- +1
清华×浙大合作Nature:胰腺靶向型LNP,高效精准递送mRNA,治疗多种胰腺疾病

撰文丨王聪
编辑丨王多鱼
排版丨水成文
胰腺疾病,包括胰腺癌、胰腺炎以及糖尿病等,一直是医学界的难题。全球有超过 8 亿人受其困扰,而传统治疗方法往往效果有限,主要原因在于药物难以精准到达胰腺组织。
因此,实现胰腺靶向给药,将是胰腺疾病治疗领域的一个重大突破。
2026 年 2 月 25 日,清华大学喻国灿、浙江大学医学院附属第一医院梁廷波、章琦等人在国际顶尖学术期刊 Nature 上发表了题为:Pancreatic-targeted lipid nanoparticles based on organ capsule filtration 的研究论文。
该研究确定了一个明确且通用的胰腺选择性递送原则,并提出了一种用于 mRNA 递送的胰腺靶向脂质纳米颗粒——AH-LNP(A 和 H 分别代表精氨酸和组氨酸修饰)。AH-LNP 与蛋白质组装后体积增大,这有利于通过胶囊过滤实现胰腺选择性蓄积以及受体介导的内吞作用,从而增强其对胰腺的靶向能力。
AH-LNP 能够递送 Cas9 mRNA 和 sgRNA,实现胰腺内精准高效的基因编辑,在自身免疫性胰腺疾病的治疗方面展现出巨大潜力。此外,在多种胰腺癌模型中,AH-LNP 向胰腺靶向递送编码治疗性细胞因子的 mRNA 与癌症疫苗或 CAR-T 细胞疗法联合使用时,显示出更优的抗癌疗效。研究团队进一步在包括非人灵长类动物在内的多种动物模型中验证了 AH-LNP 的安全性及胰腺 mRNA 递送情况,展现出良好的临床转化前景。
该研究突显了这种靶向胰腺的机制以及由此衍生的脂质纳米颗粒(LNP)平台的变革潜力,为开发针对各种胰腺疾病的精准疗法开辟了新道路。

胰腺靶向递送的通用机制
人体腹腔内的器官大多被致密的结缔组织囊包裹,这些囊就像一层“防护罩”,能够过滤掉较大的颗粒。
而胰腺却只有一层薄薄的结缔组织,没有这样的致密囊结构。这意味着,当纳米颗粒通过腹腔注射进入体内时,较大尺寸的颗粒会被其他器官的囊结构过滤掉,反而更容易在胰腺中积累。
在这项新研究中,研究团队描述了一种靶向胰腺的通用递送机制——囊滤介导的胰腺靶向(capsule-filter-mediated pancreatic-targeted,CAMP),这是一种基于尺寸的过滤过程——直径约 300 纳米的大尺寸脂质纳米颗粒(LNP)在腹腔注射后,显示出明显的胰腺选择性积累。基于此,研究团队通过氨基酸修饰对 LNP 进行调节,并确定了最佳配方——AH-LNP,其包含精氨酸(Arginine)和组氨酸(Histidine)修饰的可电离化脂质,该配方能与腹腔内蛋白质结合,通过 CAMP 机制实现在胰腺的积累。
智能设计的“双重机制”
仅仅在胰腺中积累还不够,脂质纳米颗粒还需要被胰腺细胞有效摄取并在细胞内释放其携带的治疗性 mRNA 分子。研究团队通过巧妙的分子设计,为 AH-LNP 赋予了第二重能力——VLDL 受体介导的胰腺摄取。
LNP 表面修饰了精氨酸和组氨酸,这些氨基酸能够与腹腔内的蛋白质结合,形成大尺寸的LNP-蛋白质组装体。这些组装体不仅因为尺寸增大而有利于通过 CAMP 机制在胰腺中积累,还能被胰腺细胞表面的 VLDL 受体识别,从而进入胰腺细胞。
蛋白质组学分析显示,AH-LNP 表面富集了大量极低密度脂蛋白相关蛋白,例如 APOA-V、APOB-100、APOC-I 等。这些蛋白质通常存在于 VLDL 中,而 VLDL 是人体内天然存在的脂质载体。

