- +1
一文掌握5种常见胃良性占位影像学特点和鉴别诊断
原创 杜华阳 医学界消化肝病频道

临床工作中,我们经常遇到胃占位病变,我们比较重视胃癌等恶性病变,诊断相对容易。但对良性病变的诊断和鉴别诊断知识相对缺乏。下面给大家介绍一下胃常见良性占位病变的影像学特点和鉴别诊断。
病例分享
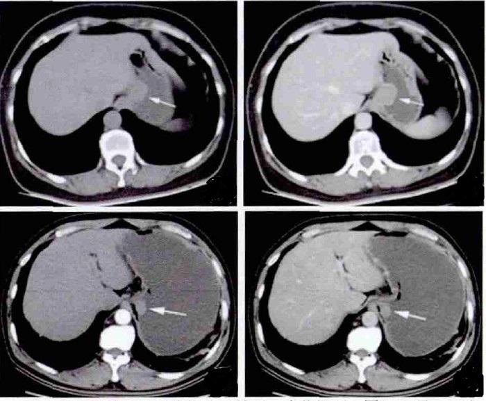
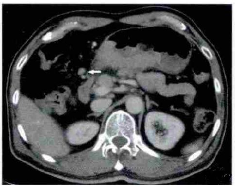
患者女,75岁,饮酒后出现上腹刺痛伴腹胀,无放射痛,无恶心、呕吐、腹泻等不适,服用奥美拉唑后无缓解。外院胃镜示胃小弯有直径2.5cm圆形隆起,考虑胃间质瘤可能性大。子宫肌瘤病史。
全身PET/CT示:胃窦小弯侧内凸结节,代谢稍增高,考虑良性或低度恶性病变可能性大。




上图可看到胃窦小弯侧软组织密度结节,大小约18mm×17mm,平扫CT值约37HU,增强扫描动脉期可以明显强化,CT值约134HU,门脉期持续呈高强化,延迟期强化减低。余黏膜面未见异常强化,浆膜面光整。胃周未见明显肿大淋巴结。
患者影像学特点
胃窦小弯侧结节状实性占位;
动脉期明显强化,门脉期持续强化,延迟期强化减低,门脉期达到强化峰值;
动脉期病变斑片状强化,门脉期强化范围逐渐增宽;
黏膜面未见异常强化,浆膜面光整。
鉴别诊断
根据上述影像表现及影像学特点,按照常规疾病的诊断思路,从定位、定性两方面考虑。定位上比较明确,考虑胃组织来源;定性上考虑良性或低度恶性病变。
根据疾病由常见到罕见可以考虑下面几种疾病:胃间质瘤、胃平滑肌瘤、胃血管球瘤、胃神经鞘瘤、胃淋巴瘤。
■ 鉴别诊断1——胃间质瘤
胃间质瘤根据病变发生部位与胃壁的关系可分为黏膜下型、肌间型、浆膜下型及胃外型,黏膜下型胃间质瘤好发于胃体及胃底,多表现为黏膜下软组织肿块,向胃腔内生长,表面有小的脐样切迹或形成较大的液平,增强后动脉期轻度较均匀强化,门静脉期持续性较均匀强化。
胃间质瘤主要影像学特点
发病位置:以胃体部大弯侧最多,其次胃窦部;向腔内、腔外或同时向腔内外突出生长,以腔外生长多见;
恶性者:直径多>5cm,形态欠规则,可呈分叶状,密度不均匀,可有坏死、囊变、陈旧性出血所致低密度灶;
增强呈中等或明显强化,囊实性者周边实性成分强化明显,肿瘤表面可见强化明显、完整的黏膜面,可见索条状细小血管;
强化峰值很少达到100HU以上。

■ 鉴别诊断2——胃平滑肌瘤
胃平滑肌瘤是一种最为常见的胃部间质性良性肿瘤,起源于胃壁肌层或胃壁血管任何部位的平滑肌瘤。常为单发,偶见多发,90%为单发,约占胃良性肿瘤的40%。一般呈球形或卵形,质硬,无真正包膜,表面光滑,可呈分叶状,多数无蒂。
小的肿瘤局限于胃壁内,大者可突入胃腔,或突出于浆膜下,或向内、外突起而呈哑铃状,有时突出浆膜面而一端游离于腹腔中。肿瘤大小不一,一般在0.5~1.0cm,但也有达2cm以上者。根据起始部位和发展方向,分为腔内型、腔外型、壁间型和腔内外型(哑铃型)四种。
由于覆盖在肿瘤顶部表面黏膜血供不足,而致溃疡形成,可引起上消化道出血,其出血可能以大出血为首发临床表现,也可能为少量间歇大便潜血。当瘤体增大或出现并发症时,也可出现上腹痛、腹胀、腹部肿块,甚至梗阻。
胃平滑肌瘤主要影像学特点
多见于胃体部;多为单发,圆形、类圆形;
起源于肌壁间,增大后向腔内或腔外或同时双向突出形成软组织肿块,腔内型多见;
体积一般不大,<5cm,密度常呈等密度;增强缓慢均匀强化。

