- +1
不明原因视力下降,需警惕脑肿瘤
原创 夏成雨 好大夫

在神经外科临床工作中,经常会遇到颅内鞍区肿瘤导致视力下降的病人,这些病人在疾病早期经常未被重视,延误了早期诊断,常等到出现头痛甚至昏迷等更严重的症状时才就医。
当发生视力下降时,有些患者以为自己是年龄偏大“老化”引起的,还有近视的患者以为“近视度数加深”引起的,有些患者虽去医院就诊了,但在眼科检查未发现异常而被延误。

自我检查方法:捂住一只眼,会发现另外一只眼的外侧看不见,靠近鼻子那一侧能看见。男性同时可有性功能下降,如阳痿等。
对于不明原因引起的视力下降,应及时到医院就诊,如果眼科诊治无好转,或原因不明确者,应常规行鞍区头颅磁共振检查。
为大家分享3个临床案例,希望引起大家的重视!
01
“因头痛昏迷检查,发现肿瘤”
王先生,60岁,近半年来出现视物模糊,一直未被重视,直到头痛接近昏迷才检查,被发现鞍区巨大垂体瘤,此时手术创伤大,而且风险极高。
如果早期发现,可以接受创伤小的经鼻部手术切除,该患者因肿瘤巨大,只能颅骨打开手术,手术风险很大。

幸运的是这位患者顺利的度过了手术等难关,目前恢复良好。
术后一月患者尿量稍多,不需要服用防止尿崩药物,口服强的松及优甲乐替代治疗,复查血电解质正常,甲状腺功能检查基本正常。

02
“因车祸才拍片检查,发现肿瘤”
李先生4年多前就开始视力下降,曾在外院检查未作磁共振检查,未能发现病因,未引起重视。
直到车祸后头颅ct偶然发现该肿瘤,此时视力已经严重下降。
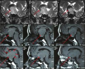
磁共振检查证实为鞍结节脑膜瘤,左侧视神经受压严重,术中发现已经萎缩。

肿瘤同时包绕重要的动脉血管,手术难度及风险加大,不容易切除彻底。
经过手术,肿瘤顺利全切,右眼视力好转,但左眼视力因神经长期受压萎缩严重难以恢复。
03
“拖延就诊直至几乎失明才就诊”
下面这位患者由于早期没有及时就诊,垂体瘤巨大导致脑积水,发生意识不太清楚,双眼几乎失明才就诊。
巨大肿瘤经努力顺利全切,遗憾的是病人术后在肿瘤腔以外的地方发生广泛性脑出血,进一步导致脑肿胀发生死亡。

这样的肿瘤又不能只切除一部分,因为只切除一部分,同样也会发生出血,并且残余的肿瘤组织更容易出血。
因此及时就诊,早期发现是最关键的。
本文为澎湃号作者或机构在澎湃新闻上传并发布,仅代表该作者或机构观点,不代表澎湃新闻的观点或立场,澎湃新闻仅提供信息发布平台。申请澎湃号请用电脑访问http://renzheng.thepaper.cn。





- 报料热线: 021-962866
- 报料邮箱: news@thepaper.cn
互联网新闻信息服务许可证:31120170006
增值电信业务经营许可证:沪B2-2017116
© 2014-2026 上海东方报业有限公司