跨物种验证的卓越效果
为了验证 AH-LNP 的临床潜力,研究团队在多种动物模型中进行了测试,包括大鼠、兔子、比格犬、巴马小型猪,以及非人灵长类动物。
在所有测试物种中,AH-LNP 都表现出近 90% 的生物发光信号集中在胰腺中,而肝脏表达极低。相比之下,临床常用的 ALC-0315-LNP 主要在肝脏积累。
在非人灵长类动物中,使用 PET-CT 成像技术进一步证实了 AH-LNP 的胰腺选择性。89Zr 标记的 AH-LNP 在胰腺中的积累量是传统 LNP 的 548.2 倍,这一结果令人印象深刻。
基因编辑的长期效果
研究团队将 CRISPR-Cas9 基因编辑系统(Cas9 mRNA 和 sgRNA)封装在 AH-LNP 中,用于下调非肥胖糖尿病小鼠的 MHC-I 水平,这些小鼠会自发发展为胰岛炎,激活细胞毒性 T 淋巴细胞破坏胰腺 β 细胞,最终导致糖尿病。
实验结果显示,AH-LNP 能够实现长期且高效的基因编辑。在治疗 180 天后,AH-LNP 治疗组仍保持 89.9% 的 MHC-I 下调水平,而传统的 DOTAP-LNP 治疗组仅保留 21.5% 的下调效果。
更令人振奋的是,AH-LNP 治疗组胰腺中 T 淋巴细胞的浸润明显减少,,这表明长期下调 MHC-I 水平可能减缓自身免疫性胰腺疾病的进展。
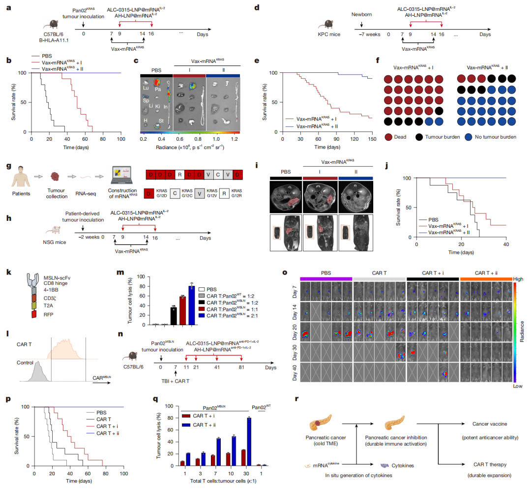
癌症治疗的协同增效
除了基因编辑外,研究团队还探索了 AH-LNP 在胰腺癌治疗中的应用。研究团队将编码治疗性免疫调控因子(IL-2)的 mRNA 通过 AH-LNP 递送到胰腺,并与癌症疫苗或 CAR-T 细胞疗法相联合使用。
在多种胰腺癌模型中,这种联合疗法表现出卓越的抗肿瘤效果。AH-LNP 能够精准将 IL-2 mRNA 递送到肿瘤微环境中,增强免疫细胞对癌细胞的识别和攻击能力。

总的来说,该研究发现了胰腺靶向递送的通用机制——CAMP 机制,并开发了基于这一机制的 LNP 平台,为开发针对多种胰腺疾病(例如胰腺癌、自身免疫性胰腺炎、糖尿病等)的精准疗法开辟了新道路。
论文链接:
https://www.nature.com/articles/s41586-026-10158-7
原标题:《清华×浙大合作Nature:胰腺靶向型LNP,高效精准递送mRNA,治疗多种胰腺疾病》
本文为澎湃号作者或机构在澎湃新闻上传并发布,仅代表该作者或机构观点,不代表澎湃新闻的观点或立场,澎湃新闻仅提供信息发布平台。申请澎湃号请用电脑访问http://renzheng.thepaper.cn。





- 报料热线: 021-962866
- 报料邮箱: news@thepaper.cn
互联网新闻信息服务许可证:31120170006
增值电信业务经营许可证:沪B2-2017116
© 2014-2026 上海东方报业有限公司




