- +1
损伤防治:急慢性跟腱损伤
原创 积极科普的 公济运动医学
跟腱是位于小腿与足跟之间的一条强大肌腱,由腓肠肌和比目鱼肌的肌腱融合而成,全长约15厘米,是人体最粗大、最强壮的肌腱之一。它的主要功能是使小腿弯曲和使踝关节跖屈,是下肢运动的关键结构。常见的跟腱疾病主要包括:跟腱炎、跟腱Haglund综合征和跟腱断裂。
一、跟腱炎
跟腱炎示意图1、跟腱炎发生的原因是什么?
跟腱炎通常发生在经常跑步和跳跃的运动员身上。常见诱因包括过度运动、热身不足、慢性炎症、既往外伤,以及生理结构问题如扁平足、先天跟腱短缩等。正确的运动习惯与充分训练通常能有效预防其发生。
2、跟腱炎有什么症状?
跟腱炎的典型症状包括早晨起床时足后跟或脚踝的疼痛感,尤其是运动后次日更为明显。还可能观察到足后跟区域的增厚、肿胀,严重时可伴有骨质增生,影响足后跟的正常功能。
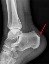
跟腱炎的不同位置跟腱炎通常发生在跟腱止点处或跟腱的中段。跟腱反复微创伤,会引起肌腱钙盐沉积,导致跟腱钙化。跟腱钙化后,可能出现不能长时间站立、走路疼痛、跟腱水肿等症状。
跟腱钙化(X光片)3、患有跟腱炎该怎么办?
面对跟腱炎,首要任务是保持耐心,认识到其恢复往往需时数月。以下是关键的应对步骤:
立即停止训练:避免进一步损伤,给予跟腱充分休息。
冰敷处理:使用冰水混合物冰敷跟腱,每次不超过20分钟,以减轻肿胀和疼痛。
肌内效贴辅助:利用网状剪裁的肌内效贴固定肿胀部位,促进消肿并预防再损伤。
放松与按摩:对小腿肌肉进行拉伸和按摩,以缓解肌肉紧张,降低跟腱压力。
放松小腿肌肉康复的关键在于重建正确的运动模式,特别是通过小腿三头肌的离心收缩训练。具体操作如下:
训练方法:利用踏板或台阶,前脚掌置于其上,缓慢、平稳地让足跟下降至低于踏板平面约3-5秒,随后提起足跟重复动作。每分钟约10次,每日进行3分钟。可选择伸直或弯曲膝盖进行,分别针对腓肠肌与比目鱼肌进行锻炼。
注意事项:确保动作在无痛范围内进行,根据个人情况调整训练强度与组数。
小腿三头肌离心收缩训练二、Haglund综合征
1、Haglund病的表现是什么?
Haglund病,也称为“跟骨后滑囊炎”,表现为跟骨后上部的异常突起。这一区域与跟腱之间的滑囊,在长期的机械摩擦下,会产生炎症反应,导致疼痛、肿胀甚至局部温度升高。患者常在行走、跑步或穿着硬质鞋具时症状加重,严重时可能影响日常活动。
Haglund畸形2、Haglund病是怎么造成的?
跟骨后上方凸起的Haglund畸形,主要成因是遗传或发育因素,高弓足、跟腱紧张以及不良的步态(如用脚跟外侧着地)是常见的诱因。当穿着硬质鞋子,如皮鞋或高跟鞋时,足后跟与鞋跟之间的摩擦加剧,导致增生的跟骨对跟腱产生持续的压力和磨损,从而引发炎症,形成Haglund综合征。
3、患上Haglund病该怎么治?
