- +1
吸烟肺的“众生相”,看完你还敢吸烟吗?
原创 陈彦芳 医学界呼吸频道

吸烟危害健康,这是不争的事实,不但害己亦害人。与尘肺相比,吸烟的危害则更大、受害人则更多,病变严重者对肺功能的损害与尘肺没有什么区别,而且吸烟还是肺癌的罪魁祸首。
大体标本


CT表现
临床实践证明,只要是一个长期吸烟者,肺在CT上就一定会有改变,只是程度不同、表现不同而已,这与吸烟的量、时间的长短密切相关。那么我们就用CT来看看吸烟所导致的肺“众生相”。如果你是一个吸烟者,或者接触二手烟者,这里“总有一款适合你”。
来来来,用实例告诉你~
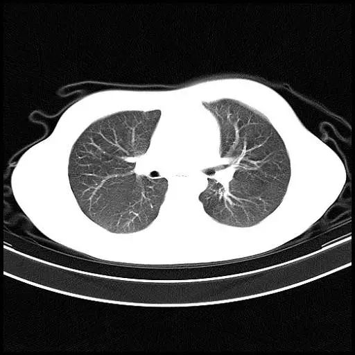
正常肺的CT表现

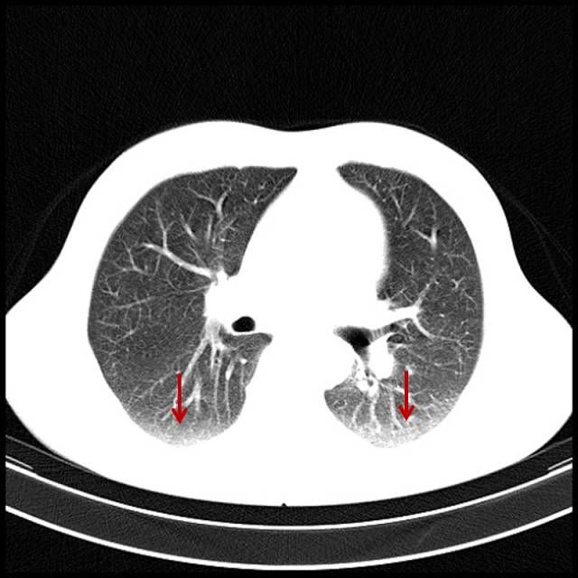
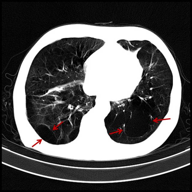
■吸烟导致双肺坠积效应
男,47岁,吸烟者,每天2盒。

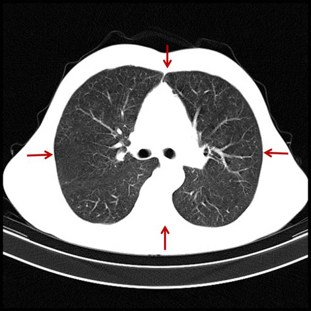
■ 吸烟导致肺气肿
肺气肿是指终末细支气管远端的气道弹性减退、过度膨胀、充气和肺容积增大或同时伴有气道壁破坏的病理状态。看看CT表现。
■ 吸烟导致的轻度肺气肿
男,32岁,16岁开始吸烟。

