- +1
鱼刺卡喉后,他做了个开胸手术才取出来
原创 DingXiangYiSheng 丁香医生

早晨交班的时候,值班医生告诉他,凌晨来了一个患者,情况比较严重,今天需要尽快处理。
与此同时,重症医学科的主任魏捷也给他打来电话,通知他参加会诊,最好在 24 小时内手术。
两人说的是同一个患者。
黄杰没想到的是,这场聚集了 10 个科室、30 多位医生、耗时一整天的「生死急救」,竟始于患者一个小小的疏忽。

患者老林是半夜在儿子的陪同下来到急诊的。来这里之前,他已经跑了好多家医院。
老林今年 50 多岁,湖北咸宁人。两天前,家里吃了一次鱼,他不小心吞下一根鱼刺,卡在了喉咙里。
卡住后,他也没放在心上,只是按照土办法,吞了两口饭。
当时,他并没有感觉到什么不舒服,也就没当回事,还以为这根鱼刺已经像之前一样,随着饭团咽下去了。
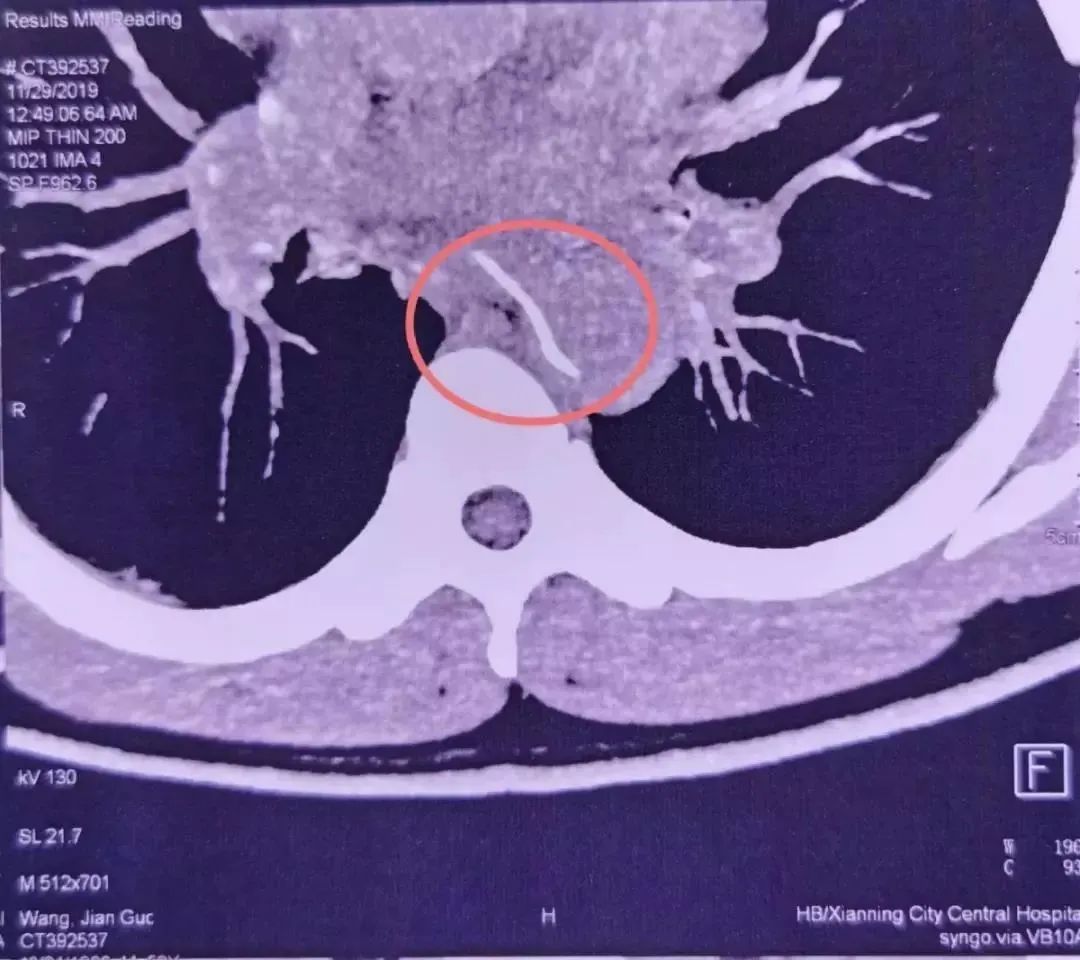
28 号这天,他突然感觉到剧烈胸痛,于是赶忙到咸宁当地的医院检查。医生很快安排了 CTA(CT 血管造影)。结果发现,一根鱼刺样的异物卡在了老林的食道内,并且已经刺穿了食道壁,扎进了胸主动脉。