大部分患者通过非手术治疗方式都能得到满意效果,部分患者迁延不愈可能需要手术。
非手术治疗:
休息制动:减少活动,避免加重症状。
消炎镇痛药:使用非甾体抗炎药(NSAIDs)如布洛芬、赛来昔布等,以缓解疼痛和减轻炎症。
冰敷:每次冰敷20分钟,间隔15分钟再继续,有助于控制肿胀和减轻疼痛。
功能锻炼:进行跟腱拉伸运动,缓解跟腱紧张,预防进一步损伤。
辅助工具:使用足跟增高垫和脚跟缓冲垫,减少足后跟的压力和不适感。
换鞋:选择鞋后部分柔软或没有鞋后的鞋类,如拖鞋、运动鞋等,以减少对后跟的刺激。
物理治疗:利用超声波、冲击波等物理疗法,促进炎症消退和组织修复。
手术治疗:
根据骨赘大小、凸出程度和跟腱质量决定手术方式:
关节镜下骨赘磨除、滑囊清理术:微创手术,恢复快,但可能无法完全去除增生骨赘,存在复发风险。
开放手术:彻底切除骨赘并重建跟腱止点,根治性强,但创伤较大,术后需注意伤口护理,预防并发症。
Haglund成形术综上所述,Haglund综合征的治疗需综合考虑患者症状、病因及个体情况,制定个性化治疗方案。非手术治疗为首选,但对于严重或持续不愈的患者,可以考虑手术治疗。
三、跟腱断裂
1、跟腱断裂发生的原因是什么?
跟腱断裂的主要原因是暴力作用,分为直接暴力和间接暴力。
直接暴力:外力直接作用于跟腱部位,如重物打击跟腱,可使跟腱挫伤、部分或完全断裂,常同时有皮肤损伤。
间接暴力:通过传导、杠杆作用、旋转或肌肉剧烈收缩等,使肢体受力部位的远处发生损伤,如高处落地姿势不当等导致小腿三头肌剧烈收缩,使跟腱被撕裂损伤。
高发人群包括:
运动人群,尤其是有既往跟腱损伤史或跟腱炎的患者;
长期使用糖皮质激素或喹诺酮类抗生素者;
其他因素如肌腱钙化、年龄增大、先天性胶原异常、感染性疾病、风湿免疫类疾病、内分泌类疾病、神经功能异常、激素水平异常等。
职业运动员在比赛中跟腱断裂2、跟腱断裂发病有哪些影响因素?
跟腱断裂的发病率在性别上存在显著差异,男性患者远多于女性,比例可高达4~20倍。此外,季节变化也可能影响跟腱断裂的发病率,冬春和夏秋交接时,由于气候变化和户外活动量的增加,跟腱断裂的发生率往往会有所上升。
3、跟腱断裂有什么表现?
跟腱断裂时,部分患者会听到“啪”的一声,常常描述脚后跟被人踢了一脚;
足跟部疼痛、肿胀、瘀斑;
行走无力,不能提跟;
体格检查时,脚后跟上方(即跟腱断裂处)有压痛,并且可扪及凹陷感。
跟腱断裂的临床表现
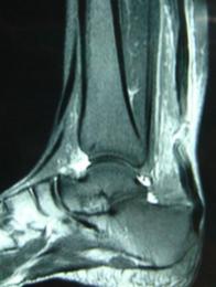
跟腱断裂的核磁共振图像
跟腱断裂回缩4、跟腱断裂的诊断
跟腱断裂的诊断主要依据患者的病史、体格检查(腓肠肌试验),以及超声检查和MRI检查,可以清晰显示断裂部位。
正常 断裂小腿腓肠肌基因试验(Thompson试验)
5、跟腱断裂的治疗与恢复
治疗方式包括手术和保守治疗。首选手术治疗(开放缝合或微创缝合),保守治疗适用于情况较轻的患者。手术治疗能更彻底地修复断裂的跟腱,并减少再断裂的风险。手术治疗方法包括开放性缝合和微创经皮缝合两种,具体选择需根据患者情况而定。具体治疗方法详见本公众号的跟腱修复手术介绍。
经过修补的跟腱总的来说,跟腱断裂虽然是一种严重的运动损伤,但通过及时有效的治疗和康复训练,患者通常能够恢复正常的踝关节功能和运动能力。
END
原标题:《损伤防治-踝|急慢性跟腱损伤》
本文为澎湃号作者或机构在澎湃新闻上传并发布,仅代表该作者或机构观点,不代表澎湃新闻的观点或立场,澎湃新闻仅提供信息发布平台。申请澎湃号请用电脑访问http://renzheng.thepaper.cn。





- 报料热线: 021-962866
- 报料邮箱: news@thepaper.cn
互联网新闻信息服务许可证:31120170006
增值电信业务经营许可证:沪B2-2017116
© 2014-2026 上海东方报业有限公司




