- +1
如何临床常规应用双能量CT?
原创 赵喜同学 XI区
大家好,欢迎大家访问XI区!
双能量CT(DECT),有时也称能谱CT,光谱CT,是一种先进的CT技术,分别获取高能和低能X射线数据,以便能够对表现出不同能量依赖性X射线吸收行为的物质进行材料表征应用。DECT支持各种在常规临床CT成像中增加价值的后处理应用,包括使用两种和三种材料分解算法,虚拟单能成像和其他材料表征技术的材料选择性和虚拟平扫图像。来自布列根和妇女医院,哈佛大学医学院,拉希医院和医疗中心,塔夫茨大学医学院以及西门子医疗的学者发表文章,讨论了双能量CT临床常规应用的价值,今天我们一块来学习一下。
Sodickson A D , Keraliya A , Czakowski B , et al. Dual energy CT in clinical routine: how it works and how it adds value[J]. Emergency Radiology, 2020(552).
双能量CT的原理
传统的CT使用单一的x射线能谱获取数据,并创建患者体内组织x射线衰减的横截面图。CT值以Hounsfield单位(HU)测量,取决于体素的线性衰减系数,而体素的线性衰减系数又取决于材料的质量衰减系数和材料的密度。这使得传统的CT成像无法确定具有相似整体衰减的体素内的物质成分,即使所含物质非常不同(例如碘与钙)。
了解峰值千伏(kVp)和千电子伏特(keV)之间的区别是很重要的。回顾术语,kVp是指施加在x射线管的阴极和阳极之间的峰值千伏。
电子通过这个电压差被加速,对于120kVp扫描,可以获得最大120keV的动能。当这些电子撞击阳极时,这种动能被转换成x射线光子和热,从而产生多色x射线光谱,其最大x射线能量为120keV,x射线能量的广泛分布于低于此最大能量的范围。目前用于临床的CT扫描仪都是利用这种多色x射线光谱进行图像采集的。
由于光电吸收和康普顿散射的特殊组合,不同材料表现出不同的能量依赖性x射线吸收行为。康普顿散射在很大程度上依赖于电子密度,而不依赖于原子序数。相反,光电效应随原子序数的增加而增加。
在光电效应中,x射线被吸收并从最内层的k壳层中射出一个电子。这导致随着x射线能量增加到k壳层结合能以上,x射线吸收大幅度增加。碘的k-edge能量(略低于x射线光谱的平均能量)位置良好,这使得它不仅是一种有效的CT对比剂,而且还是DECT应用的主要目标,因为随着x射线能量的降低,光电效应导致更大的相对衰减。
图1显示了不同材料的特征x射线吸收行为与x射线的关系能量。为了区分使用DECT的材料,必须满足以下基本条件:(1)材料必须具有本质上不同的x射线吸收行为,作为x射线能量的函数,(2)必须有足够的“光谱分离”所获得的高能量和低能量数据,以揭示这些潜在的差异。

