- +1
痛风只痛“脚”?这个患者手痛、腹痛、皮肤痛......
原创 徐悦萌 吴振彪

多么“痛”的领悟!
编者按
4.20全民关注痛风日后,“医学界风湿与肾病频道”与空军军医大学西京医院临床免疫科共同推出的“抗击痛风,我们在行动”主题活动仍在继续,将继续发布西京医院临床免疫科医生的诊疗经验分享、专家见解,旨在普及科学知识、助力痛风规范化诊治,敬请关注!
本期是空军军医大学西京医院临床免疫科徐悦萌医生整理的一则典型痛风病例,由吴振彪教授精彩点评,不妨先睹为快!
大家都知道痛风发作首先是脚痛(双足第1跖趾关节红肿热痛多见),殊不知这位痛风患者的人生却有三大“痛”——脚痛、腹痛、皮肤痛,这是怎么回事呢?

一“痛”——脚痛
1998
患者胡XX,男,55岁,饮酒后突发左足第1跖趾关节红肿热痛,48-72小时内可缓解,未在意。后反复发作,一般1-2次/年。
2008
渐累及右足跖趾关节、双踝、双手掌指、近端指间关节;1-2月/次非甾体类抗炎药止痛治疗,效果欠佳。

关节肿痛加重,四肢多发皮下结节,双足皮肤反复破溃;查血尿酸700umol/L,诊断“痛风”,未规律诊治。

第二“痛”——皮肤痛
2017.12
再发左足关节红肿热痛伴破溃,伴豆腐渣样物质流出;当地医院予“激素、别嘌醇”治疗,症状缓解。
2018.1
渐出现头皮、颜面部、背部、四肢红色充血性皮疹;伴咳嗽、咳黄痰,无发热。

四肢、背部多发皮疹伴破溃结痂,局部疼痛明显。

第三“痛”——腹痛
追问病史,上腹部隐痛5年,进食后加重,伴反酸、烧心,无呕血、便血、黑便,服用非甾体类抗炎药后缓解,未在意。
▎辅助检查
常规
血常规:WBC 10.26×109/L,NEU% 0.849,HGB 85g/L;
尿常规:蛋白定性1+;
便常规:潜血可疑阳性;
NT-proBNP:540.70pg/ml。
生化
肾功:UA 507umol/L,CRE 251umol/L;
血脂:TG 2.64mmol/L,LDL-C 5.71mmol/L;
糖化血红蛋白:7.1%。
炎症
血沉:66mm/h;C-反应蛋白:17.50mg/dl;
自身抗体系列:ANA 1:100;
抗CCP、抗MCV、抗AKA均阴性。
感染
PCT:0.294ng/ml;T-SPOT、G试验、GM试验阴性;
痰涂片:少量G-细杆菌;痰培养正常;
皮肤分泌物涂片:少量G+球菌;
皮肤分泌物培养:金黄色葡萄球菌,非MRSA。

