- +1
医学科普|12组高清动图,带你认识真实的心脏!
2024-10-18 11:51
来源:澎湃新闻·澎湃号·政务
字号
2024年世界心脏日主题为“心行合一(USE HEART,FOR ACTION)”。
为促进全球心血管疾病的预防,共享和传播心血管疾病预防的最新资讯,控制全球心脏病和脑卒中的发生,世界心脏联盟于1999年设立了“世界心脏日”。自2011年起,定为每年9月29日。
保护心脏健康,从了解开始。
12组动图
带你认识真实的心脏!
01
心脏跳动模拟
02核磁下的心脏跳动图
03胸腔器官动态CT显示
04超声下的心脏跳动图


05真实的心脏跳动示意图
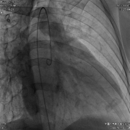
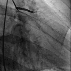
06造影下的心脏

07心脏电激动过程



08心脏泵血图


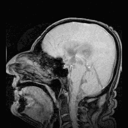
09核磁共振下,脑脊液随心跳搏动
10三维动态血管成像
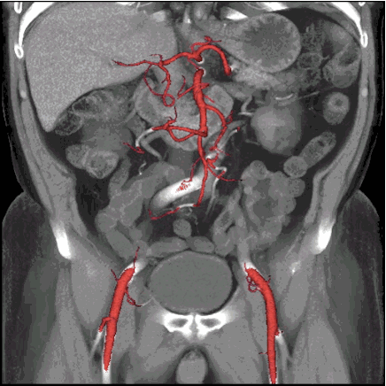
11动态CT下的腹部血管成像
12心脏跳动三维透视图
三大指标关注心脏健康!
心脏健康需要我们重点关注三大指标:
#
血压
#
胆固醇
#
血糖
下面我们来看看这三大指标,为什么它们很重要。



心脏是生命之根本,拥有健康的心脏,
才能拥有健康人生!
责任编辑 | 张珊珊 特约编辑 | 江文诗 吴玥
编辑 | 陈雪楠 顾若彤
原标题:《医学科普|12组高清动图,带你认识真实的心脏!》
特别声明
本文为澎湃号作者或机构在澎湃新闻上传并发布,仅代表该作者或机构观点,不代表澎湃新闻的观点或立场,澎湃新闻仅提供信息发布平台。申请澎湃号请用电脑访问http://renzheng.thepaper.cn。
+1
收藏
我要举报





查看更多
澎湃矩阵
新闻报料
- 报料热线: 021-962866
- 报料邮箱: news@thepaper.cn
互联网新闻信息服务许可证:31120170006
增值电信业务经营许可证:沪B2-2017116
© 2014-2026 上海东方报业有限公司
反馈