CT制造商开发了不同的方法来获取DECT应用所需的高能量和低能量数据。本文中使用的示例是在双源SOMATOM Definition Flash扫描仪(Siemens Healthcare, Forchheim, Germany)上创建的,因为这是我们在急诊放射科中安装的扫描仪。双源双能扫描仪包含两个x射线管和匹配的探测器阵列。一只球管以70-100的低kVp运行,另一只球管以140-150的高kVp运行,并添加锡滤过。Tin滤波器减少了高能谱的低能部分,从而减少了与低能谱的重叠,以改善能谱分离和双能结果。西门子还开发了单源双能扫描仪,通过在z方向用锡过滤一半x射线锥束(以减少光谱的低能部分)和另一半用金过滤(以减少光谱的高能部分)来实现光谱分离。通用电气(GE Healthcare,Waukesha,Wisconsin)能谱CT扫描仪使用单个x射线管和探测器阵列,并使用快速kV切换设备,在80至140 kVp之间切换,每次机架旋转大约切换1000次。飞利浦光谱扫描仪(Philips Healthcare,Andover,MA)采用基于探测器的光谱分离策略,使用双层探测器,其中内层优先捕获低能x射线,外层优先记录剩余的高能x射线。虽然这些方法之间存在着巨大的差异,而且每种方法都有自己的优点和挑战,但所有这些策略都成功地获得了双能后处理应用所需的成对高能和低能x射线吸收数据(更多信息参见:)。
辐射剂量考量
一个常见的误解是DECT需要两倍于常规扫描的剂量,因为需要在两个不同的能级上获取数据。实际上,所有制造商都采用将总辐射剂量分为高能量和低能量成分的方法,从而使总剂量等于或经常低于常规扫描的剂量。这些高端CT扫描仪大多还包含先进的辐射剂量减少和图像质量优化工具,如果使用得当,这些工具可以在低辐射剂量下获得优异的图像质量。
双能CT后处理技术
大多数制造商通过高能量和低能量数据的适当组合生成“常规”图像。它们与放射科医生所习惯的图像外观非常吻合。此外,还有多种不同的DECT后处理技术,每种技术都旨在完成不同的材料分离或表征任务。
双物质鉴别
在两种材料分解算法中,假设图像中的所有内容都由一个基对中两种材料的不同比例组成。这些对具有根本不同的依赖于能量的x射线吸收行为,常用的基物质对包括碘/水和光电效应/康普顿散射。然后,这两种材料分解算法计算出每种成分的相对贡献,这些成分预计会产生在所获得的数据中观察到的相同x射线吸收。例如,所得到的互补图像可以表示为“无水碘图”和“无碘水图”。除碘和水以外的其他物质仍然分解为这两个基对,其结果是,例如,钙的衰减大约分布在碘和水的图像贡献之间的一半。
虚拟单能成像
在这些应用中,高能量和低能量数据的测量衰减通过基对的适当线性组合进行组合,以计算如果患者可以使用单一keV能量的纯单能X射线源照射,预期的图像外观。模拟的低keV虚拟单能(VME)图像强调了碘的x射线衰减,并可用于在碘增强的基础上更好地显示组织间的图像对比度。这种方法被广泛应用于优化胰腺肿块和低对比度肝脏病变的可视化,以及描述头颈部肿瘤对甲状腺软骨的侵犯。低keV图像也增加了血管增强,并已被用于挽救CTA检查的图像质量,或创造良好的CTA图像质量,以及对肾功能不良的患者减少对比剂负荷。高keV图像可用于去除碘的大部分增强,以模拟非对比增强图像。高keV图像也被用于DECT金属伪影减少,特别是矫形外科应用。它们在CTA中用于金属伪影的减少,但受到高keV下碘衰减同时丢失的挑战。根据我们的经验,金属伪影的减少通常可以通过制造商的各种基于投影域的金属伪影减少技术来更为可靠地完成。
三物质分解
