- +1
滤泡性淋巴瘤耐药不再难治!瑞金医院双靶向疗法显神威
原创 转网 转化医学网
【导读】免疫调节剂来那度胺能有效治疗滤泡性淋巴瘤(FL)。团队在中国首次开展了免疫疗法利妥昔单抗联合来那度胺治疗新诊断FL的试验。2025年1月20日,上海交通大学医学院附属瑞金医院Zhao Wei-Li教授团队在期刊《Signal Transduction and Targeted Therapy volume》上发表了题为“Dual targeting PD-L1 and 4-1BB to overcome dendritic cell-mediated lenalidomide resistance in follicular lymphoma”的研究论文。团队发现,患者较差的无进展生存期与血清β2m升高和淋巴结>6厘米明显相关,这与淋巴瘤细胞自噬能力下降和肿瘤微环境中树突状细胞浸润有关。PU.1通过PD-1/PD-L1-和4-1BB/4-1BBL介导的微环境调节作用,对FL的免疫调节作用至关重要。在FL治疗的无化疗时代,PD-L1和4-1BB双靶向可能是一种替代性免疫治疗策略。
https://www.nature.com/articles/s41392-024-02105-7关于滤泡性淋巴瘤
01
滤泡性淋巴瘤(FL)是全球最常见的非霍奇金淋巴瘤,占成人淋巴瘤的15-25%,每年发病率为3-5/100,000。虽然FL曾被认为是不治之症,但在过去的几十年里,抗CD20单克隆抗体利妥昔单抗的使用和含蒽环类化疗的开发大大改善了FL患者的预后。目前,FL患者的中位生存期接近20年,但随着耐药性的增加,大多数患者的病情会反复复发。利妥昔单抗加免疫化疗(R-chemo)有相当大的副作用,尤其是血液学毒性和非血液学免疫抑制、胃肠道和心脏事件。作为一线免疫化疗的替代方案,RELEVANCE试验的主要随访数据表明,无化疗的利妥昔单抗加来那度胺(R2)用于治疗新诊断的FL,具有相似的临床疗效。
在这项研究中,团队在中国开展了首个临床试验,评估利妥昔单抗联合来那度胺治疗新诊断的FL。研究发现,DC是导致R2治疗的FL患者疾病进展的关键微环境因素。此外,团队还利用体外和体内模型探讨了DC在FL肿瘤微环境中的生物学作用和治疗意义,为无化疗时代的FL治疗提供了双重靶向PD-L1和4-1BB的临床依据。
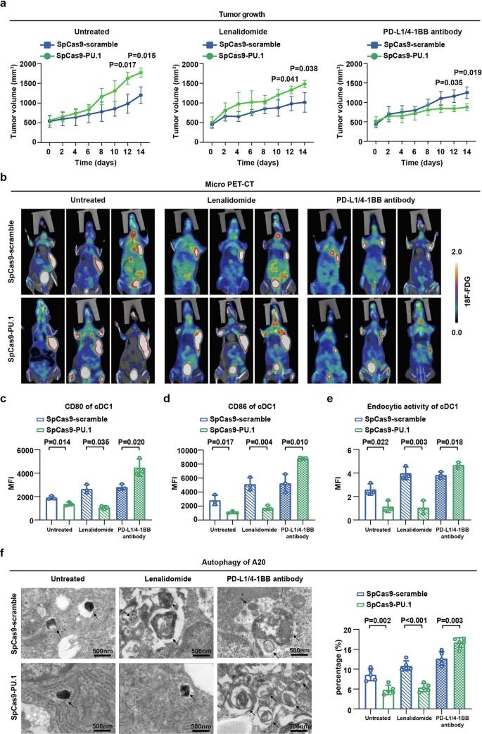
PD-L1和4-1BB抗体联合治疗,对PU.1改变的小鼠异种移植模型具有体内抗淋巴瘤活性
02
SpCas9-PU.1肿瘤的大小明显大于SpCas9-scramble肿瘤。与来那度胺组相比,PD-L1和4-1BB抗体联合治疗对SpCas9-PU.1组具有抗淋巴瘤活性。使用小动物PET/CT对肿瘤进行成像。与体外研究一致,无论来那度胺治疗与否,SpCas9-PU.1组cDC1的成熟度和内细胞活性均显著降低,而PD-L1和4-1BB抗体联合治疗后,cDC1的成熟度和内细胞活性均升高。与SpCas9-scramble组相比,无论来那度胺治疗与否,SpCas9-PU.1组淋巴瘤细胞的自噬作用都会降低,而PD-L1和4-1BB抗体联合治疗则会增强。因此,PU.1改变的B淋巴瘤细胞会产生来那度胺耐药性,而PD-L1和4-1BB抗体联合治疗可以通过调节PD-1/PD-L1和4-1BB/4-1BBL介导的淋巴瘤细胞与DC的相互作用来克服这种耐药性。
