个光子并直接测量其能量,超越了传统的能量积分探测器,为X射线数据的获取和处理提供了独特的方法。
上一篇我们了解了光子计数CT的基本原理,以及在冠脉疾病中的价值(参见XI区:),今天我们继续聊聊光子计数CT在心血管疾病中的应用:
心肌灌注
能谱CT最引人注目的能力之一是利用不同kV水平下碘造影剂的吸收特性来创建心肌碘分布图。心肌碘浓度被认为是心肌灌注的有用替代标志物,可以通过每体素内的碘量来定量化心肌血池。这些碘分布通常以色彩编码图的形式展示,反映了整个心肌各段的碘分布,遵循美国心脏协会(AHA)的模型。随后,可以从这些图中提取相对标准化的心肌衰减密度和组织灌注比率(TPR)。进行的DECT心肌灌注研究在静息和负荷协议下与各种参考模式相比显示出良好的准确性。
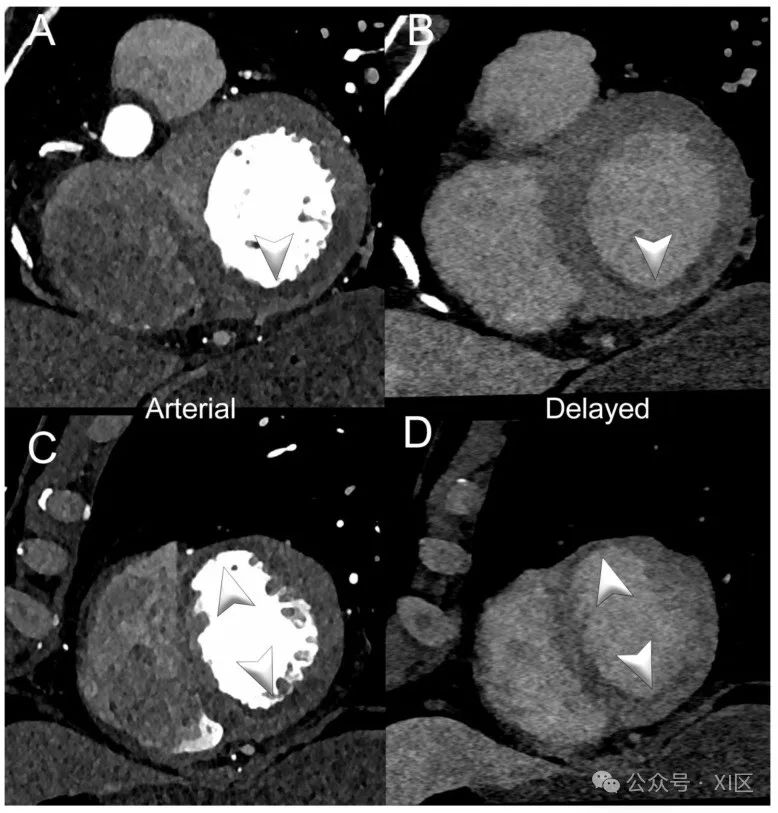
图3和图4展示了左心室缺血的PCCT示例。
图3 心脏/冠状动脉能谱PCCT示例,显示亚急性左心室缺血。图中展示了一位患有近期急性心肌梗死的患者,其右冠状动脉和左前降支冠状动脉领域的能谱CTA。A,B显示左心室(LV)基底短轴视图,分别为动脉/血管造影相位(A)和延迟相位(B);C,D显示LV心尖部位的相同信息。箭头指示多个LV段的低灌注(早期和延迟)。延迟相位采用了能谱采集和40 KeV重建。扫描使用商用全身双源PCCT扫描仪(NAEOTOM Alpha,Siemens Healthineers)进行,层厚为0.2/0.4mm,重建间隔为0.1/0.2mm,FOV 140–160mm,源轴向重建的分辨率矩阵为512 × 512/1024 × 1024,使用Bv48-60卷积核和最大强度的量子迭代重建(QIR 4);扫描采用回顾性心电门控和管电流调制。显示的空间分辨率为0.1/0.20mm。
图4 心脏/冠状动脉能谱PCCT示例,显示慢性左心室缺血。图中展示了一位接受心脏CT评估冠状动脉疾病的患者,在回顾性休息时表现出冠状动脉周围(LV侧壁)的延迟灌注。A显示左心室(LV)中基底短轴视图,为动脉/血管造影相位;B显示相同投影的碘分布;C显示具有色彩编码LV图的标准图像;D显示与虚拟平扫/碘叠加映射的相同投影。箭头在每个图中指示LV侧壁的明显灌注延迟(早期)。延迟相位采用了能谱采集和40 keV重建。扫描使用商用全身双源PCCT扫描仪(NAEOTOM Alpha,Siemens Healthineers)进行,层厚为0.2/0.4mm,重建间隔为0.1/0.2mm,FOV 140–160mm,源轴向重建的分辨率矩阵为512 × 512/1024 × 1024,使用Bv48-60卷积核和最大强度的量子迭代重建(QIR 4);扫描采用回顾性心电门控和管电流调制。显示的空间分辨率为0.1/0.20mm。一项模体研究显示,PCCT在碘图的碘定量和虚拟单色成像的CT值生成方面具有良好的准确性。
在最近的病例报告中,一名61岁男性出现急性胸症状,PCCT导出的双能碘图显示下后侧壁碘浓度减少。这一观察表明该区域血供不足,并通过CMR确认,在同一区域显示了小的缺血性透壁瘢痕。
心肌组织特性
组织成分的变化是影响心肌的各种疾病的标志。这些变化包括心肌纤维化的发展、水肿的存在,或铁、脂肪或淀粉样物质的浸润到心脏中。
心肌纤维化主要有两种形式——间质性纤维化和替代性纤维化。