三种材料分解技术通常用于材料量化和创建材料选择图像,特别是碘或钙。该算法依赖于三种材料的已知x射线吸收特性来量化每种材料的贡献,这些贡献将解释在所获得的低能量和高能数据内观察到的x射线吸收。图2演示了在碘的情况下这是如何工作的。碘覆盖图像(其中彩色编码的碘含量覆盖在灰度VNC图像之上)和匹配的VNC图像已经成为我们在急诊室进行的所有腹部和骨盆CT增强扫描的DECT自动后处理的主要内容。

许多研究已经将VNC图像与传统的非对比度图像进行了比较。他们通常发现在测量的HU值和可比较的信噪比以及对比度噪声比方面存在微小差异,支持在多期CT协议中使用VNC图像来替代附加的非对比度采集,从而减少辐射剂量。
基于碘的三种物质分解算法被广泛应用于腹部和骨盆的病变检测和表征,胸部的肺栓塞评估,以及神经介入术后颅内碘渗出与出血的鉴别。
钙基三种物质分解最常用于骨髓水肿的应用:虚拟去钙(VNCa)图像去除骨髓腔内骨小梁的衰减,从而评估潜在的骨髓水肿、出血或其他软组织。钙覆盖和VNCa图像也被证明在非对比剂头部CT检查中有助于区分钙化和出血。
二元材料鉴别和去除应用
这些应用程序用于根据特定材料的特征x射线吸收行为选择性地识别、显示或移除特定材料。
在痛风应用中,尿酸沉积被选择性地识别和显示,以实现非侵入性诊断,并通过量化尿酸盐随时间变化的量来监测治疗反应。
肾结石的特征化算法根据结石位于(钙)上方或(尿酸)下方的位置来区分钙结石和尿酸结石。这是一条分离线,将这些材料的双能比平分。这可能有助于鉴别尿酸结石,尿酸结石可以通过碱化尿液进行溶出治疗。
骨去除算法的工作原理是识别和消除钙体素信号。这允许在CTA应用中进行强有力的骨去除,也可用于帮助识别颅骨下的细微病理学改变。
双能CT在临床常规应用中的附加价值
以下各节重点介绍双能CT提供的附加信息内容在临床上可以增加价值的领域,并简要回顾相关文献。这些广泛类别中的许多临床益处是重叠的,因此不止一个可能适用于给定的临床方案。
检测:双能量CT使我们能够识别在常规CT成像上不可见或难以检测的病理
低对比度肝、脾、胰腺病变的检出率
DECT碘选择性显像和低keV虚拟单能显像基于碘含量的差异增加了微小病变的可见性,即使它们在常规显像中显示出相对于邻近实质的最小HU差异。这些技术也被证明有助于发现创伤性实质损伤。
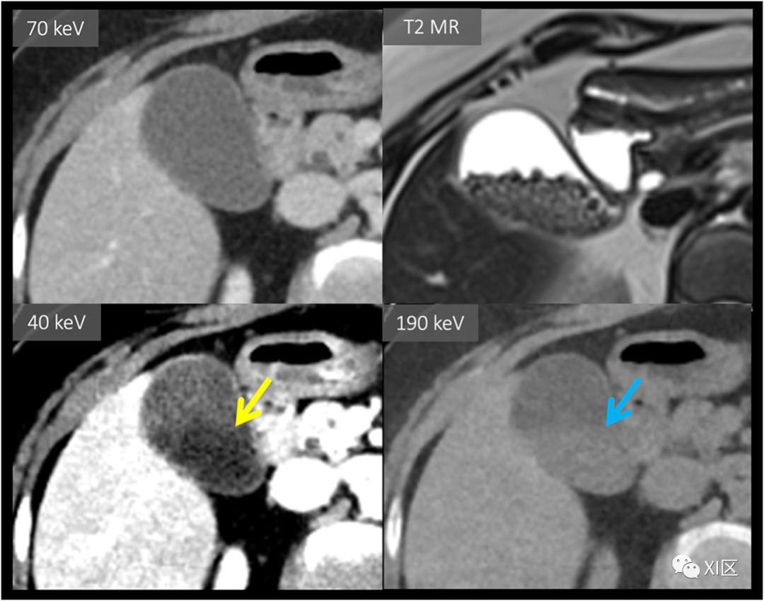
非钙化性胆结石的检测
虽然钙化的胆结石在常规CT上很容易看到,但非钙化的胆结石在常规影像上的衰减通常与周围胆汁非常相似。这些胆结石主要含有胆固醇,其行为类似于脂肪,其HU值在低keV时降低,在高keV时升高。图3展示了使用虚拟单能成像(VME)来改善这些胆结石的图像对比度,从而提高其可检测性。从康普顿和光电衰减系数在光谱探测器CT上分割的图像也被证明在检测等衰减胆石方面是可靠的。

骨髓水肿后处理在骨折检测中的应用
骨髓水肿和其他骨髓浸润的原因传统上是通过磁共振成像使用液体敏感序列,如STIR(Short Tau Inversion Recovery)。然而,通过消除骨小梁的混杂衰减,DECT虚拟的非钙性骨髓水肿后处理应用可以识别病理学,增加骨髓腔的衰减。在创伤环境中,如图4所示,骨髓腔内出现水肿或出血有助于检测其他细微或不移位的骨折线。对骨髓水肿分布的分析可以使骨折的非移位程度得到更完整的表征,从而改变患者的治疗决策模式,例如,通过使髋部骨折更准确地表征为粗隆间骨折,而不是孤立的大转子骨折。这些技术特别适用于通常由脂肪骨髓填充的大关节,如髋关节和膝关节。在脊柱中区分急性和慢性压缩性骨折也被证明是有益的。该应用也可用于在常规成像检测到溶解性或硬化性病灶之前,通过潜在转移早期检测软组织浸润。(更多内容参见:;)。

