- +1
穿越的肿瘤细胞
原创 申芳芳 赵倩倩等 检验医学网
作者:申芳芳 赵倩倩 弓艳娥 王文娟
单位:山西省长治医学院附属和平医院检验科
穿越这个词大家并不陌生,那么这个肿瘤细胞是如何穿越了呢???请容我给大家细细讲来……
01
案例经过
一个风和日丽的下午,我正畅翔在微生物的海洋里不能自拔(本人从事微生物检验),一张腹水的抗酸染色涂片引起了我的注意,这张片子在低倍镜下就看到细胞大小不等,于是转自高倍镜下果然看到了大量异常的“巨型细胞”,这些细胞跟平时的胸腹水抗酸染色涂片的正常中性粒细胞和淋巴细胞有本质的区别,无论从形态、体积、细胞核和染色质均有“肿瘤”的特点。好吧,我承认这些细胞将我带跑偏了(人家申请的是抗酸染色涂片),还是先把我的本职工作继续做完:要知道,肿瘤的患者也可能合并结核感染,我仔细阅片后没有看到抗酸阳性的菌体。
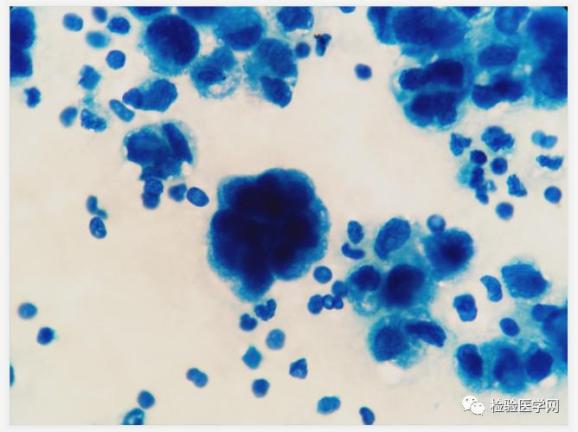
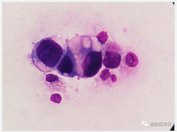
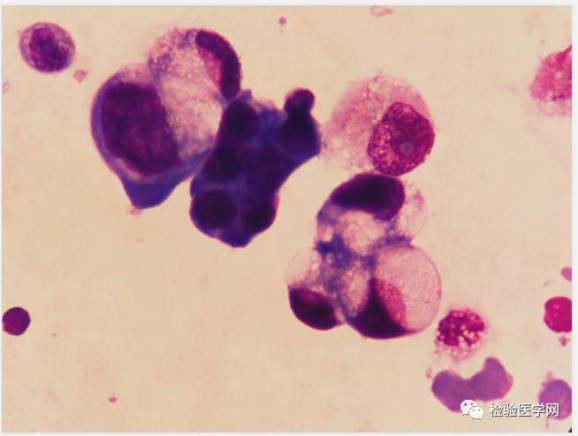
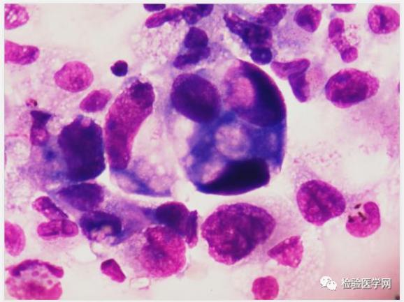
带着疑问,我立刻查阅患者的其他检查,发现他同时申请了腹水的细胞形态学检查(属于体液组的检验项目),于是迫不及待的把图片发给体液组的同事确认,结果她比我还“兴奋”,我们一拍即合,一不做二不休,赶紧将患者的腹水涂片进行吉姆萨染色,在镜下查阅细胞后,果真发现了大量异型细胞,高度怀疑是“肿瘤”细胞。以下是该患者腹水抗酸染色和吉姆萨染色的镜下形态:







左右滑动查看更多
瑞吉染镜检可见成堆或散在的异常细胞,该类细胞,胞体增大,不规则,核大,圆形或类圆形,染色质疏松,胞浆量丰富(云雾状或泡沫样改变),深蓝色。根据吴茅老师的“三大畸形”理论,高度可疑“肿瘤”细胞。
了解到病人基本情况后,再结合肿瘤细胞的形态学特点,体液组的同事高度怀疑这个“肿瘤”细胞原发灶为卵巢的可能性非常大!事不宜迟,立刻联系主管医生完善肿瘤的相关检查。
02
临床沟通
患者,女,65岁,为老年女性,以腹水待诊收住我院消化科,完善肿瘤相关检查:
1、妇科彩超示:盆腔肿物,考虑卵巢癌;
2、胸腹部增强CT示:
①符合肺动脉栓塞表现,心包横隔组淋巴结肿大;
②双侧附件区囊实性占位,子宫可疑占位;
③腹腔、盆腔积液,腹膜、大网膜转移,腹膜后淋巴结增大,提示转移。
肿瘤标志物CA125和CA199明显增高,最终患者肺栓塞、卵巢癌腹膜转移诊断明确。
03
心得体会
众所周知,肿瘤的关键在于早发现,早诊断,早治疗,因此我们不能放过可疑肿瘤的“蛛丝马迹”,求其是一些以大量腹水胸水为首发症状就诊的老年患者,在做胸腹水相关检测时我们更应该警惕肿瘤的可能性,如果发现可疑“肿瘤”细胞,应及时跟临床沟通,尽快完善肿瘤相关检查,避免漏诊误诊,虽然病理结果是诊断肿瘤的金标准,但是我们站在检验的角度作为一个肿瘤患者早期的“吹哨人”,相信意义也是不容小觑。
同时作为一名检验人,随着工作年限的增加,越发觉得:虽然我们平时的工作有明确的分工,但很多意想不到结果,都是源于各个专业组的“多管闲事”,发现与本专业组“无关”的异常现象及时向相应的组室反馈,往往能够起到事半功倍的效果,为患者明确诊断争取更多的时间,减少不必要的浪费。这样对我们检验人就提出了更高的要求,既要做技术过硬的“专业人才”,又要做知识全面的“全能人才”,这样才能适应检验医学的发展趋势,更好的为临床和患者服务,没有最好只有更好,让我们一起努力吧!!!
【参考文献】
《浆膜积液细胞图谱新解及病理分析》主编:吴茅;副主编:黄斌伦周永列吴怡春,人民卫生出版社
编辑:Bling 审校:Rose
本文为澎湃号作者或机构在澎湃新闻上传并发布,仅代表该作者或机构观点,不代表澎湃新闻的观点或立场,澎湃新闻仅提供信息发布平台。申请澎湃号请用电脑访问http://renzheng.thepaper.cn。





- 报料热线: 021-962866
- 报料邮箱: news@thepaper.cn
互联网新闻信息服务许可证:31120170006
增值电信业务经营许可证:沪B2-2017116
© 2014-2026 上海东方报业有限公司