■ 鉴别诊断3——胃血管球瘤
胃血管球瘤发病率约为胃肠道肿瘤的1%,发病年龄18~90岁,中位年龄54岁。最常见的症状是上消化道出血和上腹部疼痛,少数可有胃区不适,也有常规体检中偶然发现。
胃血管球瘤多位于黏膜下层,平扫为边缘光滑,均匀一致低密度改变,增强扫描病灶在动脉期及延迟期均呈现均匀的明显强化。一些较大病灶,可以有类似肝血管瘤增强表现。病灶中有时可以伴有斑点状钙化,如果病灶中央缺血坏死或溃疡,可出现低密度不强化区。CT可以对血管球瘤做出定性诊断。
胃血管球瘤主要影像学特点
多位于胃窦肌层,直径一般小于4cm;
边缘光滑的孤立性结节样肿块,边缘光滑跨壁生长低密度肿块,密度均匀;
病灶迅速明显强化,且强化均匀。

■ 鉴别诊断4——胃神经鞘瘤
胃神经鞘瘤起源于胃壁肌间Auerbach’s神经丛神经鞘Schwann细胞,生长缓慢。胃肠道神经鞘瘤少见,绝大多数为良性。好发于 40~60 岁女性,临床表现缺乏特异性,一般无明显的临床症状,随着病灶的增大,患者会出现腹痛及消化道不适等症状,病程常较长,部分患者在体检时偶然发现。
胃神经鞘瘤主要影像学特点
胃体、底部多见,以腔外生长为主(腔内外混合性生长少见,单纯腔内生长者罕见),呈圆形、椭圆形或分叶状,边界清楚;
肿瘤实变多见,软组织肿块、密度较低,CT平扫密度低于肌肉密度,动脉期强化不明显,延迟期强化(有渐进性强化的表现),但强化峰值弱于血管球瘤;
出血、囊变、坏死、钙化较少见,多为良性,恶性少见;
胃神经鞘瘤属于神经源性肿瘤,除此神经鞘瘤外,还有神经纤维瘤、神经节瘤、副神经节瘤等,单纯从影像学上较难鉴别诊断,胃神经鞘瘤是最常见的胃神经来源肿瘤。


■ 鉴别诊断5——胃淋巴瘤
胃淋巴瘤按照淋巴瘤的发生部位,可将其分为淋巴结内和淋巴结外淋巴瘤,临床上胃淋巴瘤分为原发性和继发性两种。胃淋巴瘤主要沿固有层和粘膜下层浸润性生长,黏膜面常不被破坏。是起自黏膜层,向黏膜下层及肌层浸润性生长,在后期亦可向深层累及至胃壁全层,并常伴胃周淋巴结转移,因反应性增生可以有明显的区域性淋巴结肿大。胃淋巴瘤可分为:浸润型、溃疡型、息肉型(腔内生长肿块)、结节型(黏膜下结节或肿块)。
胃淋巴瘤主要影像学特点
多见于胃窦、胃体部;
胃壁不规则增厚、呈肿块样,增强扫描呈一致性中等程度强化,坏死囊变少见(较大者可出现),黏膜破坏少见;
其他部位可见肿大淋巴结;胃蠕动、收缩仍存在。