头颅平扫CT骨去除
我们发现DECT骨去除非常有价值,有助于检测颅骨下的细微病理学改变,特别是细微的硬膜下血肿。因此,我们所有的头颅平扫CT扫描都包括常规的自动DECT后处理,以便将轴位和冠状位骨去除图像发送到PACS。
特征:DECT提供了超出传统衰减值的关于材料成分的额外信息,使得无需额外成像就可以进一步特征化发现
碘的鉴别及组织增强的改进可视化
DECT能够通过其特征性的能量依赖性x射线吸收行为,在单对比度扫描后阶段确定碘含量。这可用于明确鉴别对比剂外渗与高密度血肿的区别。碘选择性后处理和VME成像都有助于鉴别组织强化。
碘与其它高密度材料的鉴别
图5显示了血管内支架植入术后血管内漏和动脉瘤壁钙化情况下,在单次造影后扫描阶段碘和钙的区别。必须重申的是,在碘的两种和三种物质分解算法中,除算法中特定目标之外的物质在碘选择性图像和虚拟平扫图像中都呈现出不同程度的变化。因此,并不是碘图上显示的所有东西都真正代表碘,必须与匹配的VNC图像进行比较:虽然碘从VNC图像中完全减去,但钙的衰减大约在碘和VNC图像之间的一半被分割。因此,我们的常规自动DECT后处理包括在轴位和冠状位上匹配碘覆盖图和VNC图像序列。

图6显示了胃肠道出血引起的腔内碘外渗与摄入的铋的区别,在叠加图像中,铋的颜色代码不是碘,而是纯粹出现在灰度VNC图像中。这种方法很容易使人将肠腔内的高密度物质定性为碘外渗,而不是摄入铋、钙或其他物质。应注意的是,由于钡和碘具有相似的原子序数和k边界,所以用DECT不能很容易地将它们与碘区分开来。

尿酸鉴定
DECT在痛风患者中检测尿酸单钠沉积,包括亚临床尿酸结晶沉积的患者中显示出良好的诊断性能。这使得痛风的非侵入性诊断、与包括脓毒症关节在内的其他病理学的鉴别以及通过跟踪治疗期间尿酸盐沉积量来监测痛风治疗反应成为可能。
肾结石成分特征
如上所述,由于这些材料的x射线吸收行为根本不同,钙基肾结石成分很容易与尿酸结石成分区分开来,如图1所示。这些信息可能有助于指导治疗,因为尿酸结石可以通过碱化尿液溶解,而钙结石则不能。DECT也可以定量混合成分肾结石中尿酸和非尿酸成分。对于输尿管平扫CT扫描,我们的常规DECT后处理包括轴位和冠状位结石叠加序列,其中钙以蓝色显示,尿酸以红色显示,以便直接进行二元分类(更多内容参见:)。
易于解释:DECT可以使成像更易于解释,既可以缩短解释时间,也可以提高诊断的可信度
头颈部CT血管造影中的骨去除
头颈部CTA是急诊科神经血管成像的主要手段,但由于其血管与颈椎和颅底的距离较近,使得这些区域的最大强度投影(MIP)图像非常有限,特别是与MR血管造影相比。通过选择性地消除特征为钙的体素的衰减,DECT骨去除图像可用于创建优秀的MIP或体积渲染图像,而无需额外的非对比度蒙片,该蒙片可增加辐射照射并产生可能阻碍骨去除的运动伪影。骨去除双能量CTA有利于颅内动脉瘤和狭窄的诊断。
肾损害评估与多囊肾
