- +1
发生低血糖?喂,“元凶”你可跑不了 | 大内“泌”探
原创 烟花 医学界内分泌频道

病例简介
患者男,48岁;
主诉:发作性出汗、心悸1年;
现病史:夜间、餐前发作出汗、心悸,伴有行为异常,发作时血糖1.8mmol/L,进食后可缓解;
既往:体健,无手术史、外伤史、输血史;
体查:体温 36.8℃,脉搏 78次/分,呼吸频率 20次/分,血压 136/70mmHg。心脏叩诊无异常,听诊心音无增强或减弱,未闻及病理性杂音。肺部呼吸音清,未闻及干湿性啰音及胸膜摩擦音。腹部平软,未触及包块,肝脾未触及肿大。
入院诊断:成人低血糖症
思路:该患者存在典型的Wipple三联症:
低血糖症状/体征:发作性出汗、心悸不适;
血糖水平低于2.8mmol/L;发作时血糖1.8mmol/L;
摄入碳水化合物后症状或体征缓解:进食缓解。
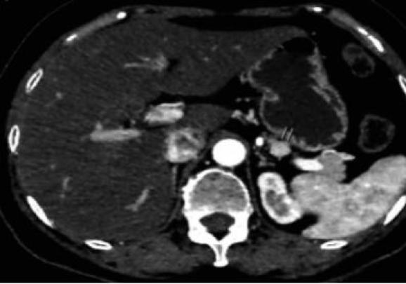
进一步完善实验室检查及影像学检查(表1,图1)后,我们依据2009年美国内分泌学会临床指南[2],从患者的症状、发作症状时的血糖、胰岛素、C肽、胰岛素原、β羟丁酸、使用胰高糖素后血糖上升的水平、以及是否使用降糖药物、胰岛素抗体等综合分析,修正诊断为:胰岛素瘤。该患者下一步治疗:评估手术条件,外科手术治疗。
表1 该患者实验室检查


表2 成人低血糖症的诊断

1. 典型的Wipple三联症(血浆葡萄糖<2.8mmol/L,神经缺糖表现,补充葡萄糖后症状立即消失);
2. 72小时禁食诱发低血糖发作;
3. 低血糖发作时血清胰岛素≥5mU/L(36pmol/L),C肽≥0.6ng/ml(0.2nmol/L),胰岛素/C肽比值<1.0,胰岛素原≥20pmol/L;
4. 排除磺脲类药物引起的低血糖症。
何为低血糖症?[1]
低血糖症是一组多种病因引起的以静脉血浆葡萄糖浓度过低,临床上以交感神经兴奋和脑细胞缺糖为主要特点的综合征。按照Wipple三联症,一般以静脉血浆葡萄糖浓度低于2.8mmol/L(50mg/dl)作为低血糖的标准。
发生低血糖,元凶是谁?
01. 了解血糖的来源与去路
人体血液循环中的葡萄糖有三种来源:
从我们日常进食的食物中消化获得葡萄糖;
人体的肝细胞可以储存葡萄糖,储存在肝细胞的葡萄糖称为肝糖原,在人体能量消耗时可以分解为血液循环中的葡萄糖;
人体内的非糖物质,如:蛋白质等,可以在人体能量大量消耗时转化为血液循环中的葡萄糖继续为人体供能。
那人体内的葡萄糖又是如何被消耗呢?
通过氧化分解转化为人体日常活动所消耗的能量;
一部分葡萄糖合成为糖原储存在细胞内:肝糖原可以逆向分解为葡萄糖继续供能;储存在肌细胞的肌糖原不可逆向分解为葡萄糖;
一部分葡萄糖在相应的酶作用下转换为非糖物质如蛋白质、脂质等储存起来;
当人体内葡萄糖过剩时,一部分葡萄糖还可转换为糖类衍生物;

02. 发生低血糖的病因有哪些?
相比起高血糖来说,低血糖要凶险很多,但低血糖发生时,大脑可能出现供能不足而致昏迷,重要脏器供能不足而致器官衰竭等,因此了解发生低血糖的病因、及时预防尤为重要。低血糖病因主要包括以下[2](表3):
(1)药物所致:如高血糖患者正在使用降糖药物或是胰岛素降糖,当药物过量时则很容易引发低血糖;
(2)消耗性疾病所致:一些严重的疾病可以导致低血糖,如肝衰竭、肾衰竭、心力衰竭等消耗性疾病可以极度消耗机体能量,使机体能量耗尽后发生低血糖;
(3)激素水平紊乱所致:一些升血糖的激素缺乏也可导致低血糖,如:皮质醇、胰高血糖素、肾上腺素等等;
(4)非胰岛细胞肿瘤所致:如类癌综合征的患者可以分泌一些激素降低血液循环中的葡萄糖导致低血糖;
(5)内源性高胰岛素血症所致:如胰岛素瘤、功能性β细胞异常(胰岛细胞增生)、胰岛素自身免疫性低血糖等;
(6)一些人为的低血糖等。
表3 成人低血糖的病因分类