间质性(弥漫性)纤维化涉及胶原和其他细胞外基质成分在间质空间中异常积累,由非缺血性或浸润性心肌病引起。心肌细胞外体积(ECV)的定量化提供了一种非侵入性手段,用于测量整个心肌中存在的细胞外基质比例,因此被用作间质性纤维化的替代标志物。心脏磁共振(CMR)被广泛认为是非侵入性ECV评估的“金标准”,但最近CT的ECV定量化已经成为一种强大且可靠的替代方法。与CMR相比,CT的主要优势包括较低的成本、更广泛的可用性、快速的扫描速度、能够生成具有高分辨率和等体素的体积三维图像数据,以及在有金属植入物或装置的患者中增加的图像质量和可读性。ECV定量化依赖于确定造影剂(CMR中的钆和CT中的碘)在心肌和血池血浆部分之间浓度比的比率。在传统EID中,目前使用两种不同的方法来量化ECV。单能量或减法方法要求获取平扫图像和延迟增强(LE)图像,对比剂注射后3至5分钟获取。使用亨斯菲尔德单位(∆HU)的差异来评估对比剂的分布,公式为ECV = (1 − 血细胞比) * (∆HU心肌/∆HU血池)。该方法已通过与CMR和组织病理学的验证。在双能量CT中,通过同时使用两种不同kV和mA设置获取的LE扫描进行的能谱分离数据允许材料分解。造影剂注射后心肌和血池中的碘分布平衡可以直接在从延迟增强扫描获取的碘图上量化。能谱成像获取的ECV计算公式为:ECV = (1 − 血细胞比) * (心肌碘/血池碘)。这种方法不需要平扫采集,并且在手动追踪感兴趣区域的过程中免于配准问题。已经证明DECT和CMR量化的ECV之间存在良好的一致性,尽管DECT倾向于稍微高估。Mergen等人的研究首次在体内证明了PCCT低辐射剂量下量化ECV的可行性。在30名严重主动脉瓣狭窄患者的队列研究中,单能量和双能量导出的ECV测量显示了强相关性,平均差异小于0.9%,限度较窄。研究人群的平均体重指数为28 ± 5 kg/m2,LE扫描的中位辐射剂量为1.2 mSv。这一辐射剂量远低于最近使用EID-CT系统进行ECV量化的研究报告的剂量——4.7 mSv或5.2 mSv。Aquino等人的研究,包括29名接受PCCT扫描的患者,证实了双能量和单能量基础的ECV测量之间的强关联性,并展示了双能量方法能够降低40%的辐射暴露。重要的是,与CMR相比,减影法和能谱方法显示出了ECV量化的强相关性和高可靠性。
替代性(瘢痕)纤维化通常在疾病后期发展,伴随不可逆的心肌细胞死亡或损伤。心肌延迟增强CT在评估心肌瘢痕组织方面显示出了潜力。图5展示了左心室慢性心肌梗死的PCCT示例。然而,延迟钆增强CMR仍然是这一目的的参考标准模式,得益于增强度对比优势和能够清晰区分健康心肌和瘢痕组织的能力。在一只心肌梗死的犬模型中,Symons等人表明PCCT能够以极高的清晰度区分两种对比剂(碘和钆基)。钆、碘和软组织图的整合使作者们能够在梗死心肌、远端心肌和左心室血池之间实现优秀的对比度。PCCT结果与组织病理学和CMR的比较确认了对瘢痕组织的准确描绘。
图5 左心室慢性梗死后心肌病的能谱心脏/冠状动脉PCCT示例。该图显示一名接受心脏CT检查以评估冠状动脉疾病状态和左心室(LV)存活性的患者(A–D)。A显示心脏左室长轴二腔视图,显示了LV前壁广泛近全层缺血性延迟增强;B–D显示LV在基底部、中部和心尖部的短轴视图。延迟相使用了能谱采集和40 KeV重建;患者还有一个心脏内装置;然而,从安全性或图像质量方面看,没有任何问题。扫描采用商用全身双源PCCT扫描仪(NAEOTOM Alpha,Siemens Healthineers)。层厚为0.2/0.4mm,重建间隔为0.1/0.2mm,FOV为140–160mm,在轴位重建上的分辨率矩阵为512 × 512/1024 × 1024,使用Bv48-60的卷积核和最大强度的量子迭代重建(QIR 4);扫描采用回顾性心电门控和管电流调制。显示的空间分辨率为0.1/0.20mm。心外膜和冠周脂肪
心外脂肪组织(EAT)是指位于心肌和心包脏层之间的脂肪沉积物。冠周脂肪组织(PCAT)则特指环绕冠状动脉的脂肪组织。这些脂肪堆积具有代谢活性,并与冠状动脉疾病及高危斑块的发展有关。此外,PCAT已被证明是血管炎的标志物,具有显著的预后价值。通过使用不同方法,包括量化脂肪组织的厚度、体积和衰减,可以评估脂肪组织成分的变化。
Risch等人进行的在体研究表明,从PCCT数据集派生的VNC重建提供了评估EAT体积的可靠方法。与传统TNC重建相比,显示出很强的相关性和仅有的轻微差异,并且还额外具备显著减少患者辐射剂量的优势。此外,在研究中开发的纯钙算法显示,在估计EAT体积时比传统算法获得更好和更均匀的结果。