DECT碘选择性显像已被证明在根据病变内是否存在碘强化的基础上,有助于鉴别良性高密度囊肿和强化肾肿块。肾脏肿块评估通常包括多期肾脏肿块CT或MRI检查,包括平扫期、实质期和延迟期。由于扫描期相之间的错误配准限制了磁共振减影图像的应用,这些问题常常受到阻碍。然后,图像判读要求在手动放置的感兴趣区域中,在单独的、可能错误配准的扫描阶段对HU值(或MRI信号)进行比较。这对常染色体显性遗传性多囊肾病患者尤其具有挑战性,他们有更高的患肾细胞癌的风险,并且可能有比单纯液体衰减更高的多个病变。DECT可以简化多囊肾的评估,因为生成的碘含量本质上与VNC信息共同配准,如图7所示。这种方法已经被证明可以减少解释时间,并提高放射科医生对被评估的肾损伤中是否存在碘含量的信心。

预测:DECT信息可以提供预测信息,特别是与受影响组织中碘含量有关的信息
脑出血介入治疗后碘外渗及点征
碘选择性DECT应用可以很容易地将碘外渗与脑卒中和大血管阻塞的神经介入治疗后的新出血区分开来。碘图也有助于检测显示颅内出血的对比剂外渗,这是一个重要的预后指标,有助于指导决策是否需要紧急神经外科干预。
肺动脉栓塞的肺灌注血容量图
碘在整个肺中的分布已被证明有助于通过突出闭塞性栓塞远端的非强化区域来辅助小肺栓塞的检测。研究表明,非增强性肺体积可能是肺栓塞后的一个强有力的预后指标,并且可能有助于更好地将那些受益于溶栓或血栓切除术的患者分层。碘在肺内的分布也被发现有助于鉴别慢性血栓栓塞性肺动脉高压患者,他们可能受益于肺动脉内膜切除术。
肠道状况
DECT碘后处理有助于评估肠壁强化,特别是在肠缺血或肠梗阻相关损害的情况下,有助于识别肠壁缺失或差异性强化。如图8所示,当增厚的缺血肠壁包含出血时,这可能对常规成像特别具有挑战性,而出血可能被误认为是残余肠壁增强。碘图改善了细微增强差异的显著性,可能有助于早期识别和外科优先处理有风险的肠道。

胰腺炎与胰腺坏死的鉴别诊断
传统的影像学方法难以区分水肿性胰腺实质和早期坏死。图9展示了碘图在更好地识别胰腺坏死(急性胰腺炎的一个重要预后指标)方面的应用。DECT也可能有助于评估复杂的胰腺和胰周积液,以及胰腺炎的血管并发症。

扫描协议稳健性:DECT在常规成像中提供了额外的稳健性,使意外发现的特征更加完整,无需多期或后续成像,或在次优对比度增强后挽救血管评估
特别是在急诊室,对病人症状的最终诊断通常在扫描前是未知的,而且经常会遇到以前意想不到的发现。DECT能够更全面地描述病理学特征,使这些扫描更加有力。图10展示了一个这样的例子,在这个例子中,双能CT显示的碘含量使成像结果更加清晰。其他例子包括上面已经显示的许多病例,特别是那些通常可能受益于为解决问题而增加平扫或延迟CT扫描阶段,或通过其他成像方式进行最终评估的病例。

通过使用低keV-VME图像来挽救次优对比剂团注后的血管图像质量,协议也可以变得更加稳健。这尤其有助于提高临界的CT血管造影质量,改善CT肺血管造影中的次优增强(如在怀孕、短暂的造影中断或其他有限的造影剂注射时所见),或澄清未经优化的检查中潜在的静脉血栓形成。
缩短住院时间:DECT可以减少患者在急诊室进行随访成像的需要,特别是在区分颅内钙化和潜在出血时
广义地说,任何能够在最初的影像检查中作出更具体诊断的应用,都有可能通过消除对随后的明确影像检查的需要而缩短急诊室或住院时间。
