- +1
冠脉CTA检查前为什么要含服硝酸甘油?
原创 赵喜同学 XI区

什么是硝酸甘油?
硝酸甘油(Nitroglycerin)是直接的血管扩张剂,可直接松弛血管平滑肌特别是小血管平滑肌,使周围血管舒张,外周阻力减小,回心血量减少,心排出量降低,心脏负荷减轻,心肌氧耗量减少,因而心绞痛得到缓解。
此外,硝酸甘油尚能促进侧支循环的形成。舌下含服1片,2~3分钟即发挥作用,作用大约维持30分钟。
与有创冠状动脉造影类似,应在冠状动脉CTA前给予硝酸甘油,以实现冠状动脉扩张,并增强冠状动脉的评估。
Dewey M, Hoffmann H, Hamm B. Multislice CT coronary angiography: effect of sublingual nitroglycerine on the diameter of coronary arteries. RoFo. Fortschritte dem Geb Rontgenstrahlen Nukl. 2006;178(6):600e604.
Decramer I, Vanhoenacker PK, Sarno G, et al. Effects of sublingual nitroglycerin on coronary lumen diameter and number of visualized septal branches on 64-MDCT angiography. AJR Am J Roentgenol. 2008;190(1):219e225.

关于硝酸甘油扩张血管的研究,最早可以追溯到上世纪80年代初。学者研究发现,狭窄程度不同的冠脉血管在使用硝酸甘油后的扩张程度不同。

Brown B G , Bolson E , Petersen R B , et al. The mechanisms of nitroglycerin action: stenosis vasodilatation as a major component of the drug response[J]. Circulation, 1981, 64(6):1089-1097.
为什么含硝酸甘油?
早期的临床实践中,并没有系统的研究支持硝酸甘油在心脏CT中的应用。然而,理论上,人们可能能够给予硝酸甘油以扩张冠状血管以获得更好的可视化,并抑制可能在CT血管造影中模拟狭窄的冠状动脉痉挛,特别是在年轻个体中。
U. Joseph Schoepf, Peter L. Zwerner, Giancarlo Savino, et al. Coronary CT angiography. Radiology, 2007.


M Dewey, H Hoffmann, B Hamm. Multislice CT coronary angiography: effect of sublingual nitroglycerine on the diameter of coronary arteries. Fortschr Röntgenstr[J]. RöFo - Fortschritte auf dem Gebiet der R, 2006, 178(6):600-4.

M Dewey, H Hoffmann, B Hamm. Multislice CT coronary angiography: effect of sublingual nitroglycerine on the diameter of coronary arteries. Fortschr Röntgenstr[J]. RöFo - Fortschritte auf dem Gebiet der R, 2006, 178(6):600-4.
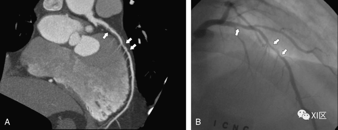
一些研究甚至发现,如果不使用硝酸甘油进行的冠脉CTA检查,有可能出现误诊,如下图的几个病例。

A、 未经硝酸甘油注射的MSCT显示RCA无明显明显狭窄。B、 常规冠状动脉造影显示RCA近端(如箭头所示)存在明显的狭窄,未使用硝酸甘油的MSCT未能发现。
Chun E J , Lee W , Choi Y H , et al. Effects of nitroglycerin on the diagnostic accuracy of electrocardiogram-gated coronary computed tomography angiography.[J]. Journal of Computer Assisted Tomography, 2008, 32(1):86-92.

Chun E J , Lee W , Choi Y H , et al. Effects of nitroglycerin on the diagnostic accuracy of electrocardiogram-gated coronary computed tomography angiography.[J]. Journal of Computer Assisted Tomography, 2008, 32(1):86-92.

Chun E J , Lee W , Choi Y H , et al. Effects of nitroglycerin on the diagnostic accuracy of electrocardiogram-gated coronary computed tomography angiography.[J]. Journal of Computer Assisted Tomography, 2008, 32(1):86-92.
一项系统评价研究中,在确定的217项研究中,有9项符合纳入标准:7项报告了硝化甘油对冠状动脉直径的影响,6项对可评价节段的影响,4项对图像质量的影响,5项对全身生理影响的研究,2项对诊断准确性的影响。舌下注射硝酸甘油可改善对更多冠状动脉节段的评价,尤其是在较小的冠状动脉分支,图像质量更好,诊断准确率提高。副作用轻微,无需医疗干预即可缓解。
这些研究证明,舌下硝酸甘油可改善冠状动脉的直径、可评价的节段数、图像质量和冠状动脉CT血管造影的诊断准确性,且无明显副作用或全身生理变化。
Takx RA, Sucha D, Park J, Leiner T, Hoffmann U. Sublingual nitroglycerin administration in coronary computed tomography angiography: a systematic review. Eur Radiol. 2015;25(12):3536e3542.
研究认为,含服硝酸甘油的冠脉CTA对于中度以上狭窄的诊断准确性,特异性,阳性预测值,阴性预测值更高。

