- +1
27岁月经乱了,FSH两次升高,我卵巢早衰了吗?
彩虹猫66 付虹大夫
作者:付虹
更多女性保健知识,请关注公众号“付虹大夫”,搜索关键词如“子宫肌瘤”、“腺肌病”、“备孕”、“痛经”、“胎停育”、“月经推迟”、“不孕”、“肺炎”等,看看推文,仍有疑问可以后台留言咨询。
生殖内分泌门诊,27岁的涓涓体型苗条,面容姣好,只是神色忧郁。

仔细了解,我知道了涓涓平素月经规律,最近两年月经周期30~45天来一次,经期7天,重度痛经,需要止痛针止痛。有性生活史,没有怀过孕。

去年11月27日,涓涓查的性激素中:FSH(促卵泡激素):10.40IU/L,PRL(催乳素):36.9ng/ml,20天前复查FSH(促卵泡激素):10.10IU/L,PRL(催乳素):15.2ng/ml(正常)。


有的朋友会单纯发过来一个数值问付虹医生是否正常,女生要知道除了在月经周期的不同阶段激素的数值的正常范围不同外,其中雌二醇:1 pg/ml =3.67pmol/L,孕酮:1 ng/ml =3.18 nmol/L,它们的单位也是不同的哦!
其中卵泡雌激素(FSH)有啥用?有大用!FSH生理作用促进卵泡成熟及分泌雌激素。而卵泡长好了,女生的月经才会正常。

如果FSH>10 IU/L,也就是涓涓的情况,或者FSH/LH(黄体生成素)>3,提示卵巢功能下降,FSH/LH<1,于是有可能排卵不规律。
两次PRL>25ng/mL,提示高泌乳素血症。涓涓PRL第一次>25 ng/mL,第二次复查PRL<25 ng/mL,属于正常。
睾酮(T)>正常值高线,提示高雄激素血症;T接近正常值低限,提示卵巢功能下降。
我们常说的卵巢功能,其实是指卵巢储备功能,是决定着女生生育成功与否的关键因素。

春去秋来,伴随着女生年华的老去,卵巢功能也从“黄金年华”迈向“黄昏”,因为年龄是影响女性卵巢储备功能的重要因素,35岁以上女生的卵巢储备功能下降,生育能力也逐年下降。具体而言就是卵泡的数量急剧下降,卵母细胞的质量下降,出现卵子细胞核异常,其颗粒细胞的增殖率也下降,凋亡率同时升高,黄素化颗粒细胞经培养后产生的激素水平也急剧下降。

卵巢储备功能低下者的生育能力低下,其自然受孕的概率自然低,尤其是FSH>20U/L者,自然受孕的机会<2%-5%。针对这种情况,医生一般建议女生积极助孕。
卵巢储备功能低下所带来的主要问题是生育问题,“生娃要趁早”,因此妇产科医生经常苦口婆心的劝每位女生适龄结婚和适龄生育。最好在30岁左右完成个人的婚育问题,最晚不要超过35岁。
如何判断自己是否出现卵巢储备功能低下了呢?
涓涓说的没错,性激素是其中的一项检查,除了性激素六项,还有AMH或超声检测窦卵泡发育情况等。
女生自测最简单的方法是月经周期变化。绝大多数女生的月经周期为28-30天,如果突然出现个人的月经周期缩短,比如28天缩短成23天,32天缩短成27天,这往往提示卵巢功能开始走下坡路。
我国正常女性的绝经年龄如果是50岁,多在40岁时开始出现相对自己的月经周期的缩短。没有生育要求,40岁以上的女生出现月经周期缩短,也无需紧张,动态观察即可。

建议您医院就诊进行相关检查。一旦证实卵巢储备功能开始下降,就要尽快开始试孕,或者在医生的指导下积极助孕治疗。
性激素的化验我们前文说过测定时间为月经的第2-4天,其中基础FSH水平升高提示卵巢储备功能下降。
1. FSH水平<10IU/L为正常,可能为卵巢正常反应;FSH>10~15IU/L,预示卵巢低反应;FSH>20IU/L,为卵巢早衰隐匿期,预示着1年后可能闭经。

基础E2水平升高早于基础FSH水平的升高,E2>80pg/ml,提示卵巢反应性降低,功能下降,随着年龄及卵巢功能衰竭,就会出现高FSH、LH,低E2的状态。
所以,在评估卵巢功能时需要结合基础雌激素、基础卵泡刺激素、基础促黄体生成素综合做出判断。

AMH比FSH、AFC和INHB更能准确反映卵巢生殖功能的下降。AMH水平较为恒定,可以在月经任何一个阶段进行测定。
3. B超:临床医生可以通过超声检测卵巢体积、基础窦卵泡数目(AFC)、卵巢动脉血流来评估卵巢储备功能,其中基础状态(月经第2~3天)的卵巢体积变小与卵巢储备的原始卵泡减少、卵泡生长的数目少有关。
窦卵泡数AFC减少,窦卵泡指早卵泡期直径2~9mm的卵泡,通常认为双侧卵巢窦卵泡数合计少于5~7个提示卵巢储备功能下降。

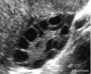
对于涓涓2次化验FSH轻度升高的情况,付虹医生目前的带教老师刘教授建议她再做盆腔B超检查一下窦卵泡数AFC,以及基础抗苗勒管激素(AMH)水平,综合判断卵巢功能。
做B超检查我们看到,涓涓的窦卵泡数AFC,左侧卵巢4-6mm的卵泡10个,右侧卵巢4-6mm的卵泡8个,属于正常状态。
我告诉涓涓可以放松心情,不必纠结单纯的FSH轻度升高。从涓涓目前的化验结果分析,她还不会出现卵巢早衰。
对于目前涓涓的月经周期≥35天,这属于月经稀发,容易出现稀发排卵。我建议涓涓距下次月经5-9天抽血化验孕激素(P),看有无排卵。血孕酮>15.6nmol/L,提示有排卵。还有涓涓的痛经严重,需要抽血化验血清CA125排除是否子宫内膜异位症引起的继发性痛经。
“付医生,您这么说我的心情好多了,我还想知道,哪些情况会导致卵巢功能减退?我在平时的工作和生活中如何预防卵巢功能减退呢?”涓涓的眉头不再解锁,高兴的问我。
我告诉娟娟,影响卵巢功能因素主要有:

2.医源性因素:如输卵管、卵巢等部位的手术。化疗、局部放疗。
3. 不良的生活方式,比如长期熬夜、生活节奏不规律等,都会对卵巢功能产生很大的影响。
4. 基因突变
5. 其他原因,比如心理精神因素也会影响卵巢功能。
如何预防卵巢减退?在生活中女生需要做到以下几点:

2.坚持运动,避免久坐久站。
3.规律作息,避免熬夜。
4、情绪平和,远离焦虑和抑郁。

花开的时候最珍贵,
花落的时候就枯萎。
希望我们都可以通过自身的努力,
让我们的花期开得更长一些!
本文为澎湃号作者或机构在澎湃新闻上传并发布,仅代表该作者或机构观点,不代表澎湃新闻的观点或立场,澎湃新闻仅提供信息发布平台。申请澎湃号请用电脑访问http://renzheng.thepaper.cn。





- 报料热线: 021-962866
- 报料邮箱: news@thepaper.cn
互联网新闻信息服务许可证:31120170006
增值电信业务经营许可证:沪B2-2017116
© 2014-2026 上海东方报业有限公司