PD-L1和4-1BB抗体联合治疗,对PU.1改变的小鼠异种移植模型具有体内抗淋巴瘤活性。总结
03
1. R2方案(利妥昔单抗+来那度胺)的有效性和安全性:R2方案是一种有效的无化疗免疫治疗方案,适用于滤泡性淋巴瘤(FL)的一线治疗,具有持久的安全性;在单臂试验中,46名可评估患者中有45人应答,CR(完全缓解)率为87%,主要不良反应为中性粒细胞减少症;在多中心II期试验中,CR率为72%,总反应率为95%,毒性反应可耐受。
2. 肿瘤微环境(TME)与R2治疗的关联:TME成分与R2治疗的FL患者的生存率相关;高比例的CD4+T细胞与CD8+T细胞、PD-1阳性肿瘤浸润T细胞数量增加与较短的PFS(无进展生存期)相关;高水平的GATA3+T辅助细胞与良好的预后相关。
3. 临床危险因素对来那度胺免疫疗法的影响:血清β2m(β2微球蛋白)升高和淋巴结>6cm等临床危险因素与来那度胺免疫疗法的不良反应相关。
4. 肿瘤微环境中的树突状细胞(DC)与耐药性:DC的改变对FL的来那度胺耐药性有预后影响;转录因子PU.1通过调节淋巴瘤细胞与TME的相互作用,可能诱发淋巴瘤进展;PU.1与淋巴瘤细胞上PD-L1和4-1BBL的表达显著相关,PU.1下调PD-L1并上调4-1BBL,启动DC浸润,并通过免疫检查点相互作用诱导抗肿瘤免疫。
5. 免疫检查点与治疗策略:DC通过抗原呈递和细胞-细胞相互作用为多种肿瘤提供免疫调节信号;单核细胞衍生的DC与利妥昔单抗联合治疗复发/难治FL患者显示出50%的总反应率;PD-1抗体pembrolizumab联合利妥昔单抗在复发/难治FL患者中显示出良好的疗效,CR率为50%,总反应率为67%,中位PFS为12.6个月;4-1BB激动剂抗体联合利妥昔单抗的总体反应率为19.1%。
6. 双特异性抗体的作用机制和潜力:双特异性PD-L1/4-1BB抗体(如ATG-101和GEN1046)显示出显著的抗肿瘤活性,通过提高细胞因子水平(如IFNγ和CXCL10)和促进DC亚群比例,增强DC与T细胞的相互作用;这些抗体通过PD-L1交联依赖性方式激活4-1BB+免疫细胞,产生肿瘤微环境的正反馈环路。
7. 来那度胺的免疫调节作用:来那度胺可促进单核细胞分化为未成熟的DC,并激活成熟DC,增强其抗原呈递能力;来那度胺耐药性可能与自噬功能下降有关,PD-1/PD-L1阻断和4-1BB/4-1BBL刺激可作为新型自噬调节剂。
本文为澎湃号作者或机构在澎湃新闻上传并发布,仅代表该作者或机构观点,不代表澎湃新闻的观点或立场,澎湃新闻仅提供信息发布平台。申请澎湃号请用电脑访问http://renzheng.thepaper.cn。





- 报料热线: 021-962866
- 报料邮箱: news@thepaper.cn
互联网新闻信息服务许可证:31120170006
增值电信业务经营许可证:沪B2-2017116
© 2014-2026 上海东方报业有限公司