胸主动脉是人体最粗大的动脉血管,血管压力很高,一旦形成破口,就会引发大出血,直接危及生命,甚至根本没有抢救的机会。

病情棘手,当地的医院不敢接收,建议老林赶紧到武汉治疗。因为情况过于凶险,武汉的几家医院也觉得难度过大,无法处理。
几经辗转,29 号凌晨,他来到了武汉大学人民医院。
第二天一大早,重症医学科的魏捷听值班医生报告了这个病例。她看到检查结果后,发现鱼刺像一把「弯刀」架在食道和主动脉之间,就像主动脉上突兀地长出了一根刺。
这根鱼刺就是老林体内的一颗定时炸弹,随时有可能发生「爆炸」,导致大出血,后果不堪设想。
老林必须尽快进行手术,取出鱼刺,防止情况进一步恶化。但如果盲目拔出鱼刺,很容易形成主动脉破口。
这就需要多个科室的专家协商确定手术方案。
慎重起见,魏捷将老林转入重症医学科,对他实施浅镇静,密切监护。同时,她第一时间呼叫了全院大会诊。

胸外科、心血管外科、耳鼻喉-头颈外科、消化内科、放射科、麻醉科……
10 个科室的 30 多位医生紧急聚集在一起,开启了一场「主动脉营救战」。
专家团讨论经过详细讨论,确定了微创取刺的手术方案:先由心血管外科的医生为老林植入一个主动脉覆膜支架,堵住因鱼刺造成的血管缺口,再由消化内科的医生尝试利用胃镜取刺。
手术前,老林在广东打工的爱人也赶到武汉,完成了术前谈话和签字。
29 日下午,老林被推入导管室。实施麻醉后,心血管外科的医生将主动脉支架植入老林的体内,堵住已经糜烂的血管缺口。
主动脉支架
▼

放置支架后,老林紧接着进入了手术室。消化内科的医生开始通过胃镜确认鱼刺位置,准备取出。就在这时,意外发生了——
术前已经精准定位在在食道与主动脉间的鱼刺,现在却不见了。
在胃镜中,医生们只看到食道中下段的地方有一个糜烂面,但鱼刺却不见踪影。
他们怀疑,鱼刺可能已经随着一些动作自然脱落,进入了胃里,于是就先对食道进行了修补,准备把老林送回重症监护室继续观察。
一切基本完成时,有医生觉得不放心,给黄杰打了电话询问。了解具体情况后,作为胸外科主任,黄杰给出了判断——鱼刺不会被吞到胃里。
随着食道的蠕动,或者主动脉内血流的强劲冲击,鱼刺有很大概率会穿出食道,进入纵膈或者主动脉。
无论是哪种情况,都必须迅速把它找出来。如果鱼刺留在体内,一定会造成严重感染,甚至刺破主动脉,引发大出血,后果不堪设想。
而此时已经没有了微创取刺的可能,必须尽快开胸探查。
手术方案立即调整,黄杰接力上了手术台。


