- +1
直径4厘米肿瘤盘踞大脑深部,上海医生用9小时“吸出”肿瘤

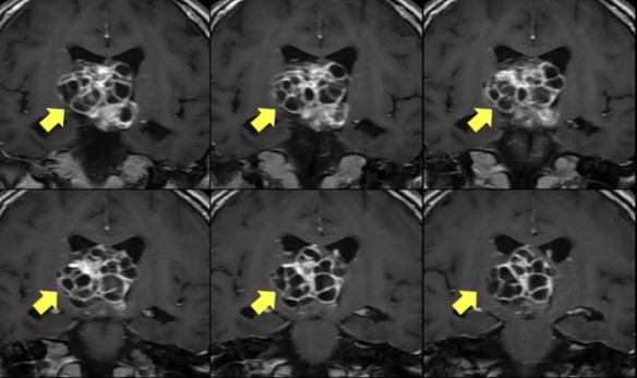
术前核磁共振显示脑深部巨大肿瘤,压迫下丘脑和脑干。本文图均为 受访者 供图
一个巨大的肿瘤盘踞在18岁女生雯雯(化名)的脑部,压迫着下丘脑和脑干。这个直径超过4厘米的肿瘤内含十几个囊肿,像石榴籽一样相互包裹、挤压,而且质地很韧,混有骨质成分。
3月13日,澎湃新闻(www.thepaper.cn)记者从接诊雯雯的复旦大学附属华山医院获悉,因为这个肿瘤,雯雯整日头疼,时不时陷入昏睡,并且情况越来越糟糕。
“这么大的肿瘤,这么‘险要’的位置,不仅会堵住脑脊液循环、引起颅内压增高,还会直接压迫周边的神经和血管,引起昏迷、失明、大小便失禁和多脏器功能代谢紊乱等症状,危及生命。如果手术,同时在下丘脑和脑干这两个手术禁区‘耍刀’,无异于虎口拔牙,任何医生都没十足把握手术一定成功。”华山医院金垂体医疗团队负责人赵曜表示,雯雯的脑肿瘤几乎挤满整个脑深部的中央区域,国内外文献也很少见到在这个位置长这么大肿瘤的报道,“做了那么多年医生,看过那么多脑肿瘤病人,我还是第一次看到这么夸张的瘤子。”
在与家属充分沟通后,赵曜决定带领团队搏一搏。

术前肿瘤血管神经三维重建图。
2次化疗都宣告失败
在手术前,经多学科专家讨论,最初想尝试化疗,能不开刀就尽量不开刀。第一轮化疗开始,雯雯症状有所减轻,人的意识和反应也清楚了不少,医生推断:估计是肿瘤有缩小。
但之后雯雯情况急转直下:化疗后的第10天的夜里,她突然出现嗜睡、淡漠、呕吐,很快陷入昏迷,大小便失禁。CT检查发现:虽然肿瘤部分区域有缩小,但其他部分的肿瘤反而增大了。长大的肿瘤部分完全堵死了脑脊液循环,导致雯雯急性脑积水和颅内压进一步升高,一度进入昏迷。
看着陷入昏迷的雯雯,有人劝赵曜放弃:“这肿瘤如此难缠,预后肯定不会好!放弃算了,长痛不如短痛。”但是赵曜没有放弃,他决定为雯雯再“赌”一把。当天夜里,赵曜带领团队进入手术室,给雯雯做了脑外室引流急诊手术,在左右两边的颅骨上各钻开一个洞,将两边脑脊液同时引流。
脑外室引流手术最终成功了。术后回到病房的雯雯,终于慢慢醒了过来,意识比之前清醒了一些。
治疗仍在持续。按照既定的化疗方案,第二轮化疗开始了。这一次治疗,经过了神经外科、放疗科、肿瘤科、内分泌科、感染科、病理科专家进行反复讨论,血液科医生也加入了保障队伍。
然而,第二个化疗疗程下来,雯雯脑部的肿瘤不仅没有缩小,局部仍然出现再一次增大的情况。此时,治疗已经历时2个月,当医生把第二次化疗失败的消息告诉雯雯妈妈时,妈妈已经陷入了崩溃。
面前只剩下了开刀一个选项,“喊停”的声音也不绝于耳,其中不乏国内一些顶尖水平的手术医生。有人说:“这个(开刀)位置,分分钟下不了台,下了台,也醒不过来,可能也是植物人。”