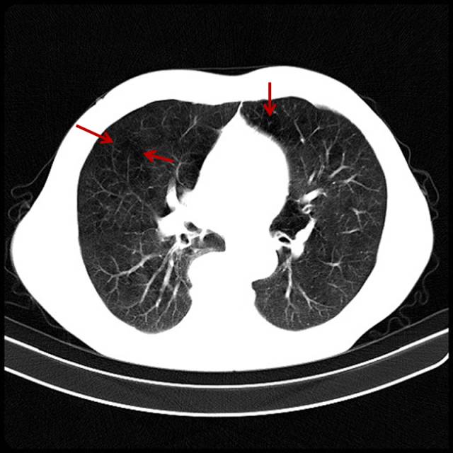
■吸烟导致的中度肺气肿
男,55岁,吸烟40年。

■吸烟导致的中重度肺气肿
男,65岁,咳嗽、气短、吸烟几十年。

■吸烟导致的重度肺气肿
男,72岁,吸烟史。

■吸烟导致的极重度肺气肿

■肺气肿伴肺大泡
男,78岁,吸烟史。

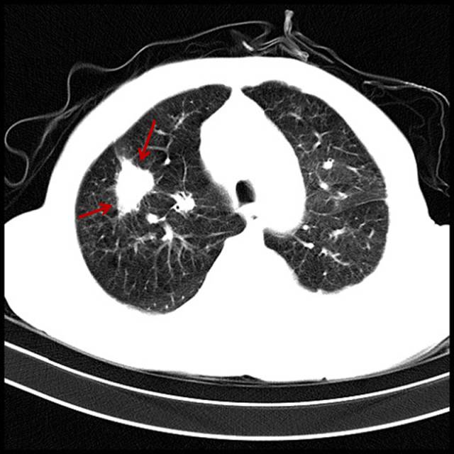
■吸烟的人合并肺结核
男,56岁,吸烟,陈旧性肺结核。

还有一部分吸烟者,从事的是接触粉尘的工作,如水泥、煤炭、室内装修等,肺部改变更是雪上加霜。
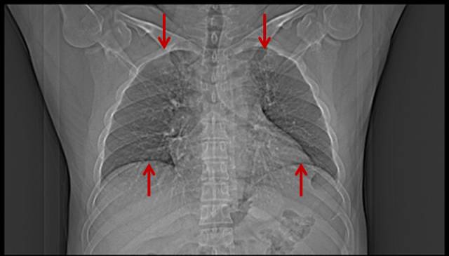
■肥胖体型吸烟者肺部改变
1.肥胖体型的吸烟者,因为腹部堆积大量的脂肪把膈肌抬高,如果用X线平片判断有无肺气肿,会直接漏掉。
男,46岁,16岁开始吸烟。


2.吸烟导致的肺坠积效应
男,35岁,吸烟,最明显感觉是游泳憋气困难。

■吸烟导致肺癌
男,79岁,吸烟。

微细结构
那么吸烟为什么会导致这些改变呢?我来简述一下。
我们先看看肺泡结构:


吸入氧气、排出二氧化碳,这种气体交换是肺最重要的功能。正常成人肺的换气面积是100平方米。正常静息状态下,1/3的肺就足够了。
烟草中的焦油、尼古丁和氢氰酸等化学物质具有多种损伤效应,如损伤气道上皮细胞和纤毛运动,使气道净化能力下降;使自由基产生增多,诱导中性粒细胞释放蛋白酶,破坏肺弹力纤维,诱发肺气肿形成。
当吸烟导致细支气管炎、细支气管狭窄时,吸气时气体尚可进入,呼气时由于气道狭窄、肺弹力减弱,导致肺泡残气量增加,肺泡压力增大、破裂、融合,就形成了我们在CT上看到的无肺纹区、肺大泡。肺泡及毛细血管大量丧失,弥散面积减少。通气与血流比例失调与弥散障碍共同作用,导致换气功能发生障碍。病理改变是一个相当长的过程,有点像温水煮青蛙。
因此吸烟所致的轻、中度肺气肿和肺坠积效应患者,不会引起重视。发展到肺换气面积不足1/3时,意识到吸烟的危害时,谁都无能为力了。
空气污染、雾霾、职业粉尘、化工气体刺激等都可以导致肺部病变, 国家正在采取一系列行之有效的措施,大家共同“享受”环境因素。但吸烟完全是人为因素。
为什么吸烟这么难禁止呢?主要原因是吸烟已经成为一种习惯,可自愿选择的不良习惯。全世界都在吸烟,全世界都在提倡戒烟,公共场合、机关单位、办公大楼到处张贴着中英文标识的禁止吸烟,到底有多少作用呢?有多少人不吸烟?有多少人不接触二手烟?真希望出现无烟家庭、无烟单位、无烟村、无烟城市、无烟国评比活动。从道德层面加以约束,因为就目前而言,尚不在法律的范畴。
在临床工作中,我所见到的吸烟者,已经出现气短症状者、发展到肺癌者,无不后悔不已,这才是悔之晚矣!对于没有明显症状的吸烟者,即亚临床患者,虽然也知道吸烟不好,但很难上升到理性认识。
然而,吸烟的人只要看到自己肺部的改变,通过我的耐心讲解,一般都能主动戒烟,真有点不见棺材不落泪啊。所以我把吸烟者肺部的各种“丑态”展现在这里,希望能给吸烟的你起到一定的警示作用。
祝你戒烟成功!
参考文献:
[1] 内科学第八版
[2] 生理学第八版
本文来源:医学界呼吸频道
本文作者:陈彦芳
责任编辑:施小雅
版权申明
本文原创 转载请联系授权
- End -
原标题:《惊悚!吸烟肺的“众生相”,看了再也不敢吸烟了......》
本文为澎湃号作者或机构在澎湃新闻上传并发布,仅代表该作者或机构观点,不代表澎湃新闻的观点或立场,澎湃新闻仅提供信息发布平台。申请澎湃号请用电脑访问http://renzheng.thepaper.cn。





- 报料热线: 021-962866
- 报料邮箱: news@thepaper.cn
互联网新闻信息服务许可证:31120170006
增值电信业务经营许可证:沪B2-2017116
© 2014-2026 上海东方报业有限公司




