- +1
前循环出现这种“串联闭塞”,90%以上医生没见过
原创 袁振华 医学界神经病学频道

由大脑中动脉(MCA)M1段闭塞所致的前循环缺血性卒中在临床上十分常见。然而,你们见过副大脑中动脉(AMCA)双支闭塞吗?虽然这种情况比较少见,但此类的解剖变异会对机械血栓构成重大挑战。
今天,我们通过一个病例学习副大脑中动脉(AMCA)双支闭塞病例的管理策略和治疗选择。
▎案例展示:
30岁男性患者,主诉:“突发左侧肢体无力4小时”。患者1天前曾在当地一家按摩院行头颈部按摩,随后出现右侧颈部疼痛。患者否认高血压、糖尿病及心脏病等其他特殊病史。
头颅CT平扫未发现右侧大脑中动脉分布区片状低密度影,阿尔伯塔省脑卒中计划早期CT缺血评分(ASPECTS)为7分。头颈血管CTA成像显示右侧颈动脉球部动脉夹层和右侧AMCA的串联闭塞,仅存双支动脉的近端残端 (图1A)。

▎治疗:
签署知情同意后,患者拟采用三轴入路血栓抽吸术。取右侧股动脉入路,将6F神经鞘Neuron 088Max置入右侧颈总动脉(CCA),恰好位于右侧颈动脉球部动脉夹层的近端。剥离皮瓣仅限于右侧颈动脉球部和颈内动脉近端(ICA)。
再通过导丝将大口径的ACE60再灌注导管穿过Neuron MAX。使用软尖导丝穿过颈动脉夹层段(图1B),将ACE-60导管通过导丝推进至颈内动脉远端的真性管腔。诊断性血管造影显示右侧AMCA残端闭塞(图1C)。


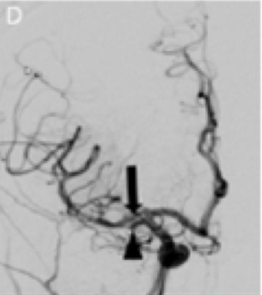
微导管/微导丝组件通过ACE60导管从右侧大脑前动脉(ACA)A1段进入AMCA的一支。ACE60导管从微导管/微导丝组件上向前推进,直至血栓处。借助ACE60导管和负压抽吸泵进行血栓抽吸术。单次通过后,自右侧ACA-A1段发出的AMCA分支实现了再通(图1D)。

同样,对从颈内动脉终末端发出的AMCA分支重复上述过程。检查血管造影显示AMCA双支完全再通(图1E)。使用6×20 mm Mustang球囊扩张导管对动脉夹层段进行球囊血管成形术,右颈动脉球部可见明显的残余血栓(图1F)。


由于存在源于后循环的良好侧支供应,且在X-PER CT上可见右侧基底节区少量出血,故急性期未行支架置入术。术后采用低分子肝素抗凝以及氯吡格雷抗血小板治疗,4天后改用阿司匹林和氯吡格雷双重抗血小板治疗。
▎预后和随访:
4周后患者拟进一步行颈动脉支架置入术。然而,术中进行的诊断性血管造影显示:颈动脉夹层几乎完全消失,未见明显的官腔狭窄以及内膜瓣(图1G)。右侧颈动脉球水平可见呈喙状的一个微小突起(图1G),可能是此前夹层的残留。因此,该患者最终未行支架置入。三维旋转血管造影显示AMCA双支完全再通(图1H)。3个月后随访,该患者的改良Rankin评分为0分。


▎讨论:
大脑中动脉是所有脑血管中发育最迟的血管。简而言之,MCA是从系统发育上更为古老的ACA中分出。在新皮质发育的初始阶段,ACA产生多条穿支血管,以维持对生长中的大脑的血供。随着皮质的扩大,穿支系统也从多个相互竞争的血管演变成单个占主导地位的血管-大脑中动脉。
脑动脉系统中大脑中动脉的变异相对少见,可有如下几种类型:副大脑中动脉、重复大脑中动脉、复源型大脑中动脉、网状大脑中动脉或树枝状大脑中动脉。 “副大脑中动脉”这一概念首次提出,是用来描述与MCA相伴而行并共同穿越大脑外侧裂的一条血管。事实上,上述定义同时涵盖了“AMCA”和“DMCA”。