颅内钙化与出血的鉴别
急诊室的一个常见情况是在非创伤性头颅CT上遇到不确定的高密度病灶,不能确定为急性出血或慢性钙化。在这种情况下,通常在延迟6小时后进行随后的头部CT扫描,或者在某些情况下可以进行MRI。这6小时的扫描经常显示出一个未改变的高密度病灶外观,可能为出血的病灶,虽然在没有先前比较影像学的情况下,仍无法明确诊断钙与出血。
尽管目前还没有FDA的批准,一种改进的三材料分解算法已经被发现可以生成彩色编码的钙覆盖图像和虚拟非钙(VNCa)图像,大大提高了鉴别颅内钙和出血的诊断准确率,并大大提高了放射科医生对此的信心评估。图11展示了这种技术。在许多情况下,当高密度的病灶可以被证明代表钙化时,通常的6小时随访CT扫描很容易被消除,有可能缩短急诊室的住院时间。

DECT代替MRI诊断骨髓水肿
在某些情况下,骨髓水肿应用程序可以通过允许使用CT而不是MRI进行更及时的诊断来缩短住院时间,因为CT通常更容易获得,并且需要更短的采集时间。有希望的例子包括使用DECT而不是MRI评估放射性隐匿性髋部或骨盆骨折,以及使用DECT评估年龄不确定的脊柱压缩骨折的新鲜程度。虽然在某些情况下,这种方法可能需要在成像评估的下一步中用DECT代替MRI,但在许多情况下,如多处创伤评估,CT已经作为初始评估的一部分进行,并且可以在不需要额外检查的情况下完成DECT更大的诊断确定性。
减少成像利用率和随访:DECT可以通过在最初检测时确定病理特征来减少对随访成像的需要
偶然性病变在常规腹部CT初始检查中是常见的,其原因与此无关。大多数常规的急诊科腹盆部CT检查都涉及一个门静脉期,这意味着许多偶然发现的病变在初次发现时不能完全表现出来。这通常会促使对后续成像提出建议,这会造成患者焦虑,可能会增加辐射剂量,增加下游资源利用率和医疗费用。在许多情况下,DECT能够全面描述偶发性病变,从而避免后续影像检查的需要。这对肾和肾上腺病变的评估尤其有希望。
辐射剂量减少:在传统的多期检查中,DECT可以用来消除额外的扫描阶段。它还可以消除额外扫描的辐射照射,而这些扫描可能是用来表征病变的
许多研究表明,通过消除传统多期扫描的平扫期,有助于辐射剂量减少。作为一个例子,传统的胃肠道出血CT协议通常包括平扫,然后是动脉和静脉期扫描。这表明了令人放心的稳定性,使非对比扫描能够在胃肠道出血扫描中常规消除,因为腔内碘含量可以很容易地使用碘和VNC图像进行评估,如图6所示。
事实上,也没有必要依靠碘外渗的大小和形态的暂时性变化来做出明确的诊断。这表明,传统的3期扫描可以被单静脉期DECT扫描所取代,只要在不确定出血源在动脉扫描时间上可见的情况下进行导管血管造影术就可以大大减少相关辐射剂量。
如前一节所述,DECT减少下游检测的机会也可以减少对患者的辐射暴露,特别是如果多期肾肿块方案或肾上腺排泄期CT扫描可以从一开始就明确描述偶然的肾或肾上腺病变而消除。
工作流程注意事项
