- +1
别把崴脚不当回事,做好四不要四要,远离崴脚后遗症
原创 掌健识 上海市医学会健康科普基地


其实,崴脚不可怕,怕的是崴脚后处理不得当,加上缺少正确治疗、康复和防护观念。急性崴脚很有可能演变为以脚踝反复崴伤(踝关节不稳定)和慢性疼痛为代表的后遗症,严重影响日常生活,更不要说重返运动了。
壹
下面四种错误做法,一定要避免。
1、不固定
踝关节的扭伤一般都是内翻的损伤,90%是外侧的韧带出现了撕裂、断裂或者外踝撕脱骨折,从而导致脚踝内外侧解剖稳定机制失衡,常有人认为使用外固定(石膏、护踝、弹力绑带)的方法非常麻烦,影响正常的行走、工作、学习、生活,所以不愿意固定。这可能给崴脚带来了潜在的后遗症。

2、不注意休息
大多数人认为崴脚之后休息与否无所谓。由于基本的踝部骨性结构尚完整因此仍能下地负重行走,“有点不方便,但熬一熬、忍一忍还行!”,不影响正常生活。实则不然,休息是踝关节韧带及周围软组织恢复最重要的一个环节,崴脚后3-5天内(急性期)应该少走路(适当制动),这样有利于局部软组织得到尽快的消肿和早期的修复。如果继续无保护下随便走路,踝关节随意的活动,受到不正常的应力影响,不利于局部软组织的恢复和韧带的解剖学位置稳定,更不利于肿胀的消退,长时间下去也会加重外踝软组织的炎性反应,导致滑膜增生,损害关节稳定性,导致韧带拉长和松弛。

3、立刻热敷
当崴脚之后脚踝出现软组织、韧带撕裂、疼痛肿胀、毛细血管会破裂,增加血液、组织液的渗出,局部可能会出现疼痛和肿胀,并会慢慢的加重。有人会认为崴脚之后应热敷,以便活血化瘀,实际上,热敷会增加局部的血管扩张,增加渗液和出血,从而加剧肿胀和疼痛。

4、不爱看医生
一部分的人认为崴脚只是微不足道的损伤,根本不用去医院,由此往往会延误最佳的治疗时间。特别是当存在骨折时,如果早期没有得到正确的治疗,那么可能会给骨关节恢复埋下了慢性损伤的隐患。

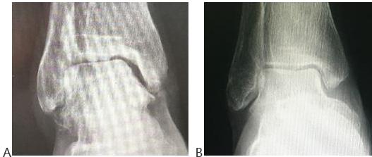
■ 图B:同样是50多岁的踝关节。正常健康的踝关节结构,关节间隙对称,无痛,活动自如,力线正常,良好负重。
贰
崴脚后光靠养是不行的,需要积极地做康复训练。
崴脚后正确而及时的处理【可以参考POLICE原则:Protect(保护),Optimal loading(适当应力),Ice(冰敷),Compression(加压包扎),Elevation(抬高患肢)】,这样的处理有助于减轻炎症反应,在经过一段时候修养,炎症会慢慢消退,淤紫肿胀自然减轻,你会发现疼痛减轻,但仍有可能存在,行走也不方便,走路一簸一簸的。如何尽早的恢复运动状态,是患者、医师、康复师共同期待的目标。
经过了一段时间(3-6周)养伤,炎症的确是减轻了,但往往会遗留那么一点肿和痛,需要指出的是脚踝的灵活性、稳定性、力量有时难以通过简单养好,在评估没有关键骨性结构损伤后,你还需要进行有恰当防护和指导的康复训练,这样才能更大程度、更快的恢复踝关节的正常运动功能,让你完全康复,重返运动。
脚踝康复应当按照恢复活动度--恢复力量--恢复平衡能力--运动防护的顺序进行。
1、关节活动度训练
动作①:牵拉小腿浅层腓肠肌


动作①:提踵练习



动作①:静态平衡一级难度--睁眼双手侧平举单脚站立,目标60秒
动作②:静态平衡二级难度--睁眼双手抱胸前单脚站立,目标45秒
动作③:静态平衡三级难度--闭眼双手侧平举单脚站立,目标30秒
动作④:静态平衡四级难度--闭眼双手抱胸前单脚站立,目标20秒
4、运动防护
运动防护,要注意在早期恢复期(3-6月内),尽量佩戴护踝进行下肢的运动训练。同时应避免足踝部的复杂运动和高风险运动。可以在跑步机上有计划的循序渐进负重行走,逐步开展适度的上下坡训练(护踝保护下)。
崴脚不能“小看”。一来是不能轻视,要重视;二来不能简单处理,需要专业系统诊治康复。
(图片源于网络)
供稿:上海市医学会骨科专科分会足踝学组
作者:干耀恺 史定伟(上海市医学会骨科专科分会足踝学组副组长,上海交通大学医学院附属第九人民医院骨科)
审核:马 昕 上海市医学会骨科专科分会足踝学组组长

本文为澎湃号作者或机构在澎湃新闻上传并发布,仅代表该作者或机构观点,不代表澎湃新闻的观点或立场,澎湃新闻仅提供信息发布平台。申请澎湃号请用电脑访问http://renzheng.thepaper.cn。





- 报料热线: 021-962866
- 报料邮箱: news@thepaper.cn
互联网新闻信息服务许可证:31120170006
增值电信业务经营许可证:沪B2-2017116
© 2014-2026 上海东方报业有限公司