Mergen及其团队研究了在30名患者中使用第一代全身PCCT系统测量PCAT时单能量能量水平的影响。他们发现,随着能量水平的增加,环绕右冠状动脉、左前降支动脉和回旋支动脉的PCAT质量衰减增加,平扫和增强扫描之间的平均衰减差异减少。
放射组学
放射组学是一种对医学成像进行定量分析的方法,其基本假设是生物医学图像包含疾病特异性机制的复杂信息,这些信息对人眼不可见,并且无法通过传统的视觉检查获得。它涉及高通量提取和分析大量的定量特征,包括纹理信息。由于提取可靠且富有见地的纹理特征依赖于最佳的空间分辨率和信噪比,PCCT有可能改善基于CT成像数据的放射组学分析。
Ayx等人比较了从人心中提取的PCCT和传统CT的放射组学特征。发现在描绘图像强度基本统计属性的一阶放射组学特征中存在较高的相似性。相反,捕捉图像内更复杂模式和关系的高阶放射组学特征则显示出显著差异。在另一项包括30名患者的在体研究中,同一团队使用PCCT数据集检查了与CAC评分相关的心肌变化。使用四种基于放射组学的纹理特征可以实现区分有和无冠状动脉钙化的患者。此外,纹理特征复杂度增加与Agatston分数增加之间的直接关系表明,随着钙化负担的增加,心肌纹理变得更加异质性,并且在结构模式中显示更高的方差。
Dunning等人的研究中,19名患者进行了CCTA,使用PCCT和50 keV、70 keV和100 keV的VMI,以及VNC图像和碘地图的重建。从每张图像中提取了一套全面的93个放射组学特征,并随后在专家放射科医生识别的低风险和高风险斑块之间进行了比较。100 keV的VMI和VNC图像在分类冠状动脉斑块风险方面显示出最高的准确性,因为这些图像中碘和钙的存在减少了。
结论
光子计数CT扫描具有革命性地改进心血管成像和提高患者护理和预后的潜力,通过提供详细和高质量的诊断信息,并提供前所未有的机会,用于识别、表征和分期心血管疾病。
尽管描述PCCT临床应用的出版物数量正在迅速增长,但它们仍然有限。此外,现有研究主要特点是样本量小,并且没有进行纵向跟踪分析,评估PCCT在预后和风险分层方面相对于传统CT的附加价值。更广泛的采用和开展大型横断面和前瞻性临床研究是充分实现这一变革性技术在临床实践中潜力的关键。
更多干货,关注XI区!
文献原文:Meloni A, Maffei E, Clemente A, De Gori C, Occhipinti M, Positano V, Berti S, La Grutta L, Saba L, Cau R, Bossone E, Mantini C, Cavaliere C, Punzo B, Celi S, Cademartiri F. Spectral Photon-Counting Computed Tomography: Technical Principles and Applications in the Assessment of Cardiovascular Diseases. J Clin Med. 2024 Apr 18;13(8):2359. doi: 10.3390/jcm13082359. 仅供专业人士交流目的,不用于商业用途。
2024年9月9日
本文为澎湃号作者或机构在澎湃新闻上传并发布,仅代表该作者或机构观点,不代表澎湃新闻的观点或立场,澎湃新闻仅提供信息发布平台。申请澎湃号请用电脑访问http://renzheng.thepaper.cn。





- 报料热线: 021-962866
- 报料邮箱: news@thepaper.cn
互联网新闻信息服务许可证:31120170006
增值电信业务经营许可证:沪B2-2017116
© 2014-2026 上海东方报业有限公司