双腕、手及双足部分关节周围可见软组织不对称结节肿胀,密度稍增高;部分关节面下及边缘见部分囊状、穿凿样骨质破坏。


胃镜:多发性胃溃疡(A2期);反流性食管炎Grade A(LA分级);萎缩性胃炎伴糜烂。
4
病例总结及分析
病例特点:
中年男性,慢性病程;
以跖趾关节发作性红肿热痛为首发临床表现,伴多发皮下结节及皮肤破溃;
血尿酸控制不佳,血肌酐升高;
影像学检查符合典型“痛风”改变;
既往曾反复腹痛,胃镜提示多发“胃溃疡”;
近期服用“别嘌醇”后出现多发皮疹、皮肤破溃。
疼痛原因:
脚痛:痛风长期控制不佳,造成关节侵蚀、破坏;
腹痛:长期服用非甾体类抗炎药引起多发胃溃疡;
皮肤痛:别嘌醇过敏?Steven-JohnSon综合征?
进一步检查
别嘌醇基因位点:
133HLA-B*5801:阳性;51HLA-B*5801:阳性
甲强龙80mg/d×5天→甲强龙40mg/d→全身皮疹明显消退
5
最终诊断及治疗
诊断:
痛风
过敏性皮炎
肾功能不全
皮肤感染
胃溃疡
贫血(中度)
2型糖尿病
高脂血症
治疗:
生活方式教育
甲泼尼龙8mg/d
非布司他40mg/d
秋水仙碱0.5mg bid
抗感染、护胃、降糖、降脂等对症支持治疗
预后:
关节肿痛明显缓解
择期行关节镜手术切除痛风结节
经验总结
对痛风患者加强随访及健康宣教,告知其长期治疗必要性及不规范治疗可能造成的风险;
治疗过程中应密切注意药物相关副作用。
吴振彪教授点评
痛风是近年来发病率越来越高,危害越来越大,而患者依从性差的慢性疾病。该病例是我国目前痛风患者诊治现状的一个典型缩影。
患者反复发作关节肿痛,逐渐出现结节,畸形,破溃,尿酸显著增高,长达17年未曾正规治疗及干预。提示一旦出现典型的突发关节红肿痛,功能障碍,尤其是第一趾跖关节,有明确诱因,就要高度警惕痛风,患者要及时到风湿科就诊,接诊医生要进行诊断痛风的相关检查,尽早确诊,及早治疗,长程管理,才能改善预后。
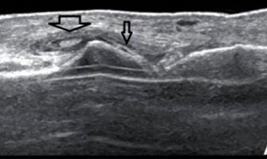
影像学检查对诊断痛风,评价病情有很大帮助,该患者双源CT,超声及X线均显示典型痛风改变,临床医生应合理应用这些敏感特意的影像学手段诊断、管理痛风。
降尿酸治疗是痛风长期管理的关键,只有长期尿酸达标,才能减少发作,控制病情。尽管别嘌呤醇是国际指南推荐的降尿酸药首选药,但是亚洲人群部分患者会出现严重过敏反应,尤其是HLA-B5801阳性者,一旦出现,危及生命,需早期诊断,及时治疗,该例患者在服别嘌呤醇后出现严重皮肤反应,疼痛,溃烂,医生诊断及时,治疗得当,度过危险,提示我国患者在选用别嘌呤醇前一定要仔细排查有无风险,尽可能查HLA-B5801。
痛风患者由于经常自行服用多种非甾体抗炎药,胃肠道损伤风险高,易于发生消化道出血,该患者腹痛,便潜血阳性,及时发现诊断消化道溃疡,避免了进一步伤害。
该病例选取典型,有代表性,展现了痛风患者病史演变的经典历程,诊治过程显示了医生对痛风的理解及诊治水平,昭示了痛风要早期诊断,长程管理,达标治疗的重要性。患者已经发生消化溃疡出血,糖皮质激素有潜在风险,避免长期大剂量使用。
专家简介

西京医院临床免疫科主任医师、教授,博士研究生导师
中华医学会风湿免疫分会委员
中国医师协会风湿免疫专科分会常委
中国医师学会风湿免疫分会血管炎组副组长
陕西省医师协会风湿免疫科医师分会候任主委
海峡两岸交流协会风湿免疫分会常委
海峡两岸交流协会风湿免疫分会血管炎专业组副主委
陕西省医学会风湿病学分会副主任委员
本文首发:医学界风湿与肾病频道
本文作者:徐悦萌医生 空军军医大学西京医院
本文点评:吴振彪教授 空军军医大学西京医院
责任编辑:风禾
版权申明
本文原创 如需转载请联系授权
原标题:《痛风只痛“脚”,你太天真了!这个患者手痛、腹痛、皮肤痛......》
本文为澎湃号作者或机构在澎湃新闻上传并发布,仅代表该作者或机构观点,不代表澎湃新闻的观点或立场,澎湃新闻仅提供信息发布平台。申请澎湃号请用电脑访问http://renzheng.thepaper.cn。





- 报料热线: 021-962866
- 报料邮箱: news@thepaper.cn
互联网新闻信息服务许可证:31120170006
增值电信业务经营许可证:沪B2-2017116
© 2014-2026 上海东方报业有限公司




