- +1
CA19-9显著升高,是得肿瘤了吗?
一年前,王女士因为突发左上腹疼痛就医,检查发现肿瘤指标CA19-9> 7000 U/ml(正常<25U/ml),当时非常害怕,难道是得了肿瘤?心急如焚的她很快办理了住院,入院后完成腹部增强CT、胃肠镜、PET/CT等检查,然而除了在脾脏上发现一个巨大囊肿外,并没有发现其他明确肿瘤表现。经验丰富的医生团队通过查阅各种资料后发现,脾脏上的这个囊肿可能就是导致CA19-9显著升高的罪魁祸首。通过周密的手术规划,医生团队为其实行了腹腔镜下脾切除术,术后患者恢复良好,病理提示脾脏病灶为表皮样囊肿,一种良性的可发生于全身多部位的囊肿。术后患者定期随访,肿瘤指标也在术后3月完全恢复正常。

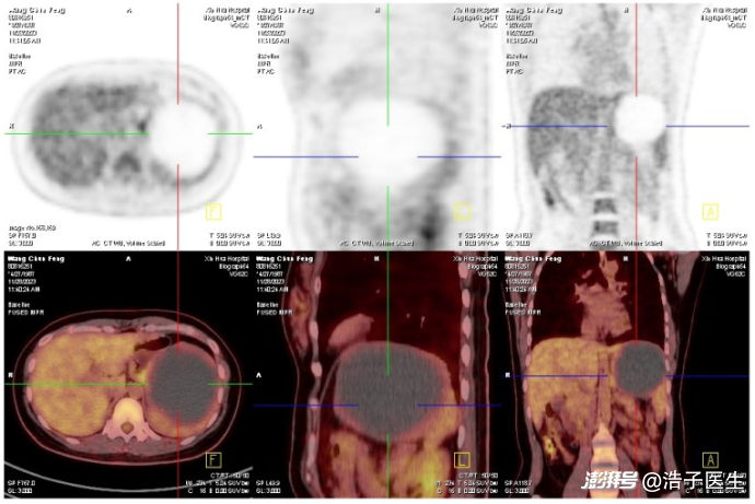
患者PET/CT提示脾脏巨大囊性病灶

患者手术前后肿瘤指标CA19-9变化趋势
在这个案例中,王女士脾脏囊肿已经发现多年,但既往肿瘤指标始终正常,本次检查肿瘤指标急剧升高,结合腹痛病史,考虑CA19-9升高可能与脾囊肿内部发生感染、囊肿濒临破裂等,囊内压力急剧升高导致囊壁的角化鳞状上皮分泌的CA19-9入血有关。
CA19-9这一指标的升高通常在肝脏、胆道、胰腺等来源肿瘤中多见,但是需要注意的是肝胆胰恶性肿瘤中,CA19-9并不一定会升高。相反,在以下情形中,CA19-9也会显著升高,需要注意排除:
1、 胆道胰腺系统的炎症、胆道梗阻等;
2、 不同部位的表皮样囊肿或皮样囊肿;
3、 极少数妇科、内分泌等相关情况。
通过这一案例,告诉我们,肿瘤指标CA19-9升高并不等于罹患恶性肿瘤。同理,包括AFP、CEA等肿瘤指标的升高,也并不代表存在肿瘤。肿瘤指标的升高,需要咨询专业的医生团队,进行综合地判断。
参考文献:
Cai H, Hei Z, Liu G, Zhao F, Wang C, Guan W, Ren G, Zhou Q, Dong Y, Wang Y, Gong W and Chen L (2024) Abrupt elevation of tumor marker levels in a huge splenic epidermoid cyst, a case report. Front. Oncol. 14:1415225. doi: 10.3389/fonc.2024.1415225
本文为澎湃号作者或机构在澎湃新闻上传并发布,仅代表该作者或机构观点,不代表澎湃新闻的观点或立场,澎湃新闻仅提供信息发布平台。申请澎湃号请用电脑访问http://renzheng.thepaper.cn。





- 报料热线: 021-962866
- 报料邮箱: news@thepaper.cn
互联网新闻信息服务许可证:31120170006
增值电信业务经营许可证:沪B2-2017116
© 2014-2026 上海东方报业有限公司