Chun E J , Lee W , Choi Y H , et al. Effects of nitroglycerin on the diagnostic accuracy of electrocardiogram-gated coronary computed tomography angiography.[J]. Journal of Computer Assisted Tomography, 2008, 32(1):86-92.
怎么含硝酸甘油?
我们现在知道了,使用硝酸甘油的必要性,那么如何使用呢?
常用的方案是在冠状动脉CTA前5分钟,以舌下片剂或定量舌喷雾剂(通常为1-2片或1-2喷雾剂)的形式服用0.4-0.8mg舌下硝酸甘油,并优选0.8mg剂量和定量舌下喷雾剂。由于硝酸甘油的特殊药效学和时间依赖性,应在造影增强数据采集前大约5分钟服用,其血管舒张作用仅持续20-30分钟。
Laslett LJ, Baker L. Sublingual nitroglycerin administered by spray versus tablet: comparative timing of hemodynamic effects. Cardiology. 1990;77(4): 303e310.
Bachmann KF, Gansser RE. Nitroglycerin oral spray: evaluation of its coronary artery dilative action by quantitative angiography. Am J Cardiol. 1988;61(9): 7Ee11E.

Okada, M., Nakashima, Y., Nomura, T., Miura, T., Nao, T., Yoshimura, M., … Matsunaga, N. (2015). Coronary vasodilation by the use of sublingual nitroglycerin using 64-slice dual-source coronary computed tomography angiography. Journal of Cardiology, 65(3), 230–236. doi:10.1016/j.jjcc.2014.05.012
最近来自澳大利亚Alfred Hospital和Austin Health的学者发表文献,讨论了硝酸甘油的使用时机。
作者回顾性分析了两个历史组(第1组,在CCTA前2分钟单剂量硝酸甘油,第2组,在CCTA前10分钟单次给药)和当前方案组(第3组,在CCTA前2分钟和10分钟单次给药)。每组评估30名患者。两名盲法阅片医生通过直径测量的比较测量冠状动脉腔直径。第三位盲法阅片医生评估冠状动脉节段的图像质量。
研究发现,在中位管腔直径的组水平上存在显著差异。第2组比第1组直径增加0.40 mm(0.20,0.60)和第3组比第1组直径增加0.50 mm(0.30,0.70),第二组和第三组所有节段的中位直径(95%CI)较更高(均P<0.001)。第2组和第3组的管腔直径无明显差异。除第2组和第3组的远端LAD图像质量高于第1组外,各组间图像质量无显著差异。

结果表明,舌下硝酸甘油喷雾剂在10分钟内单次给药,比仅在CCTA前2分钟给药时扩张冠状动脉更大。在两次冠状动脉扩张前10分钟不需要再给药。
N. Kutaiba, M. Lukies, M. Galea, et al. The effects of sublingual nitroglycerin Administration in Coronary Computed Tomography Angiography, Clinical Imaging(2019), 60. 10.1016/j.clinimag.2019.11.019.

2016年SCCT的冠脉CTA指南中,推荐除非有禁忌症,否则应该常规使用硝酸甘油。
Abbara S , Blanke P , Maroules C D , et al. SCCT guidelines for the performance and acquisition of coronary computed tomographic angiography. Journal of Cardiovascular Computed Tomography, 2016:S1934592516302398.

什么情况不能含硝酸甘油?
使用硝酸甘油的禁忌症包括低血压,早期心肌梗塞,严重贫血,颅内压升高以及已知的对硝酸甘油过敏。硝酸盐可以降低血压,但如果没有严重低血压或伴随有包括严重主动脉狭窄在内的预负荷依赖性情况,则仰卧位被认为是安全的。
虽然硝化甘油可能通过其血管舒张作用引起暂时性头痛,但在冠状动脉CTA检查的患者中,硝化甘油通常是安全的,对最佳图像质量和准确性至关重要。
如果患者最近服用磷酸二酯酶抑制剂(如西地那非、伐地那或他达拉菲)治疗勃起功能障碍或肺动脉高压,则禁止使用硝酸甘油。
就像指南所说,在没有禁忌症的情况下,冠脉CTA还是要常规含服硝酸甘油哦。
2020年7月27日
原标题:《冠脉CTA检查前为什么要含服硝酸甘油?》
本文为澎湃号作者或机构在澎湃新闻上传并发布,仅代表该作者或机构观点,不代表澎湃新闻的观点或立场,澎湃新闻仅提供信息发布平台。申请澎湃号请用电脑访问http://renzheng.thepaper.cn。





- 报料热线: 021-962866
- 报料邮箱: news@thepaper.cn
互联网新闻信息服务许可证:31120170006
增值电信业务经营许可证:沪B2-2017116
© 2014-2026 上海东方报业有限公司




