- +1
这种“无痛性”主动脉夹层极易误诊,我差点就“中枪”了
原创 郑智 医学界心血管频道

本例要点
该患者以“突发偏瘫失语”为首发症状,并未表述胸痛症状而收治于神经内科,在进行颈部血管彩超检查时发现左颈总动脉夹层,经胸腹主动脉CTA确诊为A型主动脉夹层,累及左颈总动脉。
当主动脉夹层并非以“疼痛”为首发症状时,即无痛性主动脉夹层的诊断应该引起临床上的注意。
我是一名办公室职员,平时身体没有什么病。
一天晚上睡觉起来,我突然间觉得自己右手和右脚活动不了,而且想说话也说不出来。
我被家里人送到了医院,从右侧身体不能动和不能说话这个症状,医生很快诊断我是“脑梗”,而且头部CT很快证实了这个诊断(图1)。
我被安排到神经内科住院了。

在那里,我被安排了一系列神经系统方面的检查,其中包括了颈部血管彩超(图2)。
没想到,这个检查让神经内科的医生们紧张起来。

为了追溯左颈总动脉夹层的来源,是单发的颈动脉夹层,还是主动脉夹层影响到颈动脉?
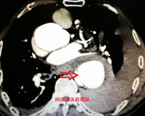
于是,胸腹主动脉CTA被安排(图3~5),结果显示夹层病变从升主动脉远端开始,累及到主动脉弓部,其中左颈总动脉及左锁骨下动脉均累及。



这下诊断终于清楚了,脑梗只是一个并发症而已,背后真正的疾病却是主动脉夹层。
虽然诊断搞清楚了,但问题来了,A型主动脉夹层与脑梗急性期相遇,前者需要紧急手术,后者是手术的相对禁忌征。如何选择?
鉴于患者脑梗病情稳定,血压控制良好及家属意愿,最终确立保守治疗,待稳定后再手术治疗主动脉夹层。期间复查头部CT,脑梗病灶还合并了少量出血(图6)。

平稳度过保守治疗期,我们设计了杂交手术的方式,从升主动脉接人工血管到头臂干动脉、左颈总动脉及左锁骨下动脉(去分支技术),同期行胸主动脉覆膜支架植入,覆盖主动脉弓上三大分支开口(图7、8)。


释放支架后再次主动脉造影,发现杂交手术重建的左颈总动脉血流仍不通畅,尝试取栓未成功,考虑远端血管堵塞(图9)。

术后第一天患者清醒拔呼吸机,术前脑梗症状并未加重。
术后进行康复治疗,患者右侧瘫痪肢体恢复部分活动与感觉,失语症状也好转,能简单进行交流。
出院前复查主动脉CTA(图10)显示杂交手术重建弓部分支血管正常(左颈总动脉仍不显影)。

这一特殊的病例,从脑梗发作到最终确诊主动脉夹层经历了2天时间。
患者没有胸痛症状,对于这一特殊类型的无痛性主动脉夹层,我们下面一起学习一下。
什么是无痛性主动脉夹层?
主动脉夹层是指人体最粗的大血管发生了撕裂,急性发病时主动脉血管内高压血流冲击血管内膜破口,产生强大的冲击力,将血管壁三层结构沿血管走行撕裂。这种撕裂产生的疼痛剧烈,患者常常形容像“撕心裂肺”般疼痛。
然而,临床上碰到少数主动脉夹层患者并没有“疼痛”的主述,或者疼痛的症状并不明显,称为“无痛性主动脉夹层”。
这类患者通常并没有第一时间被诊断清楚,而是在后续治疗中才明确主动脉夹层这个诊断的。
无痛性主动脉夹层真的不痛吗?
应该从下面三方面理解无痛性主动脉夹层到底“痛”还是“无痛”。
确实存在少部分主动脉夹层患者没有任何疼痛的症状;
另外有部分患者没有表现为胸痛症状,而是胸闷不适感;
其它症状明确,掩盖了疼痛这一症状;
出现脑血管意外(如脑梗、脑出血),昏迷或者失语,无法表达胸痛症状。
无痛性主动脉夹层为什么容易误诊?
急性胸痛(和/或胸背痛、腹痛)患者容易考虑到主动脉夹层的诊断,但没有疼痛症状,或者疼痛症状不明显,亦或者其它症状掩盖了疼痛症状。
这些情况下,首诊医生往往忽视了“痛”这个主动脉夹层的典型特征,而被其它别的症状所吸引,导致诊断方向的偏差,而产生漏诊、误诊。
产生漏诊、误诊的常见专科如神经内科,这部分患者通常既往有心脑血管病高危因素(如高血压、高血脂等),首诊症状主要为脑血管意外,如本例偏瘫失语,无胸痛症状或者无法表述胸痛症状。
还有部分患者出现同侧上下肢体麻木,并没有瘫痪,早期头部CT没有改变,但被神经科误认为脑梗早期,头部影像学检查阴性,甚至进行了溶栓治疗,但最终确诊主动脉夹层而夹层病变同时累及到左锁骨下动脉及左股动脉,造成疑似脑梗导致同侧上下肢受累的假象(图11)。

呼吸内科。这部分患者以“胸闷不适”为主述,由呼吸科首诊,通常为慢性夹层多见(图12)。

心血管内科。虽然是心血管系统,但患者却不是以“主动脉夹层”的首诊诊断收入而是以心衰为首发症状。
下面患者是一例以胸闷、心衰为首发症状,心脏彩超显示主动脉窦部扩张伴主动脉瓣关闭不全(图13)。由于主动脉窦部增宽,为了排除合并根部夹层,做了主动脉CTA,发现主动脉根部夹层(图14)。


总 结
主动脉夹层常见症状是疼痛,包括胸痛、背痛、腹痛等,但有部分患者可以没有疼痛,因此对于无痛性主动脉夹层,应该引起临床医生警惕,及早诊断才能不耽误病情,及早进行治疗。
99%的读者都看了↓↓↓
☑ ☑ 3位年轻人猝死,死神来了?
☑想找文章?点击下方输入关键字就可以啦↓↓↓↓
专家简介

郑智,华中科技大学同济医学院附属同济医院心脏大血管外科,副主任医师,德国法兰克福大学医学博士。美国心脏病学院(ACC)国际附属会员;国际血管联盟(IUA)中国分部胸主动脉专业委员会委员;亚洲心血管及胸腔外科学会(ASCVTS)成员;世界华人医师协会(WACD)会员;中国研究型医院学会血管医学专业委员会委员;中国医药教育协会胸痛专业委员会委员;提出A型主动脉夹层微创腔内治疗及“以医学人文关怀为导向”的主动脉夹层个体化治疗理念,倡导心血管急危重症救治中的“医学创新、人文创新、科普创新”,在国际期刊(SCI)及国内杂志发表医学论文三十余篇。
本文首发:医学界心血管频道
本文作者:郑智
责任编辑:董小雯
版权申明
本文原创 如需转载请联系授权
- End -
原标题:《这种“无痛性”主动脉夹层极易误诊!我差点就“中枪”了……》
本文为澎湃号作者或机构在澎湃新闻上传并发布,仅代表该作者或机构观点,不代表澎湃新闻的观点或立场,澎湃新闻仅提供信息发布平台。申请澎湃号请用电脑访问http://renzheng.thepaper.cn。





- 报料热线: 021-962866
- 报料邮箱: news@thepaper.cn
互联网新闻信息服务许可证:31120170006
增值电信业务经营许可证:沪B2-2017116
© 2014-2026 上海东方报业有限公司