事实证明,黄杰的判断是正确的。
开胸之后,他先小心翼翼地松解胸腔的黏连,把食道和主动脉分开,然后清理干净分泌物和出血。视野渐渐清晰,他发现,主动脉外有一个 3 毫米左右的小尖刺。
他用血管钳夹住小尖刺,一点点往外拔,竟拔出了一根 4 厘米长的鱼刺——鱼刺果然是穿出了食道,几乎全部扎进主动脉内。
顺利取出鱼刺后,黄杰又立即对食道和主动脉进行了修补,然后重新固定胸骨、缝合。
取出的鱼刺
▼

手术结束已经是晚上九点。老林回到了 ICU(重症监护室),在那里住了 3 天。情况稳定后,他转入普通病房,在医院住了一周,顺利出院。
一个月后,老林再次去武汉复查。因为发现及时,处理得当,他的感染并不严重,恢复得很好。
他还给黄杰带去了一块匾额,感谢他的「妙手回春」。
黄杰说,在他的从医生涯里,这样的事情并不少见,几乎每年都会有一二十例。
就在前年,他曾遇到一个患者,也是鱼刺穿入了主动脉,正准备处理的时候,突然发生大出血,还没来得及抢救,就去世了。

日常饮食中,鱼刺卡喉并不少见,但如果处理不当,有可能造成严重的后果。
首先,喝醋并不能软化鱼刺,反而可能刺激甚至灼伤已经受损的食道黏膜。
其次,像老林一样 ,用饭团、馒头把鱼刺吞进去,也是非常危险的。因为这样很可能把位置较浅的刺推得更深,更难取出。
你以为卡在喉咙里的鱼刺会这样:



正确的处理方法
如果鱼刺卡得比较浅,张嘴就能看到,可以找人帮忙,小心地用镊子夹出。
也可以试着用力咳嗽,很多时候,细小的鱼刺会跟着气流脱落下来。
如果鱼刺卡得比较深,刺痛感剧烈,就要尽快去医院,交给专业医生处理。
其实,自然卡住的鱼刺一般都不会太深。如果第一时间去医院,不需要花很多钱,耳鼻喉科的医生很快就能搞定。
如果使用了「土方法」自行处理,反而可能因为吞咽等外力加剧病情,就需要动用喉镜、消化内镜甚至开胸手术了。不仅费钱费力,人还跟着受罪。
马上就是中秋了,阖家团圆,家人聚餐的时候,一定要小心。吃鱼时,要认真剔除鱼刺,细嚼慢咽,不要分神,老人和孩子尤其要注意。
也可以直接选用鱼刺较少的鱼,比如龙利鱼、三文鱼、鳕鱼等。
除了鱼刺之外,锐利的鸡骨头和枣核也是常见的食道异物。
如果发生了异物卡喉的情况,千万不要抱有侥幸心理,记得正确处理,及时就医。
策划 CC
监制 罗布君 feidi Jame
插画 Aaron 萧 Dee
封面图来源 图虫创意
参考文献
[1] George Triadafilopoulos, MD.成人异物摄入与食道嵌塞.UpToDate临床顾问.https://www.uptodate.com/contents/zh-Hans/ingested-foreign-bodies-and-food-impactions-in-adults(Assessed on 2018-10-04)
[2] 楚天都市报. 一根鱼刺引发主动脉营救战.https://ctdsbepaper.hubeidaily.net/pc/content/201912/12/content_11431.html
原标题:《鱼刺卡喉后,他做了个开胸手术才取出来》
本文为澎湃号作者或机构在澎湃新闻上传并发布,仅代表该作者或机构观点,不代表澎湃新闻的观点或立场,澎湃新闻仅提供信息发布平台。申请澎湃号请用电脑访问http://renzheng.thepaper.cn。





- 报料热线: 021-962866
- 报料邮箱: news@thepaper.cn
互联网新闻信息服务许可证:31120170006
增值电信业务经营许可证:沪B2-2017116
© 2014-2026 上海东方报业有限公司




