- +1
日照首例!葛均波团队又成功完成一高难度手术!
您是否有过心悸、头晕、乏力、胸闷的体会?
经历这些症状时,
您是否度日如年?
您可能无法想象
这位秦奶奶(化名)
已被这些症状纠缠着
度过了7年的时光。
2年前的脑梗更是让她的健康雪上加霜,
随时可能再发生脑卒中的风险
犹如达摩克里斯之剑
悬在秦奶奶的头顶,
让秦奶奶想不到的是,
困扰了她7年的健康难题,
在短短50分钟的时间里,
被一场介入手术解决。
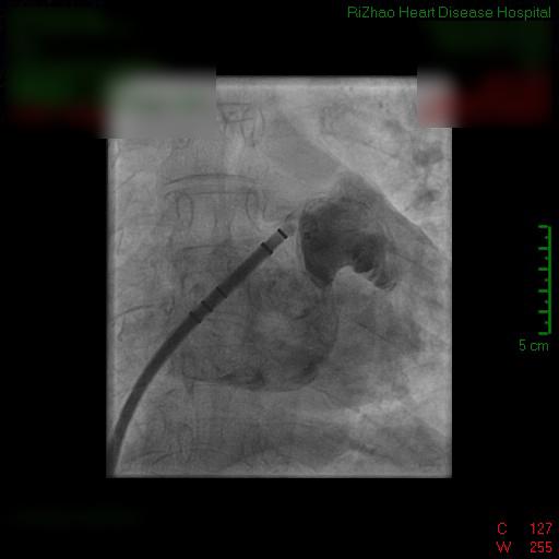
近期,日照心脏病医院/青岛大学日照医院由葛均波院士领衔的博士团队,为一名高龄患者成功实施左心耳封堵术,这是日照地区首次完成左心耳封堵术,标志着医院心内科治疗水平的新进步,可望为更多房颤患者提供更高质量的医疗服务。
2年前发生脑梗,左侧身体接近偏瘫
“平时好好的,一发病,感觉心脏都要跳到了嗓子眼里了。”60多岁的秦奶奶提起房颤的不适症状就心有余悸。虽然秦奶奶一直在服用抗栓药物,但是2年前仍然发生了脑梗死,导致左侧身体接近偏瘫,她说,“偏瘫导致说话有些含糊,这些年全亏老伴儿照顾!”
秦奶奶并不知道的是,发生脑梗死后,更为严重的是在治疗脑梗死过程中继发脑出血,这使后续的治疗选择变得棘手起来。
医院心内科副主任、副主任医师解新星博士介绍,房颤患者脑梗后再发脑梗风险明显升高,需要规范抗栓药物治疗。而抗栓药物的应用虽可降低再梗风险,但长期应用同时也会增加再发脑出血的风险。
葛均波院士带领的心内科博士团队考虑到患者的特殊病情--房颤高卒中、高出血风险人群,经详细探讨患者病情并与患者及家属进行充分沟通后,决定为患者实施左心耳封堵术。
日照首例左心耳封堵术为患者解“心”忧
解新星博士介绍道:“左心耳是偏居心脏一隅的盲端,内表面非常不光滑,房颤时血流缓慢瘀滞,所以容易长血栓,研究表明房颤患者的血栓90%来自于左心耳。”
经皮左心耳封堵术是近年来发展起来的一种微创、低风险、高即时成功率的介入手术,术中将一个“塞子”样的封堵器塞到左心耳内,将左心耳腔与心房在空间上隔离,消除“血栓滋生”的场所,从而达到预防卒中,降低房颤患者死亡率和致残率的目的。
“相比传统抗凝药物华法林,能降低40%的相关风险,能够替代抗凝药物,避免了用药不当引起的出血风险和栓塞风险,是更为安全有效的预防非瓣膜性房颤病人卒中的先进介入技术。”解新星介绍说,该项技术尤其适用于高卒中、高出血风险及其他不适合或不愿意长期口服抗凝药物的房颤人群。
手术耗时仅仅50分钟,该例手术的成功,意味着秦奶奶血栓栓塞(尤其是脑卒中)的风险被降至最低。据了解,这是日照首次成功开展该项左心耳封堵术。
“家门口有院士团队守护,老百姓的福气”
“感谢院士团队解决了我的‘心头大患’,家门口有院士团队守护,真的很安心!”秦奶奶在出院时拉着医护人员的手不住的说道,“住院期间,护士也很贴心,既有技术过硬的专家,也能享受到日照本地的医保报销政策,真是日照百姓的福气!”
当天,另一位也接受左心耳封堵术的患者已经康复出院。此次连续多台左心耳封堵术的实施是医院心内科在房颤治疗领域的一次重大突破,充分体现了医院在该治疗领域达到一个新的高度,随着这项技术的成功,将会有更多的房颤患者从中获益,将来也能为众多房颤患者免除长期吃药及卒中风险的困扰,大大提高患者的生活品质。日照心脏病医院/青岛大学附属日照医院将始终“坚守初心、勇担使命”,全院上下携手同心、并肩前行,将医院致力发展成为像葛均波院长所说的让患者真正放心托付的地方,成为华东乃至全国心血管医疗中心之一,成为中国心血管专业人才培养和成长的摇篮!
日照心脏病医院/青岛大学附属日照医院是按照JCI国际标准和国内三级甲等标准建设的非营利性医院,是青岛大学第十二临床医学院、复旦大学附属中山医院的医疗技术协作中心,是一所集临床、教学、科研为一体的综合性诊疗服务的医疗机构。医院科室设置齐全,具备较强的综合能力,注重充分发挥多学科协同的优势,为患者提供安全、高效、专属的疾病诊疗方案。目前,开放心血管内科、心血管外科、急诊科、心脏康复中心、ICU、CCU、普通外科、内分泌科等20多个业务科室。其中,心血管学科领域以葛均波院士顶级心血管医疗团队为核心,组建了国内优秀的“心血管团队”。
全面开展了多学科复合手术、冠心病、心脏电生理、先心病、心脏瓣膜病、夹层动脉瘤等疑难、复杂的心脏手术治疗,还开展了胸、腹腔镜下微创手术,其中多项技术为自主开展的山东省首例手术,技术均达到国内领先水平。
医院秉承“卓越医疗 倾心呵护”的理念,以提升国内医疗水准、培育卓越医护团队、为医生提供最佳执业平台为目标,致力发展成为国内一流的心血管及泛血管疾病为主要学科特色的综合性诊疗服务的医疗机构。

原标题:《日照首例!葛均波团队又成功完成一高难度手术!》
本文为澎湃号作者或机构在澎湃新闻上传并发布,仅代表该作者或机构观点,不代表澎湃新闻的观点或立场,澎湃新闻仅提供信息发布平台。申请澎湃号请用电脑访问http://renzheng.thepaper.cn。





- 报料热线: 021-962866
- 报料邮箱: news@thepaper.cn
互联网新闻信息服务许可证:31120170006
增值电信业务经营许可证:沪B2-2017116
© 2014-2026 上海东方报业有限公司




