- +1
透明隔腔、透明隔腔增宽、透明隔囊肿、五脑室、六脑室如何区别?
原创 唐伟 徐绍武 医学界神经病学频道

在解剖与影像中我们常见到透明隔腔、透明隔腔增宽、透明隔囊肿、五脑室、六脑室描述,不少临床医生很懵,那该如何区别呢?
1
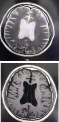
透明隔腔
透明隔是两侧侧脑室中间的间隔,由两层垂直分割的薄板组成。在胎儿四个月时原始透明隔内形成一个中缝,然后发展为分离的两个小叶,两小叶之间的间隙即透明隔腔(cavum septum pellucidum,CSP)。
腔的前上方为胼胝体,后下方为穹隆。侧壁即透明隔小叶。透明隔腔≤3mm,描述可见透明隔腔,诊断甚至可不写。

2
透明隔腔增宽
透明隔腔≥3mm,直径<10mm,描述可见透明隔腔增宽,透明隔的两壁呈前后平行排列,边界清晰,或内凹,对周围组织无压迫,为正常生理变异,临床无症状。透明隔腔≥10mm,描述可见透明隔腔明显增宽。


3
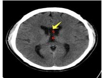
透明隔囊肿
若两侧侧脑室间的含液结构的两侧壁向两侧弯曲膨隆,且两侧壁向外凸,椭圆形或球形,有张力感,向周围组织膨出,可有组织压迫,前后不是正常的平行状态,且侧壁间的距离≥10mm,则可成立透明隔囊肿诊断。
年龄≤3~6月,尤其是新生儿,描述可见透明隔腔,慎报透明隔囊肿。
透明隔囊肿可能引起室间孔狭窄导致脑积水,或因压迫周围神经结构引起而出现临床症状。透明隔囊肿最常见的症状是间歇性头痛或伴有呕吐,晕厥,推测是由于松弛的透明隔囊肿的囊壁随体位变动,突然阻塞短暂的室间孔引起。

4
第五、六脑室
国内将透明隔腔亦称第五脑室;Vergae腔或称穹隆腔,亦称第六脑室;透明隔腔不属于脑室系统,因为它不具备脑室的组织结构特征,内壁并未衬有室管膜细胞,内含有的液体也与通常的脑室系统不同,腔内的脑脊液通过透明隔膜过滤和隔膜静脉及毛细血管重吸收。

我们临床医生阅片要注意:透明隔腔多为生理性的,多无临床症状,而透明隔囊肿多为病理性的,过一段时间可能出现临床症状,甚至要手术治疗。
参考文献:
1. 燕声美,李家传.透明隔囊肿致精神障碍一例.1998,4:251.
2.王锐,刘伟,曾林.中国神经精神疾病杂志.2005,31(6): 408 .

本文作者:大连大学附属新华医院 唐伟 徐绍武
责任编辑:章丽
原标题:《透明隔腔、透明隔腔增宽、透明隔囊肿、五脑室、六脑室如何区别?》
本文为澎湃号作者或机构在澎湃新闻上传并发布,仅代表该作者或机构观点,不代表澎湃新闻的观点或立场,澎湃新闻仅提供信息发布平台。申请澎湃号请用电脑访问http://renzheng.thepaper.cn。





- 报料热线: 021-962866
- 报料邮箱: news@thepaper.cn
互联网新闻信息服务许可证:31120170006
增值电信业务经营许可证:沪B2-2017116
© 2014-2026 上海东方报业有限公司