根据2009年美国内分泌学会临床指南的低血糖病因诊断,我们进行以下简单了解。
01. 胰岛素瘤(Insulinoma)
约90%以上的胰岛素瘤为良性肿瘤,发生在胰头、体和尾部的各占1/3。肿瘤大多体积较小(82%<2cm,47%<1cm),不到10%的患者为恶性胰岛素瘤、多发性肿瘤,或为多发性内分泌腺瘤病1型[3]。胰岛素瘤具体定位的方法如下:
表4 胰岛素瘤的定位方法

2.1 非胰岛素瘤胰源性低血糖综合征(noninsulinoma pancreatogenous hypoglycaemia syndrome,NIPHS):
该病发病率远低于胰岛素瘤,影像学定位检查结果阴性,选择性动脉钙刺激试验可发现在胰腺不同区域发生胰岛素反应。最终的诊断依据为胰腺组织的病理切片示胰岛细胞弥漫性增生[4]。
2.2 胃旁路术后低血糖症(Post gastric bypass hypoglycemia,PGBH):
因肥胖症而接受Roux-en-Y胃旁路术的一些患者术后出现内源性高胰岛素血症性低血糖症,通常发生于餐后,可在减肥术后数月出现。发生机制复杂多样,既与幽门缺如、胃肠短路后排空过快有关,也与患者高胰岛素血症或异常的胃肠激素-胰岛素反馈机制有关。对饮食或药物治疗(如a-糖苷酶抑制剂、二氮嗪、奥曲肽等)无效的胰岛细胞增生患者,建议进行胰腺部分切除术[5]。
2.3 胰岛素自身免疫性低血糖:
胰岛素自身免疫性低血糖分为两种类型:一种是胰岛素自身免疫综合征(Insulin Autoimmune Syndrome,IAS),其特征在于高胰岛素血症性低血糖,胰岛素自身抗体(IAA)滴度升高,事先未接触外源胰岛素以及胰腺胰岛无病理异常。IAS低血糖发作呈自限性,82%不经治疗1年内自行缓解,但发作时多较严重且诊断困难[6]。
另一种是B型胰岛素抵抗综合征(Type B Insulin Resistance Syndrome ),这是一种罕见的自身免疫性疾病,由于存在胰岛素受体自身抗体(IRAb),导致葡萄糖稳态的异常范围广泛,从低血糖到极度胰岛素抵抗的高血糖[6]。
参考文献:
[1]Yates, A. Evaluation and management of adult hypoglycaemic disorders: an Endocrine Society Clinical Practice Guideline. J Annals of Clinical Biochemistry 2009, 46 (4), p.349.
[2]洪洁; 宁光. 成人低血糖症的诊断和治疗——美国内分泌学会临床指南. 中华内分泌代谢杂志 2009, 025 (4), 446.
[3]Okabayashi T, S. Y., Sumiyoshi T, et al. Diagnosis and management of insulinoma. World J Gastroenterol 2013, 19 (6), 8.
[4]Nadelson, J.; Epstein, A. A rare case of noninsulinoma pancreatogenous hypoglycemia syndrome. Case Rep Gastrointest Med 2012, 2012, 164305.
[5]Marzieh S , A. V., Tracey M L , et al. Hypoglycemia After Gastric Bypass Surgery: Current Concepts and Controversies[J]. The Journal of Clinical Endocrinology & Metabolism 2018, 8 (8), 8.
[6]Censi, S.; Mian, C.; Betterle, C. Insulin autoimmune syndrome: from diagnosis to clinical management. Annals of Translational Medicine 2018, 6 (17), 335.
本文首发丨医学界内分泌频道
本文作者丨烟花
本文审核 | 主治医生 徐乃佳
责任编辑丨Amelia
版权申明
本文原创 如需转载请联系授权
- End -
本文为澎湃号作者或机构在澎湃新闻上传并发布,仅代表该作者或机构观点,不代表澎湃新闻的观点或立场,澎湃新闻仅提供信息发布平台。申请澎湃号请用电脑访问http://renzheng.thepaper.cn。





- 报料热线: 021-962866
- 报料邮箱: news@thepaper.cn
互联网新闻信息服务许可证:31120170006
增值电信业务经营许可证:沪B2-2017116
© 2014-2026 上海东方报业有限公司




