- +1
Cell Matab | 肠胃不好心情也会变差?上海交大李亚东等揭示肠-脑轴改善焦虑抑郁新机制
肚子不舒服的时候,整个人也提不起劲,容易焦虑烦躁。这种肠-脑互动,一直是民间经验与科学研究的交汇点。这背后的科学原理究竟是什么呢?

来自上海交通大学医学院松江研究院李亚东团队联合附属松江医院消化内科王静、附属瑞金医院刘瑞欣团队做了一项专门研究,标题为《 Gut microbial metabolism via hippocampal indole-AhR signaling regulates emotional symptoms 》相关成果于2026年4月1日发表在《Cell Metabolism》期刊上。
本研究发现肠易激综合征患者与模型小鼠肠道Alistipes shahii 菌显著减少,它生产的吲哚代谢物就少了。吲哚通过血液进入大脑,无法激活腹侧海马里的情绪开关芳香烃受体(AhR),神经元活性下降,人就焦虑、抑郁了。
好消息是,补充这种菌、直接补充吲哚,或者用一种临床已获批的药物地奥司明,均可逆转情绪异常。该研究揭示了一条全新的肠道菌群 - 代谢物 - 脑调控通路。

肠道菌群是 IBS 情绪异常的元凶
研究者招募了22名肠易激综合征(IBS)患者和35名健康人,发现患者的焦虑、抑郁评分显著更高。用高脂饮食+冰水灌胃建立IBS小鼠模型,小鼠也出现了同样的情绪问题。
粪菌移植实验显示,把IBS患者的粪便移植给无菌鼠,无菌鼠也出现了焦虑抑郁行为。这说明情绪问题是肠道菌群直接导致的。进一步用16S rRNA测序和宏基因组测序,锁定Alistipes shahii(A. shahii) 是关键菌。它在IBS患者和小鼠中都显著减少,且数量越低,情绪问题越重。给IBS小鼠补回这种菌,情绪明显好转。
也就是说,IBS 人群少了这种关键肠道菌,是情绪变差的重要原因。

A. shahii 靠吲哚代谢通路调控情绪
A. shahii减少后,肠道里色氨酸酶(TnAse)大幅下降,这种酶负责把色氨酸变成吲哚。
检测发现,IBS患者和小鼠的粪便、血液、结肠中吲哚水平显著降低,且吲哚含量和情绪好坏直接相关。给IBS小鼠直接补充吲哚,焦虑抑郁行为明显缓解。用色氨酸酶抑制剂阻断吲哚生成,健康鼠也会出现情绪问题;给IBS小鼠补色氨酸酶,吲哚回升、情绪恢复。
因此,这种肠道菌→色氨酸酶→吲哚,是连接肠道和情绪的核心代谢链条。

