- +1
复旦大学惊人发现:仅3天的厨房烹饪油烟,就能引起肺炎和损伤肠道
原创 Swagpp 梅斯医学
所谓民以食为天,中国人对家的热爱,可能有一半都倾注在了厨房里。在传统中国人的厨房中,无论是最常见的烹饪方式爆炒、煎炸,还是偶尔做个大餐会使用到的烧烤、油焖,这些方式带来了无数的色香味俱全的美味佳肴,但同时也存在着浓浓的烟火气。
当然,说得好听点是“烟火气”,其实就是烹调油烟(COFs)。COFs由烹调油或食物成分在高温烹饪过程中热分解或热解产生的颗粒物和气体物质组合而成,是室内空气污染物的主要来源之一。
COFs中含有多种有害物质,比如多环芳烃、丙烯醛等,长期吸入可能会对人体健康造成损害。调查数据显示,非吸烟者的肺癌发病率增加了2倍,背后的主要致病因素便是COFs。《柳叶刀》上曾刊登过一篇全球性的调研评估,将厨房烟雾污染列为重大健康问题隐患,排序仅次于高血压、抽烟和酗酒。
近日,来自复旦大学的研究团队从元基因组学、转录组学和代谢组学等多方面揭露了COFs的“邪恶嘴脸”。仅仅3天时间,吸入COF就能诱发肺部炎症,并导致胃肠道功能紊乱;持续7天的暴露会破坏肠道微生物群并改变色氨酸代谢;而14天之后则会观察到进一步变化(适应性反应)。
也就是说,COFs的健康危害不局限于呼吸系统,还会“流窜”至远端器官肠道,影响全身健康。没想到啊没想到,竟然被“烟火气”背刺了!
doi: 10.1021/acs.est.4c06035COFs由复旦大学的烹调油烟形成与暴露设备(COFFEE)产生,该设备包括了四个部分:COF生成系统、通风管道、动物暴露仓以及采样和监测管道。
考虑到大豆油的广泛使用以及加热大豆油能产生“典型”的COFs,研究者选用了加热大豆油来产生COFs。整个加热过程中,油温保持在200°C左右,产生的PM2.5浓度为23-30mg/m3。
为了复刻人类短期暴露于COFs的情况,研究者将实验小鼠连续14天暴露于COFs中,每天2次(每日上午9点和10点),每次持续30分钟。其中,30分钟包括了加热100mL大豆油并产生COFs的20分钟,以及停止加热后的10分钟。
COFFEE设备情况在小鼠接触COFs的第0、3、7、14天,研究者分别记录下小鼠的多组学情况变化。
仅仅3天的暴露,研究者就观察到小鼠体内的炎症标志物的水平变化。具体来说,随着暴露时间的增加,肺部的白介素IL-6水平持续增加,并在第3天达到峰值;而IFN-γ水平在第1和2天几乎不变,但第三天开始出现“跃升”。
事实上,IL-6和IFN-γ均是炎症反应的关键调节因子,在促进和抑制炎症的过程中都发挥着重要作用。同时,这些细胞因子的上调与炎症反应的严重程度直接相关,即IL-6和IFN-γ的水平越高,意味着越严重的炎症反应。
但炎症标志物水平的变化并不局限于肺部,研究者还在肠道组织中观察到了IFN-γ水平的升高。不过值得注意的是,COFs虽然引起了小鼠肠道内炎症反应调节因子的升高,但它并不是导致炎症性肠病(IBD)的直接原因,而可能是通过促炎机制增加了IBD的发生风险。
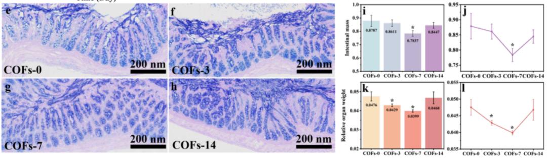
暴露于COFs的小鼠的炎症标志物水平随着暴露于COFs的时间不断延长,小鼠肠道组织的病理学损伤也越来越明显。与暴露前相比,暴露第3天后,肠道脂肪有所减少,且略有紊乱;到了COFs暴露的第7天,肠道脂肪表现出严重的解离,同时杯状细胞的凝聚性也明显受损,与IBD的临床症状一致。
然而,有意思的是,到了第14天,研究者却观察到了肠道脂肪细胞的聚集,说明小鼠肠道可能出现了适应性改变。
器官重量的变化被广泛认为是化学物质对器官造成损伤的高敏感指标之一。于是,研究者进一步测量了不同暴露时间下肠道质量的差异,发现了类似的现象:和基线相比,暴露COFs第3天和第7天之后,小鼠的肠道质量和相对器官重量均显著降低;但到了第14天却出现了“反弹”。
不同COFs暴露时间下肠道切片特征区别研究者进一步对小鼠进行了宏基因组分析、肠道菌群分析和色氨酸代谢分析,从多方面确认了厨房烹饪油烟诱发肠道疾病IBD的机制。
1)基因组学改变:
对IBD的基因组学检测发现,随着暴露于COFs的时间不断增加,与IBD息息相关的TLR5、MHCII、TCR、IL12Rβ1和TLRs等基因表达出现了明显的变化。
举例来说,MHCII是一种有助于提升肠道消化能力、抵御IBD压力的重要基因,其介导的抗原呈递是推动CD4+ T细胞协调免疫反应的基础。在基线时,MHCII的表达为50%;但到了第3天时,竟然没有表达;不过,到了第7天和第14天时,MHCII表达回到了12.5%。
IBD生物特异性通路图以及不同暴露时间下小鼠的IBD基因表达2)肠道菌群分析:
对暴露于COFs小鼠的肠道菌群进行分析发现,从基线到第3天和第7天,肠道菌群种类的总计数从最初的119减少到109和62,但第14天稍稍反弹回了97。