虽然双能CT技术已经存在多年,但很少有机构利用这些工具来最大限度地发挥优势,这在很大程度上是由于将后处理应用于快节奏临床工作流程的历史挑战。传统的放射科医师或技术专家驱动的工作流程需要DECT后处理的用户交互,并且通常需要的额外3-5分钟在已经繁忙的实践中是不可行的。值得庆幸的是,近年来,CT制造商已经开发了各种方法来自动化常规DECT后处理,无需用户交互,无论是来自扫描仪控制台还是来自适当配置的瘦客户端服务器配置。在我们的实践中,这是在日常临床使用中实施该技术的改变游戏规则。可以生成PACS就绪的DECT图像系列,使配置的双能量数据易于解决问题,并利用本文中描述的值添加范围。
在我们的实践中,我们已经配置了扫描仪和后处理服务器,可以自动生成没有用户交互的标准图像集,并将这些附加图像系列传输到PACS。我们当前的后处理配置包括以下内容:
头部CT平扫:轴位和冠状位去骨图像。颜色编码的轴位钙覆盖和匹配的VNCa图像。
增强后(或脑卒中介入后)头部CT:彩色编码的轴位和冠状位碘覆盖和匹配的VNC图像。
腹盆部CT平扫:彩色编码的轴位和冠状位肾结石覆盖图像(钙与尿酸)。
对比增强的腹盆部CT:彩色编码的轴位和冠状位碘覆盖和匹配的VNC图像。
脊柱外伤和专用MSK扫描:与解剖相关的两个平面的彩色编码骨髓水肿虚拟去钙图像。
我们选择这些图像集进行常规自动后处理,因为我们发现它们对我们的常见场景最有用。但是,应该注意的是,本文中描述的许多附加价值用例可以通过替代后处理选择进行评估,其他用户可以根据图像外观,灰度与彩色图像的偏好以及CT制造商提供的功能。
最好对创建的附加系列数量进行选择,以避免放射科医师使用过多的附加图像系列。在大多数情况下,我们将这些附加系列视为解决问题的工具,除非我们认为有助于更好地表征在常规图像上识别出的潜在病理,否则不会定期检查所有附加图像系列。对于一些放射科医师来说,这种方法可能会引起人们对潜在的法医责任的担忧,特别是在属于“检测”类别的情况下,其中发现在常规成像中是不可见的,并且仅在后处理的图像系列中明显。我们已经从经验中吸取经验,在一些常见的“检测”情景中定期检查后处理图像,例如用于细微硬膜下血肿的骨去除头部CT,或用于评估任何疑似原发性或继发性病例的肠增强的碘覆盖图像肠缺血。
结论
双能CT提供广泛的应用,可以大大增强CT成像中可用的信息内容。这些应用已在所有器官系统和广泛的临床应用中证明了已证明的益处。如本文所述,这些技术可以多种方式应用,以增加我们患者的诊断和管理的临床价值。
全文编译自:Sodickson A D , Keraliya A , Czakowski B , et al. Dual energy CT in clinical routine: how it works and how it adds value[J]. Emergency Radiology, 2020(552).文章所述内容为原作者观点,仅用于专业人士交流目的,不作为商业用途。
2020年7月6日
原标题:《如何临床常规应用双能量CT?》
本文为澎湃号作者或机构在澎湃新闻上传并发布,仅代表该作者或机构观点,不代表澎湃新闻的观点或立场,澎湃新闻仅提供信息发布平台。申请澎湃号请用电脑访问http://renzheng.thepaper.cn。





- 报料热线: 021-962866
- 报料邮箱: news@thepaper.cn
互联网新闻信息服务许可证:31120170006
增值电信业务经营许可证:沪B2-2017116
© 2014-2026 上海东方报业有限公司




