- +1
宝宝“呛了点羊水”,为什么医生就下了病危通知?
原创 李月兰 医学界儿科频道

夜班凌晨,护士抱进来一个周身青紫的新生儿。
快速询问病史:胎龄40+1周,经阴道分娩,产前胎心减慢,羊水Ⅲ度粪染,生后哭声弱,肌张力低下,在产房进行胎粪吸引后,活力恢复,但肤色青紫,呼吸困难,呻吟……
看着周身被黄色胎粪附着的宝宝,首先考虑:胎粪吸入综合征(MAS)——这是一个很危重的疾病。


一旁患儿的爸爸已经紧张到额头冒汗,嘴里不停地询问:“大夫,孩子就是呛进去点羊水,怎么成这样了……”
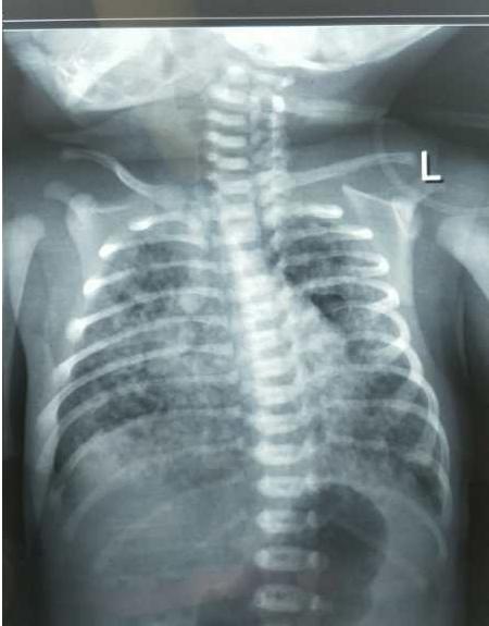
胸片显示双肺大量斑片状、粗颗粒状阴影伴肺气肿。结合病史,MAS诊断明确,随即进行插管、盐水气管内冲洗、滴入肺表面活性物质、上高频呼吸机等一系列急救处理。

MAS,或称为胎粪吸入性肺炎,是产前或产时发生的最常见的吸入性肺炎。由于胎儿在宫内排出胎粪污染羊水,宫内或产时吸入被胎粪污染的羊水而出现新生儿呼吸困难。
MAS多见于足月儿或过期产儿。
胎儿为什么会在妈妈肚子里排出胎粪呢?
胎粪排出(MSAF)在所有活产儿中约占12%,发生率随胎龄的增加而增加。
﹥42周:发生率﹥30% ;
﹤37周:发生率﹤2% ;
﹤34周:极少有胎粪排入羊水。
一般认为这是由于胎儿神经系统成熟,脐带挤压,短暂的副交感刺激以及胃肠道成熟而产生的一种自然现象。
MSAF曾经被认为是宫内窘迫的同义词,但临床较多胎儿有MSAF,并无宫内窘迫。目前多数观点认为:MSAF伴胎心异常是宫内窘迫和围产期出现并发症的标志。
而上文提及的这个宝宝在宫内就出现了胎心减慢、生后活力差,所以应该是在宫内就出现了缺氧的表现。
一旦吸入大量胎粪,宝宝很快就会出现气道机械性阻塞、化学性炎症和肺间质水肿、继发性肺表面活性物质灭活,这三个病理改变就是宝宝出现肤色青紫、呼吸困难的原因。

胎粪吸入,防胜于治。
若孕妈有胎盘功能不全、先兆子痫、高血压、慢性心肺疾病、过期产等情况,必须密切进行产程监护。
分娩中见胎粪污染羊水时,应在胎肩和胸尚未娩出前以洗耳球清理鼻腔和口咽部胎粪,在气道胎粪清除前不应进行正压通气。
同时注意在娩出后评估新生儿是否有活力。
2015年美国新生儿复苏指南:不再推荐羊水胎粪污染时常规气管内吸引胎粪(无论有无活力)。
2016年中国新生儿复苏项目专家组提出的实施意见:当羊水粪染时,仍首先评估有无活力(无活力:肌张力低、无呼吸或喘息样呼吸、心率﹤100次/分,3项具备1项。),有活力时,继续初步复苏;无活力时,应在20秒内完成气管插管及用胎粪吸引管吸引胎粪。如不具备气管插管条件,而新生儿无活力时,应快速清理口鼻后尽快开始正压通气。

MAS的并发症,最严重的就是气漏和持续性肺动脉高压(PPHN)。
气漏:气胸、纵膈气肿、间质性肺气肿、气腹、心包积气、皮下气肿等。呼吸窘迫突然加重,伴有呼吸音减弱,应警惕气胸的发生。所有气漏的发生均起源于间质性肺气肿。
PPHN:生后肺血管阻力持续性增高,使由胎儿型循环过渡至成人型循环发生障碍,而引起的心房和(或)动脉导管水平血液右向左分流,临床出现严重低氧血症的症状。在MAS患儿中,约有1/3可并发不同程度的PPHN。
幸运的是,这位宝宝没有出现气漏,肺动脉高压经过积极治疗,逐渐好转。住院24天后,顺利出院。
下图是宝宝胸片的演变过程:

“呛羊水”并不是小事,准妈妈们要重视产检!同时,产儿科规范处理,是围产期保证宝宝健康的重要手段。
本文首发:医学界儿科频道
本文作者:李月兰 河北省保定第七医院新生儿科
原标题:《宝宝“呛了点羊水”,为什么医生就下了病危通知?》
本文为澎湃号作者或机构在澎湃新闻上传并发布,仅代表该作者或机构观点,不代表澎湃新闻的观点或立场,澎湃新闻仅提供信息发布平台。申请澎湃号请用电脑访问http://renzheng.thepaper.cn。





- 报料热线: 021-962866
- 报料邮箱: news@thepaper.cn
互联网新闻信息服务许可证:31120170006
增值电信业务经营许可证:沪B2-2017116
© 2014-2026 上海东方报业有限公司