病例分析
上述病例患者在全麻下行“腹腔镜下胃镜辅助胃窦小弯肿物切除术”,最终病理证实为胃血管球瘤。下面简单介绍一下胃血管球瘤的相关知识。
▎胃血管球瘤
胃血管球瘤被认为起源于动静脉吻合管壁上变异的平滑肌细胞,是由血管球细胞构成的具有器官样结构的一种良性肿瘤,很少发生恶变,属于血管外皮细胞,免疫组化及电镜研究认为血管球细胞是平滑肌细胞起源。主要发生在四肢软组织,以甲下、指(趾)腹多见,原发生于胃的血管球瘤少见。
胃血管球瘤少见,约占胃肠道肿瘤的1 %。血管球瘤可以发生在消化道任意一个部位,甚至包括盲肠,消化道中最常见发病部位胃窦部。多见于中老年女性,平均年龄>50岁。发病原因不明,临床表现无特异性,部分因上消化道不适就诊。最常见的临床主诉包括上腹部不适、疼痛,可同时伴有恶心、呕吐甚至上消化道出血症状,肿瘤如果较大出现黏膜溃疡出血导致慢性贫血,从而产生一系列相关临床症状。
▎胃血管球瘤组织病理学
根据球细胞、血管平滑肌细胞和黏液背景的构成可分为5种亚型:
1、经典型血管球瘤(实体型)最多见,约占3/4,主要以大片球细胞围绕毛细血管生长,呈巢片状排列;
2、血管瘤型:血管成分为较大的静脉。似海绵状血管瘤,瘤细胞成丛状聚集于血管壁;
3、血管肌瘤型;
4、黏液样型;
5、嗜酸细胞型。
胃血管球瘤影像表现
位置:胃窦部;
大小、形态和质地:均较小,直径多小于 3cm,类圆形或椭圆形,边界清晰, 实性结构的软组织块,且均为实性结构,未见囊性改变;
肿块位于胃黏膜下,实质密度较均匀,平扫约30-40HU,未见坏死及囊变,病灶表面可见溃疡, 病灶内可见小点状钙化;
增强扫描表现:动脉期、门静脉期和延迟期均呈明显强化,动脉期肿块周边可见有结节样强化或均匀强化,门静脉期和延迟期仍有明显强化,强化程度类似于门静脉、下腔静脉,甚至与降主动脉类似;
经典型胃血管球瘤与肝脏海绵状血管瘤强化方式类似,动脉期局部或周边出现絮片状强化,门脉期进一步均匀强化,强化峰值通常出现在门脉期,CT值与同层腹主动脉相近,延迟期持续强化;
血管瘤型胃血管球瘤强化峰值可出现在动脉期,门脉期及延迟期持续均匀强化。
▎胃血管球瘤的治疗和预后
1、血管球瘤生长缓慢,良性血管球瘤,手术完整切除肿瘤是最有效的治疗方法;
2、恶性血管球瘤的治疗除了手术完整切除以外,术后再辅以小剂量放射治疗或化学治疗,可以控制病情,改善症状,预防复和转移;
3、恶性诊断不明确者,行局部切除加密切随访。
参考文献:
[1]唐广山, 韩婷婷, 许倩倩. 多层螺旋CT对胃间质瘤的诊断价值[J]. 中国全科医学, 2016(S1):398-400.
[2]舒俊, 张劲松, 唐永强. 胃平滑肌瘤的MSCT表现[J]. 中国CT和MRI杂志, 2017(9).
[3]朱文丰, 叶继章, 龙丽华. 胃血管球瘤的CT影像学表现[J]. 医学影像学杂志, 2015(2):266-268.
[4]马小义. 胃平滑肌瘤与胃神经鞘瘤的多层螺旋CT影像学特点差异性及鉴别价值分析[J]. 临床医药实践, 2018.
[5]王军燕, 孙延豹. 胃神经鞘瘤的CT表现[J]. 医学影像学杂志(5):67-69.
[6]薛鹏,郑红伟,陈勇,张斯佳,漆剑频,夏黎明,胡道予. 胃肠间质瘤的多层螺旋CT表现与病理对照研究[J]. 影像诊断与介入放射学(1):34-38.
本文首发:医学界消化肝病频道
本文作者:杜华阳 北京协和医院放射科
本文审核:杨卫生 景德镇市第二人民医院消化内科副主任医师
责任编辑:Mary
版权申明
本文原创 如需转载请联系授权
- End -
原标题:《干货!一文掌握5种常见胃良性占位影像学特点和鉴别诊断》
本文为澎湃号作者或机构在澎湃新闻上传并发布,仅代表该作者或机构观点,不代表澎湃新闻的观点或立场,澎湃新闻仅提供信息发布平台。申请澎湃号请用电脑访问http://renzheng.thepaper.cn。





- 报料热线: 021-962866
- 报料邮箱: news@thepaper.cn
互联网新闻信息服务许可证:31120170006
增值电信业务经营许可证:沪B2-2017116
© 2014-2026 上海东方报业有限公司