因此,Teal等建议,AMCA一词应严格限定于起源于ACA的异常动脉,而起源于颈内动脉(ICA)的分支则应称为DMCA。血管造影和解剖学研究显示,AMCA和DMCA的发生率分别为0.3%-4.0%和0.2%-2.9%。关于AMCA的胚胎学起源,学术界目前流行多种学说。Handa等提出AMCA实际上是Heubner返流动脉的增生肥厚。
Takahashi等则提出AMCA可能是发自ACA的内侧豆纹动脉与发自MCA的外侧纹状动脉之间的一种持久的吻合通道。Komiyama等人推测,大脑中动脉早期分支产生了AMCA或DMCA,因为它们分别通过AMCA和DMCA向前额叶和前颞叶的皮质供应血液。
尽管这些大脑中动脉变异本身并无临床意义,但已有文献报道在AMCA或DMCA的起始处发现罕见的动脉瘤,不过十分罕见。据我们所知,目前有关AMCA或DMCA参与急性缺血性卒中的英文文献报道各有一篇。
虽然罕见,但它对机械取栓的管理提出了巨大的挑战。同时本病例同时合并存在颈动脉夹层,使得其处理更加棘手。我们最终决定采用直接抽吸技术(ADAPT)治疗此病例。为获得最佳疗效,有必要清除AMCA双支的血栓。
虽然AMCA或DMCA的管径大小等于亦或是小于单个M1段 MCA,目前仍存在争议,但为了尽可能减少血管损伤,本病例采用外径较小的抽吸导管。本病例起源于ACA的大脑中动脉管径为2.2 mm,而来自ICA的MCA的管径为2.17 mm。
值得注意的是,该患者左侧MCA-M1段管径为4.1mm。考虑到闭塞血管的管径相对较小,采用ACE 60导管代替ACE 68导管,因为前者的远端外径(OD)为5.4F,而后者的远端外径(OD)为6F。
虽然ACE60和ACE68的远端内径(ID)受到影响(分别为0.060英寸和0.068英寸),但这确保了最佳的吸入力和较少的导管穿行过程中血管损伤的机会。由于起源于大脑前动脉的一支大脑中动脉会形成豆纹动脉(图1C),因此首先处理该支大脑中动脉,随后处理另一支。
之所以有先后之分,是因为率先对发出豆纹动脉分支的血管进行再通对于取得良好预后更为关键。对两条分支进行单次抽吸后最终实现了完全再通(mTICI评分:3级)。
支架取栓(Stent retriever thrombectomy)亦可用于该病例的治疗。然而,由于支架取栓可造成潜在的内皮损伤,因此血栓抽吸术常被用作一线治疗。Koge等人描述了1例DMCA闭塞合并ICA闭塞时支架取栓所造成的内皮损伤,并建议在类似情况下应进行血栓抽吸术。
然而,Koge等人预先并不知晓潜在解剖变异的存在,因为在他们的病例中血管完全闭塞,其解剖变异最终是通过M1段MCA中重复分支的模糊混浊和支架装置缺乏完全扩张而回顾性诊断的。在本病例中,由于两支血管的残端可见,因此可提前知晓存在解剖变异,从而最终采用抽吸取栓术而非支架取栓术。
当然,在类似情况下,如果抽吸取栓失败,支架取栓可作为一种备选方案。Koge等在他们的案例中使用了直径为6 mm的支架。我们则建议在类似的情况下应该选用直径较小(4 mm或更小)的支架以减少血管损伤的机会。
▎学习要点
副大脑中动脉(AMCA)闭塞对急性缺血性卒中的治疗提出了独特的挑战。
副大脑中动脉(AMCA)变异虽然罕见,但神经介入医师应注意识别此类解剖变异。
实现闭塞的大脑中动脉双支完全再通对于取得良好的临床预后至关重要。应首先对发出豆纹动脉分支的一支大脑中动脉进行再通,因为豆纹动脉闭塞可能会导致较差的预后。
为减少血管损伤的机会,应优先选择抽吸取栓术。
建议使用直径较小的抽吸导管或支架,以减少潜在的血管损伤。
参考来源:https://casereports.bmj.com/content/13/2/e233287
本文首发:医学界神经病学频道
本文作者:南京市第一医院神经内科 袁振华
责任编辑:章丽
原标题:《前循环出现这种“串联闭塞”,90%以上医生没见过│神经介入经验谈》
本文为澎湃号作者或机构在澎湃新闻上传并发布,仅代表该作者或机构观点,不代表澎湃新闻的观点或立场,澎湃新闻仅提供信息发布平台。申请澎湃号请用电脑访问http://renzheng.thepaper.cn。





- 报料热线: 021-962866
- 报料邮箱: news@thepaper.cn
互联网新闻信息服务许可证:31120170006
增值电信业务经营许可证:沪B2-2017116
© 2014-2026 上海东方报业有限公司