手术中
采用内镜经鼻腔微创手术,历时9个小时顺利完成
赵曜医生找到了他的老师——中国工程院院士、华山医院神经外科主任周良辅教授。周良辅认真看完各项检查结果后反问他:“除了开刀,是不是也没有其他办法了?”赵曜想:“没有。想要救下这个女孩,只有开刀,但这一台刀,极有可能在台上下不来,或者开完刀再也醒不过来,胜算并不大。”
面对躺在病床上奄奄一息的18岁生命,赵曜最终决定采纳周良辅的建议:知其不可为而为。
赵曜表示,核心挑战是如何在下丘脑和脑干这两个“手术禁区”里施展手脚:既要争取全切除肿瘤,又要防止下丘脑和脑干的损伤。
手术前,赵曜带领团队做了最周全的准备,考虑了每一种可能发生的情况。最终决定,采用内镜经鼻腔微创手术。
赵曜解释,内镜从患者的鼻腔进入大脑深部取出肿瘤,虽然手术路径长且深,但手术视野相对理想,正面“迎战”肿瘤对脑组织的损伤小。但这样一来,操作空间狭小,各类手术器械的使用受限,如遇血管破裂、脑膨出等危险情况,抢救起来非常困难。手术团队为此还预留了开颅手术的备用方案,以进行抢救和切除位于经鼻腔入路手术盲区的肿瘤。
手术由赵曜、曹晓运、周翔、乔霓丹、叶钊、张逸超等多名医生组成外科团队一同开展。
手术情况之复杂超过预期:肿瘤占据着整个下丘脑,不仅体积巨大,且质地很韧,还混有坚硬的骨质成分。常规的吸引器无法将肿瘤分块吸除,而是用了锋利的手术剪刀将肿瘤一块一块剪下来,甚至动用了“毁损”神器超声刀,将最硬的肿瘤超声粉碎后再吸除。靠着“刀尖上舞蹈”般的细致,医生一点点地将肿瘤内部掏空,最后将其周边从下丘脑小心剥离。
但处理完肿瘤“主体”,眼前一幕让手术团队愕然了:肿瘤下方还有约5%的部分,竟然完全嵌入脑干的内部,且紧贴住位于脑干前方的基底大动脉及其分支大脑后动脉的血管壁,稍有不慎就可能导致脑干受损或血管破裂。而靠内镜才能进入的大脑深部,一旦发生动脉破裂,就像矿井里的瓦斯爆炸,根本来不及抢救。
“最后再‘搏’一把吧!”赵曜想。靠着抽丝剥茧般的功力,手术团队平安渡过了几个“必死”的卡点,终于将这剩余的5%肿瘤全部剥离,同时,脑干和大动脉壁无损伤。
整个手术,历经9个小时。手术次日,雯雯醒了过来。

手术后,患者进行康复训练。
患者术后康复治疗至少需要半年
在术后几天内,多学科治疗的工作仍然没有停止。
华山医院内分泌科教授张朝云积极调整术后内分泌激素和电解质,感染科教授李宁精心调整抗生素方案治疗颅内感染,神经内科教授赵重波指导促进意识恢复的药物方案,康复医学科主任治疗师朱玉连和中西医结合科教授刘爱华采用各种治疗手段,促进患者肢体活动和意识记忆功能的恢复,肿瘤科副教授黄若凡则在筹划下一次的综合治疗方案。
病情稳定后,雯雯再次接受了脑积水分流手术,将头上的两根外引流管拔除,改为内引流,把过多的脑脊液引流到腹腔。被切除肿瘤的病理检查提示:成熟畸胎瘤,与术前判断一样,预后不错。这意味着雯雯将有可能获得真正的痊愈。
“这颗成熟畸胎瘤的性质也很复杂,既有良性成分,也有恶性成分,属于混合型肿瘤,后续的放化疗治疗我们还要继续跟上,密切随访跟踪。”赵曜表示。
目前,雯雯经过休养,身体逐渐恢复,已经能够下地行走,正常交流,也开始接受一系列的康复治疗,预计康复周期至少为半年。
回望过去几个月的治疗,赵曜感慨:“好在专家们都没有放弃,好在有家属的理解和支持,能看到女孩度过危险期,这是作为医生最开心的时刻了。”
赵曜告诉澎湃新闻记者,脑部手术往往都是大手术,风险性很高,“在我工作那么多年间,经历过手术成功,但也有失败。但我们的出发点都是为了给病人一线生机,而这名患者的家属也是完全相信我们的治疗技术,通过多方打听,找到了我们,这时候我们医生和家属、病人是站在一个阵营,大家都想‘赌一赌’,让这个手术赢。我们也跟家属沟通,如果手术真的失败了会怎么样,家属非常理解我们的初衷,放心跟我们一起冒险,我们也特别感谢他们的支持。”





- 报料热线: 021-962866
- 报料邮箱: news@thepaper.cn
互联网新闻信息服务许可证:31120170006
增值电信业务经营许可证:沪B2-2017116
© 2014-2026 上海东方报业有限公司