吲哚通过腹侧海马 AhR发挥作用
吲哚进入大脑后只结合芳香烃受体(AhR),而AhR高度集中在负责情绪的腹侧海马齿状回(vDG)脑区。
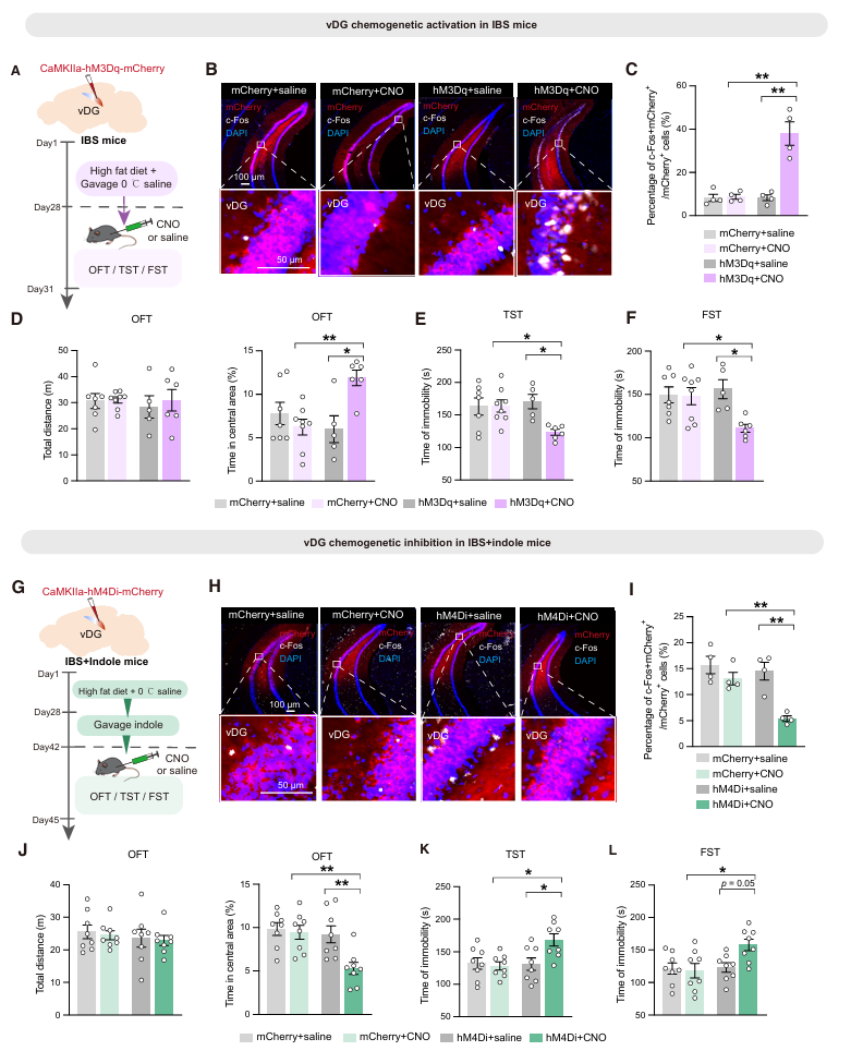
IBS小鼠因吲哚不足,vDG的AhR无法入核激活,神经元活性大幅降低。用化学遗传学激活vDG神经元,可直接缓解情绪问题;抑制该脑区神经元,吲哚的改善作用会消失。在vDG特异性敲除AhR后,补充A. shahii或吲哚都不再有效,证明AhR是吲哚调控情绪的必需受体。
因此,肠道产生的吲哚,是通过激活大脑特定区域的 AhR,让神经元正常工作,从而稳住情绪。

地奥司明:一款老药的新用途
研究测试了一种临床已获批的AhR激动剂地奥司明(常用于治疗静脉曲张、痔疮)。结果发现,它能显著激活vDG神经元,完全逆转IBS小鼠的焦虑抑郁样行为。
同时,移植另一种产色氨酸酶的菌Bacteroides ovatus,也能提升吲哚、改善情绪。
因此,现成临床药物地奥司明可快速用于治疗IBS相关情绪问题。

全文总结
本研究完整揭示一条肠道菌群-代谢物-脑信号轴:IBS 患者肠道A. shahii 菌减少→色氨酸酶不足→吲哚生成下降→大脑腹侧海马 AhR 激活不足→神经元活性降低→出现焦虑抑郁情绪;
补充该菌、吲哚、色氨酸酶,或使用临床药物地奥司明激活 AhR,均可有效逆转情绪异常,为 IBS 相关情绪障碍提供全新机制与治疗靶点。

小编寄语:
身心本是一体,肠道与大脑从未分离。
上海交大李亚东团队等的这项研究,为我们揭示了情绪的肠脑互作通路:
A. shahii 菌的缺失 → 吲哚代谢物的断供 → 大脑海马体 AhR 受体的沉默 → 焦虑与抑郁的爆发。这条通路不仅解释了为什么肠胃不好心情也会差,更为我们治疗情绪障碍打开了一扇新窗。更令人振奋的是,研究团队发现的地奥司明,作为一款临床老药,有望快速应用于情绪疾病的治疗。
这或许意味着,未来的某一天,我们可以通过调节肠道微生态,或者简单地服用一颗药,就能让那些因身体不适而陷入情绪泥潭的人,重新找回内心的平静与快乐。

原文链接:
https://doi.org/10.1016/j.cmet.2026.03.003
原标题:《Cell Matab | 肠胃不好心情也会变差?上海交大李亚东等揭示肠-脑轴改善焦虑抑郁新机制》
本文为澎湃号作者或机构在澎湃新闻上传并发布,仅代表该作者或机构观点,不代表澎湃新闻的观点或立场,澎湃新闻仅提供信息发布平台。申请澎湃号请用电脑访问http://renzheng.thepaper.cn。





- 报料热线: 021-962866
- 报料邮箱: news@thepaper.cn
互联网新闻信息服务许可证:31120170006
增值电信业务经营许可证:沪B2-2017116
© 2014-2026 上海东方报业有限公司




