- +1
游泳突发呼吸困难,这个病千万不能拖
原创 Dr Monkey 医学界呼吸频道

近期,《医学界呼吸频道》推送《以为孩子只是站在水里,其实他正在死去!》该文后,反响热烈。除了溺水之外,有些人在游泳时或游泳后会出现了咳嗽、呼吸困难、喘息等表现。
是对水的恐惧,
还是对体能的挑战?
是无病呻吟,
还是确有其病?
让我们通过一个病例来一探究竟!
病例介绍
患者55岁,女性,业余铁人三项运动员。(是条汉子!)
既往抑郁症病史,规律口服西酞普兰(抗抑郁药)30 mg qd。
2月前静息状态下偶感心悸,心电图、超声心动、心肌灌注扫描、24小时动态心电图均未见显著异常。
患者1年前开始开放水域游泳训练,无不适,且运动耐量良好(42.2 km马拉松用时4小时45分钟,开放水域1500 m游泳用时40分钟)。
患者就诊前在淡水湖(水温17 ℃)中游泳,至150 m时出现呼吸困难,并逐渐加重。但无胸痛、无呛水,休息后可缓解。
生命体征:SPO2 88%,呼吸频率(RR)18次/分,血压(BP)150/90 mmHg,心率(HR)88次/分。
体格检查:颈静脉正常,双肺中野粗湿啰音,未及心脏杂音,双下肢不肿。
辅助检查:
动脉血气(FiO2 0.21):PO2 76.5mmHg;
血常规、电解质、肾功能正常;
心肌肌钙蛋白I(cTnI)0.39 ng/mL;D-二聚体(D-dimer)1740 ng/mL;
心电图(ECG):III导联T波倒置(图1);

超声心动图(UCG):左室肥厚,左室射血分数(LVEF)>55%;
冠脉造影:正常;
胸片正常;
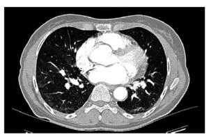
肺动脉CT血管造影技术(CTPA):未见肺栓塞征象,双肺轻度磨玻璃影,感染或肺水肿可能(图2)。

治疗:静脉注射40 mg速尿,鼻导管吸氧后患者症状缓解,SPO2升至99%。
2个月后这位女汉子再次尝试去开放水域游泳。

即刻就医后予静脉注射速尿。
复查冠脉造影、心脏MRI均正常,除外心肌病及心肌梗死。
最终诊断为游泳相关肺水肿。
之后,患者也没有再去开放水域中游泳,也未再发作呼吸困难。
游泳相关肺水肿
病如其名,游泳相关肺水肿(swimming-induced pulmonary edema, SIPE)常发生于潜水或游泳等水上运动过程中或运动结束后,主要临床表现为急性发作的呼吸困难、咳嗽、咳泡沫样痰、咯血,无溺水或吸水。
查体可见肺水肿体征,胸部影像学可见肺水肿征象。
当身体浸入水中,外周血管收缩,血液向中心血管重新分布,心脏前后负荷增加,肺血管压力增加,最终导致肺水肿发生。
加重外周血管收缩或心脏前后负荷增加的因素均为SIPE的危险因素,例如老年人、女性、罹患基础心肺疾病、肥胖、摄入水量过多、应用鱼油、高强度运动、水压高(开放水域)、水温低、潜水服等。
一旦发生SIPE,应立即停止游泳,常规治疗措施为吸氧及利尿,上述症状及体征常在24-48小时内迅速缓解,并不遗留并发症。
虽然全世界在开放水域中游泳的人越来越多,但通过上述病例可以看出,游泳相关肺水肿仍然不易识别与诊断,甚至会危及生命。
近期,一篇于CHEST上发表的文章显示,在2018年和2019年瑞典最大的开放水域游泳比赛中,共有17904人在寒冷的水域中游泳1000 m、1500 m或3000 m。

结果发现,SpO2≤95%和/或听诊湿啰音对于LUS诊断肺水肿的敏感性高达97%,两者结合阳性预测值高达99%。上述病例即符合该研究结果。对SIPE的识别及诊断具有重要意义。
目前,我国针对SIPE尚无相关报道及研究。如何更好的预防、识别、诊断及治疗SIPE需要得到更多的关注。
参考文献:
[1] R.Smith, D.Brooke, C.Kipps, et al. A case of recurrent swimming-induced pulmonary edema in a triathlete: the need for awareness. Scand J Med Sci Spotrs, 2017, 1130-1135.
[2] Maria H, Claudia S, Linda K, et al. Swimming-Induced Pulmonary Edema - diagnostic criteria validated by lung ultrasound. https://doi.org/10.1016/j.chest.2020.04.028.
本文首发:医学界呼吸频道
本文作者:Dr Monkey
责任编辑:施小雅
一周好文放送



呼
xi
吸
tie
铁
fen
粉
你有遇到过/身边的人心有余悸的游泳经历吗?

本文为澎湃号作者或机构在澎湃新闻上传并发布,仅代表该作者或机构观点,不代表澎湃新闻的观点或立场,澎湃新闻仅提供信息发布平台。申请澎湃号请用电脑访问http://renzheng.thepaper.cn。





- 报料热线: 021-962866
- 报料邮箱: news@thepaper.cn
互联网新闻信息服务许可证:31120170006
增值电信业务经营许可证:沪B2-2017116
© 2014-2026 上海东方报业有限公司