而具体到特有的细菌群发现,随着暴露时间的不断增加,多种肠道菌群的丰度均表现出不同程度的变化。
比如:在暴露于COFs的第3天,Lactobacillus、Bacillus和Escherichia-Shigella的数量显著增加,但Dubosiclla、Bifidobacterium和Munribaculaceae的数量却有所减少。事实上,Lactobacillus和Escherichia-Shigella这两种肠道菌有助于蛋白质降解并增强对肠炎的抵抗力,同时Bacillus是一种能有效减轻由肠炎引起的应激症状的益生菌。换言之,在COFs诱导IBD的早期阶段,肠道微生物群的组成发生了明显的变化,以抵抗与IBD相关的应激。
但到了第7天,研究者观察到Lactobacillus的数量显著增加,但伴随着其他细菌物种的丰度减少,甚至某些肠道菌群直接“消失”。这些变化与IBD相关基因表达的发现一致,暗示着暴露于COFs的7天后诱发了严重的IBD。
不过在14天的暴露后,肠道微生物群物种的丰度又略有增加,可见IBD在14天后略有缓解。
肠道菌群分析情况3)色氨酸代谢分析:
色氨酸代谢可作为IBD发展的实时指标,与IBD有着千丝万缕的联系。研究者发现,在COFs的影响下,肠道微生物群的组成发生了变化,进一步导致色氨酸的微生物代谢产生改变,包括:色氨酸-3-乙酸和3-甲基吲哚的表达水平升高。
COFs引起IBD的机制综上所述,烹饪油烟是室内污染物的主要来源之一,先前被认为与呼吸系统疾病有关。而这项研究继续向下挖掘,研究者发现吸入的环境污染物还会对远端器官产生影响,即COFs会诱导IBD相关的基因表达增加,而这些改变受到肠道菌群的影响并进一步导致色氨酸代谢发生改变。
因此,你以为闻着很香的“烟火气”,本质上却是健康刺客——不仅会损害肺部健康,还可能会进一步产生全身影响。
但人是铁饭是钢,做饭总归是要做的,最好的办法就是“做饭时保证良好的通风”。先前Science子刊上的研究推荐:在做饭时一定要打开厨房里窗户,保持良好的通风,同时将抽油烟机开到最大功率,或能在更短的时间内降低NO2、苯以及烹饪油烟中其他有害物的浓度。
参考资料:
[1]Bhurosy T, Marium A, Karaye IM, Chung T. Where there are fumes, there may be lung cancer: a systematic review on the association between exposure to cooking fumes and the risk of lung cancer in never-smokers. Cancer Causes Control. 2023 Jun;34(6):509-520. doi: 10.1007/s10552-023-01686-y. Epub 2023 Apr 8. PMID: 37031313.
[2]卜云峰,蓝式贤.烹饪油烟对人体健康危害研究[J].中国食品工业,2022(12):112-114+119.
[3]Liu B, Wang G, Wang L, Yan J, Zhu K, Liu Q, Zhao J, Jia B, Fang M, Rudich Y, Morawska L, Chen J. Unraveling Cross-Organ Impacts of Airborne Pollutants: A Multiomics Study on Respiratory Exposure and Gastrointestinal Health. Environ Sci Technol. 2024 Sep 3;58(35):15511-15521. doi: 10.1021/acs.est.4c06035. Epub 2024 Aug 15. PMID: 39145585.
撰文 | Swagpp
编辑 | Swagpp
● ● ● 版权说明:梅斯医学(MedSci)是国内领先的医学科研与学术服务平台,致力于医疗质量的改进,为临床实践提供智慧、精准的决策支持,让医生与患者受益。欢迎个人转发至朋友圈,谢绝媒体或机构未经授权以任何形式转载至其他平台。
本文为澎湃号作者或机构在澎湃新闻上传并发布,仅代表该作者或机构观点,不代表澎湃新闻的观点或立场,澎湃新闻仅提供信息发布平台。申请澎湃号请用电脑访问http://renzheng.thepaper.cn。





- 报料热线: 021-962866
- 报料邮箱: news@thepaper.cn
互联网新闻信息服务许可证:31120170006
增值电信业务经营许可证:沪B2-2017116
© 2014-2026 上海东方报业有限公司




